Role of gastric ultrasound in pediatric Menetrier's disease: Report of two cases.

JPGN reports Pub Date : 2024-10-20 eCollection Date: 2024-11-01 DOI:10.1002/jpr3.12143
Francesco Pellegrino, Anna Opramolla, Antonio Pizzol, Caterina Rigazio, Laura Giugliano, Michele Pinon, Pier Luigi Calvo
{"title":"Role of gastric ultrasound in pediatric Menetrier's disease: Report of two cases.","authors":"Francesco Pellegrino, Anna Opramolla, Antonio Pizzol, Caterina Rigazio, Laura Giugliano, Michele Pinon, Pier Luigi Calvo","doi":"10.1002/jpr3.12143","DOIUrl":null,"url":null,"abstract":"<p><p>Menetrier's disease (MD) is a protein-losing gastropathy characterized by acute generalized edema due to hypoalbuminemia. MD is rare in childhood, and it is commonly associated with cytomegalovirus infection. We reported two children, who presented with a history of generalized edema after some days of abdominal pain and diarrhea. Laboratory tests showed hypoalbuminemia with no proteinuria. Thoracic and abdominal ultrasound (US) revealed respectively pleural and pericardial effusion and ascites. A specific gastric echography showed gastric wall thickening (>3 mm) and upper gastrointestinal endoscopy revealed prominent folds in the gastric body and fundus, with a subsequent histological confirmation of Menetrier diagnosis. They were discharged after several albumin infusions. A US follow-up confirmed the remission of the disease after 1 and 6 months. Gastric US revealed accurate in the diagnosis of this rare condition and in its follow-up. avoiding a second endoscopy in the short term.</p>","PeriodicalId":501015,"journal":{"name":"JPGN reports","volume":"5 4","pages":"508-510"},"PeriodicalIF":0.0000,"publicationDate":"2024-10-20","publicationTypes":"Journal Article","fieldsOfStudy":null,"isOpenAccess":false,"openAccessPdf":"https://www.ncbi.nlm.nih.gov/pmc/articles/PMC11600351/pdf/","citationCount":"0","resultStr":null,"platform":"Semanticscholar","paperid":null,"PeriodicalName":"JPGN reports","FirstCategoryId":"1085","ListUrlMain":"https://doi.org/10.1002/jpr3.12143","RegionNum":0,"RegionCategory":null,"ArticlePicture":[],"TitleCN":null,"AbstractTextCN":null,"PMCID":null,"EPubDate":"2024/11/1 0:00:00","PubModel":"eCollection","JCR":"","JCRName":"","Score":null,"Total":0}
引用次数: 0

Abstract

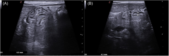
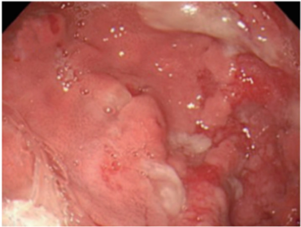
Menetrier's disease (MD) is a protein-losing gastropathy characterized by acute generalized edema due to hypoalbuminemia. MD is rare in childhood, and it is commonly associated with cytomegalovirus infection. We reported two children, who presented with a history of generalized edema after some days of abdominal pain and diarrhea. Laboratory tests showed hypoalbuminemia with no proteinuria. Thoracic and abdominal ultrasound (US) revealed respectively pleural and pericardial effusion and ascites. A specific gastric echography showed gastric wall thickening (>3 mm) and upper gastrointestinal endoscopy revealed prominent folds in the gastric body and fundus, with a subsequent histological confirmation of Menetrier diagnosis. They were discharged after several albumin infusions. A US follow-up confirmed the remission of the disease after 1 and 6 months. Gastric US revealed accurate in the diagnosis of this rare condition and in its follow-up. avoiding a second endoscopy in the short term.

Abstract Image

Abstract Image

Abstract Image

胃超声在小儿美涅耳病中的作用:附2例报告。
美氏病(MD)是一种以低白蛋白血症引起的急性全身性水肿为特征的蛋白质丧失性胃病。MD在儿童期罕见,通常与巨细胞病毒感染有关。我们报告了两名儿童,他们在腹痛和腹泻几天后出现全身性水肿。实验室检查显示低白蛋白血症无蛋白尿。胸部及腹部超声分别显示胸膜及心包积液及腹水。特异的胃超声检查显示胃壁增厚(bbb3mm),上消化道内镜检查显示胃体和胃底明显皱褶,随后的组织学检查证实了Menetrier诊断。几次白蛋白输注后出院。美国的随访证实了1个月和6个月后疾病的缓解。胃超声显示准确的诊断这种罕见的情况和随访。短期内避免第二次内窥镜检查。
本文章由计算机程序翻译,如有差异,请以英文原文为准。
求助全文
约1分钟内获得全文 求助全文
来源期刊
自引率
0.00%
发文量
0
×
引用
GB/T 7714-2015
复制
MLA
复制
APA
复制
导出至
BibTeX EndNote RefMan NoteFirst NoteExpress
×
提示
您的信息不完整,为了账户安全,请先补充。
现在去补充
×
提示
您因"违规操作"
具体请查看互助需知
我知道了
×
提示
确定
请完成安全验证×
copy
已复制链接
快去分享给好友吧!
我知道了
右上角分享
点击右上角分享
0
联系我们:info@booksci.cn Book学术提供免费学术资源搜索服务,方便国内外学者检索中英文文献。致力于提供最便捷和优质的服务体验。 Copyright © 2023 布克学术 All rights reserved.
京ICP备2023020795号-1
ghs 京公网安备 11010802042870号
Book学术文献互助
Book学术文献互助群
群 号:604180095
Book学术官方微信