Meckel's diverticulum: A challenging diagnosis.

JPGN reports Pub Date : 2024-10-20 eCollection Date: 2024-11-01 DOI:10.1002/jpr3.12140
Kathryn Kaihlanen, Claudia Phen, Anita Sengupta, Diana Diesen, Neil J Fernandes, Isabel Rojas
{"title":"Meckel's diverticulum: A challenging diagnosis.","authors":"Kathryn Kaihlanen, Claudia Phen, Anita Sengupta, Diana Diesen, Neil J Fernandes, Isabel Rojas","doi":"10.1002/jpr3.12140","DOIUrl":null,"url":null,"abstract":"<p><strong>Objectives: </strong>This single-center, cross-sectional study aims to elucidate the clinical presentation, diagnostic evaluation, and outcomes in a subset of pediatric patients with atypical and/or challenging presentations of Meckel's diverticulum.</p><p><strong>Methods: </strong>We conducted a single-center cross-sectional study on children diagnosed with Meckel's diverticulum at Children's Health in Dallas, Texas between 2010 and 2022. We identified 11 patients aged 0-17-years-old with confirmed Meckel's diverticulum who presented with atypical symptoms and/or a challenging diagnostic course. Patient demographics, symptoms at presentation, diagnostic workup, time to diagnosis, management, and outcomes were collected. Descriptive statistics were utilized.</p><p><strong>Results: </strong>Eleven patients (<i>n</i> = 8, 73% male) were included in the study with an average age of 10.5 years (range: 1-17 years). The mean time interval from initial presentation of symptoms to diagnosis was 8 months (range: 0-33 months). Barriers to diagnosis of Meckel's diverticulum identified in our study included atypical presentations, negative or nonconfirmatory Meckel scan results, negative surgical findings, and competing differential diagnoses.</p><p><strong>Conclusion: </strong>Meckel's diverticulum is a challenging diagnosis and should be considered even if initial evaluation is negative as certain patients exhibit atypical presentations that necessitate surgical intervention for diagnosis.</p>","PeriodicalId":501015,"journal":{"name":"JPGN reports","volume":"5 4","pages":"423-432"},"PeriodicalIF":0.0000,"publicationDate":"2024-10-20","publicationTypes":"Journal Article","fieldsOfStudy":null,"isOpenAccess":false,"openAccessPdf":"https://www.ncbi.nlm.nih.gov/pmc/articles/PMC11600380/pdf/","citationCount":"0","resultStr":null,"platform":"Semanticscholar","paperid":null,"PeriodicalName":"JPGN reports","FirstCategoryId":"1085","ListUrlMain":"https://doi.org/10.1002/jpr3.12140","RegionNum":0,"RegionCategory":null,"ArticlePicture":[],"TitleCN":null,"AbstractTextCN":null,"PMCID":null,"EPubDate":"2024/11/1 0:00:00","PubModel":"eCollection","JCR":"","JCRName":"","Score":null,"Total":0}
引用次数: 0

Abstract

Objectives: This single-center, cross-sectional study aims to elucidate the clinical presentation, diagnostic evaluation, and outcomes in a subset of pediatric patients with atypical and/or challenging presentations of Meckel's diverticulum.

Methods: We conducted a single-center cross-sectional study on children diagnosed with Meckel's diverticulum at Children's Health in Dallas, Texas between 2010 and 2022. We identified 11 patients aged 0-17-years-old with confirmed Meckel's diverticulum who presented with atypical symptoms and/or a challenging diagnostic course. Patient demographics, symptoms at presentation, diagnostic workup, time to diagnosis, management, and outcomes were collected. Descriptive statistics were utilized.

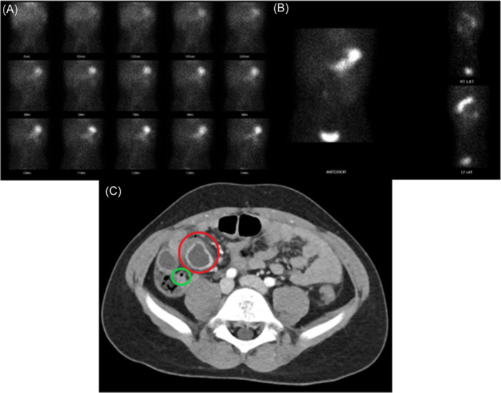
Results: Eleven patients (n = 8, 73% male) were included in the study with an average age of 10.5 years (range: 1-17 years). The mean time interval from initial presentation of symptoms to diagnosis was 8 months (range: 0-33 months). Barriers to diagnosis of Meckel's diverticulum identified in our study included atypical presentations, negative or nonconfirmatory Meckel scan results, negative surgical findings, and competing differential diagnoses.

Conclusion: Meckel's diverticulum is a challenging diagnosis and should be considered even if initial evaluation is negative as certain patients exhibit atypical presentations that necessitate surgical intervention for diagnosis.

Abstract Image

Abstract Image

梅克尔憩室:一个具有挑战性的诊断。
目的:本单中心横断面研究旨在阐明非典型和/或具有挑战性的梅克尔憩室患儿的临床表现、诊断评估和结果。方法:我们对2010年至2022年间在德克萨斯州达拉斯儿童健康中心诊断为Meckel憩室的儿童进行了一项单中心横断面研究。我们确定了11例年龄为0-17岁的确诊Meckel憩室患者,他们表现出非典型症状和/或具有挑战性的诊断过程。收集患者的人口统计资料、就诊时的症状、诊断检查、诊断时间、管理和结果。采用描述性统计。结果:11例患者(n = 8, 73%为男性)纳入研究,平均年龄10.5岁(范围:1-17岁)。从最初出现症状到诊断的平均时间间隔为8个月(范围:0-33个月)。在我们的研究中,诊断梅克尔憩室的障碍包括非典型表现、阴性或不确定的梅克尔扫描结果、阴性的手术结果和相互矛盾的鉴别诊断。结论:Meckel憩室是一种具有挑战性的诊断,即使最初的评估是阴性的,也应该考虑,因为某些患者表现出不典型的症状,需要手术干预诊断。
本文章由计算机程序翻译,如有差异,请以英文原文为准。
求助全文
约1分钟内获得全文 求助全文
来源期刊
自引率
0.00%
发文量
0
×
引用
GB/T 7714-2015
复制
MLA
复制
APA
复制
导出至
BibTeX EndNote RefMan NoteFirst NoteExpress
×
提示
您的信息不完整,为了账户安全,请先补充。
现在去补充
×
提示
您因"违规操作"
具体请查看互助需知
我知道了
×
提示
确定
请完成安全验证×
copy
已复制链接
快去分享给好友吧!
我知道了
右上角分享
点击右上角分享
0
联系我们:info@booksci.cn Book学术提供免费学术资源搜索服务,方便国内外学者检索中英文文献。致力于提供最便捷和优质的服务体验。 Copyright © 2023 布克学术 All rights reserved.
京ICP备2023020795号-1
ghs 京公网安备 11010802042870号
Book学术文献互助
Book学术文献互助群
群 号:604180095
Book学术官方微信