An Unheard Variant of Leiomyoma Cotyledonoid Dissecting Leiomyoma: Case Report.

IF 1 Q3 OBSTETRICS & GYNECOLOGY
Journal of Mid-life Health Pub Date : 2024-07-01 Epub Date: 2024-10-17 DOI:10.4103/jmh.jmh_15_24
Alka Yadav, Sujata Raychauduri, Lakshinder Kaur, Ruchira Wadhwa, Minakshi Bhardwaj
{"title":"An Unheard Variant of Leiomyoma Cotyledonoid Dissecting Leiomyoma: Case Report.","authors":"Alka Yadav, Sujata Raychauduri, Lakshinder Kaur, Ruchira Wadhwa, Minakshi Bhardwaj","doi":"10.4103/jmh.jmh_15_24","DOIUrl":null,"url":null,"abstract":"<p><p>Leiomyomas are benign smooth muscle tumor of the uterus with varied morphology that are well known to undergo secondary changes. A variety of other unusual patterns of uterine leiomyoma have been described, such as parasitic leiomyoma, cellular leiomyoma, symplastic or bizarre leiomyoma, epithelioid leiomyoma, intravenous leiomyomatosis, and leiomyoma with secondary changes. Some cotyledonoid dissecting leiomyoma (CDL) appears as large fungating masses with widespread extension into the broad ligament and pelvic cavity. Due to its rarity and a clinician's lack of familiarity, such tumors are sometimes misdiagnosed as malignancies. We present a rare case report of CDL. It is a diagnostic challenge for clinicians, pathologists, and radiologists and can be confused with malignancy due to its large size. After extensive literature research, we found 28 case reports of this variant. Little is known in the literature about this entity. We present here a case report of a 65-year-old female emphasizing its clinical, radiological, gross, and microscopic findings. A total hysterectomy was performed on the patient. This tumor does not have malignant potential, but clinicians and pathologists must be aware of its existence to avoid over-treating patients as malignancy.</p>","PeriodicalId":37717,"journal":{"name":"Journal of Mid-life Health","volume":"15 3","pages":"197-200"},"PeriodicalIF":1.0000,"publicationDate":"2024-07-01","publicationTypes":"Journal Article","fieldsOfStudy":null,"isOpenAccess":false,"openAccessPdf":"https://www.ncbi.nlm.nih.gov/pmc/articles/PMC11601921/pdf/","citationCount":"0","resultStr":null,"platform":"Semanticscholar","paperid":null,"PeriodicalName":"Journal of Mid-life Health","FirstCategoryId":"1085","ListUrlMain":"https://doi.org/10.4103/jmh.jmh_15_24","RegionNum":0,"RegionCategory":null,"ArticlePicture":[],"TitleCN":null,"AbstractTextCN":null,"PMCID":null,"EPubDate":"2024/10/17 0:00:00","PubModel":"Epub","JCR":"Q3","JCRName":"OBSTETRICS & GYNECOLOGY","Score":null,"Total":0}
引用次数: 0

Abstract

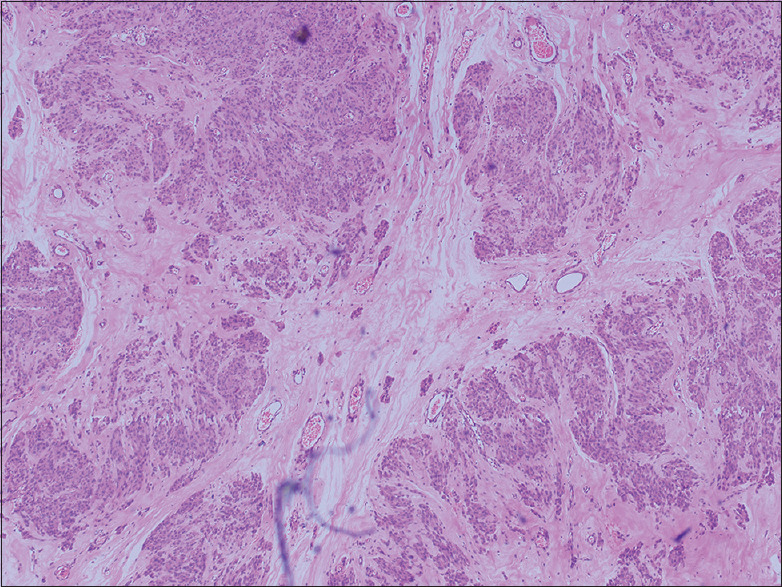
Leiomyomas are benign smooth muscle tumor of the uterus with varied morphology that are well known to undergo secondary changes. A variety of other unusual patterns of uterine leiomyoma have been described, such as parasitic leiomyoma, cellular leiomyoma, symplastic or bizarre leiomyoma, epithelioid leiomyoma, intravenous leiomyomatosis, and leiomyoma with secondary changes. Some cotyledonoid dissecting leiomyoma (CDL) appears as large fungating masses with widespread extension into the broad ligament and pelvic cavity. Due to its rarity and a clinician's lack of familiarity, such tumors are sometimes misdiagnosed as malignancies. We present a rare case report of CDL. It is a diagnostic challenge for clinicians, pathologists, and radiologists and can be confused with malignancy due to its large size. After extensive literature research, we found 28 case reports of this variant. Little is known in the literature about this entity. We present here a case report of a 65-year-old female emphasizing its clinical, radiological, gross, and microscopic findings. A total hysterectomy was performed on the patient. This tumor does not have malignant potential, but clinicians and pathologists must be aware of its existence to avoid over-treating patients as malignancy.

Abstract Image

Abstract Image

Abstract Image

一种前所未闻的子叶样解剖型平滑肌瘤:1例报告。
平滑肌瘤是一种良性的子宫平滑肌肿瘤,具有多种形态,通常会发生继发性改变。各种其他不寻常类型的子宫平滑肌瘤已被描述,如寄生型平滑肌瘤、细胞型平滑肌瘤、共变或奇异型平滑肌瘤、上皮样平滑肌瘤、静脉内平滑肌瘤病和继发性改变的平滑肌瘤。一些子叶鞘剥离性平滑肌瘤(CDL)表现为巨大的真菌状肿块,广泛延伸至阔韧带和盆腔。由于其罕见和临床医生缺乏熟悉,这类肿瘤有时被误诊为恶性肿瘤。我们报告一例罕见的CDL病例。对于临床医生、病理学家和放射科医生来说,这是一个诊断上的挑战,由于其体积大,可能与恶性肿瘤混淆。经过广泛的文献研究,我们发现了28例该变异的病例报告。文献中对这个实体所知甚少。我们在此报告一位65岁女性的病例,强调其临床、放射学、大体和显微镜检查结果。对患者进行了全子宫切除术。这种肿瘤不具有恶性潜能,但临床医生和病理学家必须意识到它的存在,以避免将患者过度视为恶性肿瘤。
本文章由计算机程序翻译,如有差异,请以英文原文为准。
求助全文
约1分钟内获得全文 求助全文
来源期刊
Journal of Mid-life Health
Journal of Mid-life Health Social Sciences-Health (social science)
CiteScore
1.70
自引率
9.10%
发文量
39
审稿时长
43 weeks
期刊介绍: Journal of mid-life health is the official journal of the Indian Menopause society published Quarterly in January, April, July and October. It is peer reviewed, scientific journal of mid-life health and its problems. It includes all aspects of mid-life health, preventive as well as curative. The journal publishes on subjects such as gynecology, neurology, geriatrics, psychiatry, endocrinology, urology, andrology, psychology, healthy ageing, cardiovascular health, bone health, quality of life etc. as relevant of men and women in their midlife. The Journal provides a visible platform to the researchers as well as clinicians to publish their experiences in this area thereby helping in the promotion of mid-life health leading to healthy ageing, growing need due to increasing life expectancy. The Editorial team has maintained high standards and published original research papers, case reports and review articles from the best of the best contributors both national & international, consistently so that now, it has become a great tool in the hands of menopause practitioners.
×
引用
GB/T 7714-2015
复制
MLA
复制
APA
复制
导出至
BibTeX EndNote RefMan NoteFirst NoteExpress
×
提示
您的信息不完整,为了账户安全,请先补充。
现在去补充
×
提示
您因"违规操作"
具体请查看互助需知
我知道了
×
提示
确定
请完成安全验证×
copy
已复制链接
快去分享给好友吧!
我知道了
右上角分享
点击右上角分享
0
联系我们:info@booksci.cn Book学术提供免费学术资源搜索服务,方便国内外学者检索中英文文献。致力于提供最便捷和优质的服务体验。 Copyright © 2023 布克学术 All rights reserved.
京ICP备2023020795号-1
ghs 京公网安备 11010802042870号
Book学术文献互助
Book学术文献互助群
群 号:604180095
Book学术官方微信