Severe and Fatal Rocky Mountain Spotted Fever After Exposure in Tecate, Mexico - California, July 2023-January 2024.

IF 17.3 1区 医学 Q1 PUBLIC, ENVIRONMENTAL & OCCUPATIONAL HEALTH
Anne M Kjemtrup, Jill K Hacker, Madeleine Monroe, Vicki Williams, Charles Lines, Karla Lopez, Christopher D Paddock, Ann Carpenter, Johanna S Salzer, Julian A Villalba, Julu Bhatnagar, Seema Shah, Esmeralda Iniguez-Stevens, Theodore C Efthemeou, Vannia Hernandez, Duc J Vugia, Vicki L Kramer
{"title":"Severe and Fatal Rocky Mountain Spotted Fever After Exposure in Tecate, Mexico - California, July 2023-January 2024.","authors":"Anne M Kjemtrup, Jill K Hacker, Madeleine Monroe, Vicki Williams, Charles Lines, Karla Lopez, Christopher D Paddock, Ann Carpenter, Johanna S Salzer, Julian A Villalba, Julu Bhatnagar, Seema Shah, Esmeralda Iniguez-Stevens, Theodore C Efthemeou, Vannia Hernandez, Duc J Vugia, Vicki L Kramer","doi":"10.15585/mmwr.mm7347a1","DOIUrl":null,"url":null,"abstract":"<p><p>Rocky Mountain spotted fever (RMSF) is a tickborne disease endemic in areas of the Americas. Persistent high incidence of the disease exists in northern Mexico, perpetuated by local populations of brown dog ticks (Rhipicephalus sanguineus sensu lato) and free-roaming dogs. Six cases of RMSF caused by Rickettsia rickettsii, including three deaths, were reported to the California Department of Public Health during July 2023-January 2024. All six patients were eventually determined to have had exposure to R. rickettsii in Tecate, Mexico, a municipality on the U.S. border that had not been previously described as a high-risk RMSF area. Identification and reporting of the cases were complicated by challenges in diagnosis. The serious nature of the disease and delays in initiating appropriate treatment can result in life-threatening consequences. Epidemiologic collaborations among local, state, federal, and international public health agencies were essential to identifying Tecate as the location of exposure. Further collaborations will be important for directing future prevention measures. Increased health care provider awareness of RMSF is critical on both sides of the border to facilitate earlier diagnosis and initiation of appropriate treatment.</p>","PeriodicalId":18637,"journal":{"name":"MMWR. Morbidity and mortality weekly report","volume":"73 47","pages":"1069-1075"},"PeriodicalIF":17.3000,"publicationDate":"2024-11-28","publicationTypes":"Journal Article","fieldsOfStudy":null,"isOpenAccess":false,"openAccessPdf":"https://www.ncbi.nlm.nih.gov/pmc/articles/PMC11602018/pdf/","citationCount":"0","resultStr":null,"platform":"Semanticscholar","paperid":null,"PeriodicalName":"MMWR. Morbidity and mortality weekly report","FirstCategoryId":"3","ListUrlMain":"https://doi.org/10.15585/mmwr.mm7347a1","RegionNum":1,"RegionCategory":"医学","ArticlePicture":[],"TitleCN":null,"AbstractTextCN":null,"PMCID":null,"EPubDate":"","PubModel":"","JCR":"Q1","JCRName":"PUBLIC, ENVIRONMENTAL & OCCUPATIONAL HEALTH","Score":null,"Total":0}
引用次数: 0

Abstract

Rocky Mountain spotted fever (RMSF) is a tickborne disease endemic in areas of the Americas. Persistent high incidence of the disease exists in northern Mexico, perpetuated by local populations of brown dog ticks (Rhipicephalus sanguineus sensu lato) and free-roaming dogs. Six cases of RMSF caused by Rickettsia rickettsii, including three deaths, were reported to the California Department of Public Health during July 2023-January 2024. All six patients were eventually determined to have had exposure to R. rickettsii in Tecate, Mexico, a municipality on the U.S. border that had not been previously described as a high-risk RMSF area. Identification and reporting of the cases were complicated by challenges in diagnosis. The serious nature of the disease and delays in initiating appropriate treatment can result in life-threatening consequences. Epidemiologic collaborations among local, state, federal, and international public health agencies were essential to identifying Tecate as the location of exposure. Further collaborations will be important for directing future prevention measures. Increased health care provider awareness of RMSF is critical on both sides of the border to facilitate earlier diagnosis and initiation of appropriate treatment.

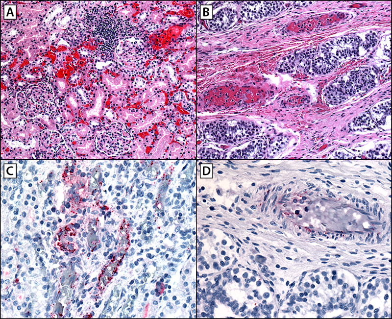
Abstract Image

Abstract Image

2023 年 7 月至 2024 年 1 月,加利福尼亚州,墨西哥特卡特,接触后出现严重致命的落基山斑疹热。
落基山斑疹热(RMSF)是一种在美洲地区流行的蜱媒疾病。在墨西哥北部,这种疾病的发病率一直居高不下,当地的棕狗蜱(Rhipicephalus sanguineus sensu lato)和自由放养的狗使这种疾病长期存在。2023 年 7 月至 2024 年 1 月期间,加利福尼亚州公共卫生部共接到六例由立克次体引起的 RMSF 病例报告,其中包括三例死亡病例。所有六名患者最终都被确定曾在墨西哥特卡特接触过立克次体,该市位于美国边境,此前并未被描述为立克次体犬瘟热高风险地区。由于诊断方面的挑战,病例的鉴定和报告变得更加复杂。这种疾病的严重性和延误适当的治疗会导致危及生命的后果。地方、州、联邦和国际公共卫生机构之间的流行病学合作对于确定特卡特为暴露地点至关重要。进一步的合作对于指导未来的预防措施非常重要。提高医疗服务提供者对 RMSF 的认识对于边境两侧的医疗服务提供者来说都至关重要,这有助于尽早诊断并开始适当的治疗。
本文章由计算机程序翻译,如有差异,请以英文原文为准。
求助全文
约1分钟内获得全文 求助全文
来源期刊
MMWR. Morbidity and mortality weekly report
MMWR. Morbidity and mortality weekly report PUBLIC, ENVIRONMENTAL & OCCUPATIONAL HEALTH -
CiteScore
65.40
自引率
0.90%
发文量
309
期刊介绍: The Morbidity and Mortality Weekly Report (MMWR ) series is prepared by the Centers for Disease Control and Prevention (CDC). Often called “the voice of CDC,” the MMWR series is the agency’s primary vehicle for scientific publication of timely, reliable, authoritative, accurate, objective, and useful public health information and recommendations. MMWR readership predominantly consists of physicians, nurses, public health practitioners, epidemiologists and other scientists, researchers, educators, and laboratorians.
×
引用
GB/T 7714-2015
复制
MLA
复制
APA
复制
导出至
BibTeX EndNote RefMan NoteFirst NoteExpress
×
提示
您的信息不完整,为了账户安全,请先补充。
现在去补充
×
提示
您因"违规操作"
具体请查看互助需知
我知道了
×
提示
确定
请完成安全验证×
copy
已复制链接
快去分享给好友吧!
我知道了
右上角分享
点击右上角分享
0
联系我们:info@booksci.cn Book学术提供免费学术资源搜索服务,方便国内外学者检索中英文文献。致力于提供最便捷和优质的服务体验。 Copyright © 2023 布克学术 All rights reserved.
京ICP备2023020795号-1
ghs 京公网安备 11010802042870号
Book学术文献互助
Book学术文献互助群
群 号:604180095
Book学术官方微信