Experience with Zone 2 Arch Replacement Followed by Thoracic Endovascular Aortic Repair.

Q3 Medicine
AORTA Pub Date : 2024-04-01 Epub Date: 2024-11-26 DOI:10.1055/s-0044-1795130
Arjune Dhanekula, Bret DeGraaff, Rachel Flodin, Anne Reimann-Moody, Manuel De La Garza, Sara Zettervall, Sherene Shalhub, Matthew P Sweet, Christopher R Burke, Scott DeRoo
{"title":"Experience with Zone 2 Arch Replacement Followed by Thoracic Endovascular Aortic Repair.","authors":"Arjune Dhanekula, Bret DeGraaff, Rachel Flodin, Anne Reimann-Moody, Manuel De La Garza, Sara Zettervall, Sherene Shalhub, Matthew P Sweet, Christopher R Burke, Scott DeRoo","doi":"10.1055/s-0044-1795130","DOIUrl":null,"url":null,"abstract":"<p><strong>Background: </strong> Transverse open aortic arch replacement remains a complex operation. A simplified arch replacement into zone 2, with debranching the head vessels proximally, creates a suitable landing zone for future endovascular repair and is increasing in popularity as of late. Still, limited data exist to assess contemporary rates of morbidity and mortality. Therefore, we aim to evaluate current outcomes for patients who underwent open zone 2 aortic arch replacement.</p><p><strong>Methods: </strong> All patients who underwent zone 2 arch replacement at a single academic institution from January 2019 to June 2023 were assessed. Indication for operation was either aneurysmal disease (<i>n</i> = 37), acute aortic syndrome (<i>n</i> = 38), or residual arch/descending thoracic aorta dissection (<i>n</i> = 67). Patient demographics and operative characteristics were evaluated, and the frequency of subsequent thoracic endovascular aortic repair (TEVAR) was noted. Mortality and major morbidity were then assessed.</p><p><strong>Results: </strong> A total of 142 patients underwent open zone 2 arch replacement. Median cardiopulmonary bypass, cross-clamp, and deep hypothermic circulatory arrest times for the entire cohort were 195, 122, and 36.5 minutes, respectively. Concomitant frozen elephant trunk was performed in 45.1% of the cohort (<i>n</i> = 64). In-hospital mortality was 7.8% (<i>n</i> = 11) for the entire cohort. Spinal cord ischemia occurred in 3.5% (<i>n</i> = 5); these patients all received frozen elephant trunks and had neurologic recovery by discharge. Stroke occurred in 9.2% (<i>n</i> = 13) of the study cohort. A total of 38.7% (<i>n</i> = 55) went on to get subsequent TEVAR, with median time to TEVAR of 52 days (8, 98.5).</p><p><strong>Conclusion: </strong> Zone 2 arch replacement allows staged repair of the thoracic aorta and readily accommodates future TEVAR therapy. This option for the treatment of the aortic arch can be performed safely in a wide variety of patient pathologies. Given the safety of this operation, cardiac surgeons should utilize this approach more frequently.</p>","PeriodicalId":52392,"journal":{"name":"AORTA","volume":" ","pages":"32-40"},"PeriodicalIF":0.0000,"publicationDate":"2024-04-01","publicationTypes":"Journal Article","fieldsOfStudy":null,"isOpenAccess":false,"openAccessPdf":"https://www.ncbi.nlm.nih.gov/pmc/articles/PMC11688148/pdf/","citationCount":"0","resultStr":null,"platform":"Semanticscholar","paperid":null,"PeriodicalName":"AORTA","FirstCategoryId":"1085","ListUrlMain":"https://doi.org/10.1055/s-0044-1795130","RegionNum":0,"RegionCategory":null,"ArticlePicture":[],"TitleCN":null,"AbstractTextCN":null,"PMCID":null,"EPubDate":"2024/11/26 0:00:00","PubModel":"Epub","JCR":"Q3","JCRName":"Medicine","Score":null,"Total":0}
引用次数: 0

Abstract

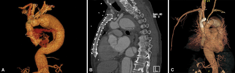
Background:  Transverse open aortic arch replacement remains a complex operation. A simplified arch replacement into zone 2, with debranching the head vessels proximally, creates a suitable landing zone for future endovascular repair and is increasing in popularity as of late. Still, limited data exist to assess contemporary rates of morbidity and mortality. Therefore, we aim to evaluate current outcomes for patients who underwent open zone 2 aortic arch replacement.

Methods:  All patients who underwent zone 2 arch replacement at a single academic institution from January 2019 to June 2023 were assessed. Indication for operation was either aneurysmal disease (n = 37), acute aortic syndrome (n = 38), or residual arch/descending thoracic aorta dissection (n = 67). Patient demographics and operative characteristics were evaluated, and the frequency of subsequent thoracic endovascular aortic repair (TEVAR) was noted. Mortality and major morbidity were then assessed.

Results:  A total of 142 patients underwent open zone 2 arch replacement. Median cardiopulmonary bypass, cross-clamp, and deep hypothermic circulatory arrest times for the entire cohort were 195, 122, and 36.5 minutes, respectively. Concomitant frozen elephant trunk was performed in 45.1% of the cohort (n = 64). In-hospital mortality was 7.8% (n = 11) for the entire cohort. Spinal cord ischemia occurred in 3.5% (n = 5); these patients all received frozen elephant trunks and had neurologic recovery by discharge. Stroke occurred in 9.2% (n = 13) of the study cohort. A total of 38.7% (n = 55) went on to get subsequent TEVAR, with median time to TEVAR of 52 days (8, 98.5).

Conclusion:  Zone 2 arch replacement allows staged repair of the thoracic aorta and readily accommodates future TEVAR therapy. This option for the treatment of the aortic arch can be performed safely in a wide variety of patient pathologies. Given the safety of this operation, cardiac surgeons should utilize this approach more frequently.

Abstract Image

Abstract Image

Abstract Image

2 区弓置换术后胸腔内血管主动脉修复术的经验。
背景:横向开放主动脉弓置换术仍然是一项复杂的手术。简化的主动脉弓置换术进入第 2 区,并在近端剥离头部血管,为将来的血管内修复创造了合适的着床区,近来越来越受欢迎。然而,评估当代发病率和死亡率的数据仍然有限。因此,我们旨在评估接受开放式 2 区主动脉弓置换术的患者目前的治疗效果:方法:对2019年1月至2023年6月期间在一家学术机构接受2区主动脉弓置换术的所有患者进行评估。手术指征为动脉瘤性疾病(n = 37)、急性主动脉综合征(n = 38)或残余拱/胸主动脉夹层(n = 67)。对患者的人口统计学特征和手术特征进行了评估,并记录了随后进行胸腔内血管主动脉修复术(TEVAR)的频率。然后评估死亡率和主要发病率:共有142名患者接受了开放式2区主动脉弓置换术。整个组群的中位心肺旁路、交叉钳夹和深低温循环停止时间分别为195分钟、122分钟和36.5分钟。45.1%的患者(n = 64)同时进行了冰冻象鼻躯干术。整个组群的院内死亡率为 7.8%(n = 11)。脊髓缺血发生率为3.5%(n = 5);这些患者均接受了冷冻象鼻躯干治疗,出院时神经功能均已恢复。研究队列中有 9.2%(n = 13)的患者发生了中风。共有38.7%的患者(n = 55)接受了后续的TEVAR,中位TEVAR时间为52天(8,98.5):结论:2区弓置换术可对胸主动脉进行分期修复,并可在未来进行TEVAR治疗。这种治疗主动脉弓的方法可以在多种病理情况下安全进行。鉴于这种手术的安全性,心脏外科医生应更多地采用这种方法。
本文章由计算机程序翻译,如有差异,请以英文原文为准。
求助全文
约1分钟内获得全文 求助全文
来源期刊
AORTA
AORTA Medicine-Surgery
CiteScore
1.00
自引率
0.00%
发文量
119
×
引用
GB/T 7714-2015
复制
MLA
复制
APA
复制
导出至
BibTeX EndNote RefMan NoteFirst NoteExpress
×
提示
您的信息不完整,为了账户安全,请先补充。
现在去补充
×
提示
您因"违规操作"
具体请查看互助需知
我知道了
×
提示
确定
请完成安全验证×
copy
已复制链接
快去分享给好友吧!
我知道了
右上角分享
点击右上角分享
0
联系我们:info@booksci.cn Book学术提供免费学术资源搜索服务,方便国内外学者检索中英文文献。致力于提供最便捷和优质的服务体验。 Copyright © 2023 布克学术 All rights reserved.
京ICP备2023020795号-1
ghs 京公网安备 11010802042870号
Book学术文献互助
Book学术文献互助群
群 号:604180095
Book学术官方微信