BRAF V600E mutation and high expression of PD-L1 in Rosai-Dorfman disease: case report and review of the literature.

IF 0.6 4区 医学 Q4 HEMATOLOGY
Journal of Hematopathology Pub Date : 2024-12-01 Epub Date: 2024-11-27 DOI:10.1007/s12308-024-00611-9
Farnoush M Moen, Mariam M Youssef, Mihir Shukla, Mary Lynn Nierodzik, Marius E Mayerhoefer, Christopher Park
{"title":"BRAF V600E mutation and high expression of PD-L1 in Rosai-Dorfman disease: case report and review of the literature.","authors":"Farnoush M Moen, Mariam M Youssef, Mihir Shukla, Mary Lynn Nierodzik, Marius E Mayerhoefer, Christopher Park","doi":"10.1007/s12308-024-00611-9","DOIUrl":null,"url":null,"abstract":"<p><p>BRAF V600E mutations are frequently found in histiocytic/dendritic cell neoplasms such as Erdheim-Chester disease (ECD) and Langerhans cell histiocytosis (LCH), but few reports have also described BRAF mutations in Rosai-Dorfman disease (RDD), and even these cases may predominantly represent mixed histiocytosis. BRAF mutations have been studied in histiocytic/dendritic cell neoplasms and described to be associated with increased risk of relapse and long-term consequences, but few studies have examined BRAF V600E mutation in RDD, which is recognized as a neoplasm given the high frequency of MAPK pathway alterations. Here, we report a case of BRAF V600E-mutated RDD in a patient who presented with generalized lymphadenopathy. During our evaluation of this patient, we also found expression of PD-L1 in neoplastic histiocytes. During our review period, only few cases of RDD reported to harbor BRAF mutation or were evaluated for the expression of PDL1 by neoplastic cells. Given the potential challenges in distinguishing RDD from other histiocytic/dendritic cell neoplasms, including mixed histiocytosis with similar clinicopathological manifestations, we will discuss the current state of knowledge regarding the frequency and clinical impact of BRAF V600E in RDD, as well as the role of BRAF mutations in RDD pathogenesis. Distinction of BRAF V600E mutated histiocytic/dendritic cell neoplasms requires consideration of distinctive histopathological and immunophenotypic findings in appropriate clinical and radiologic setting. Given the increasing use of BRAF inhibitors as well as checkpoint blockade inhibitors to treat a number of cancers, we will discuss the clinical implications of the presence of BRAF V600E mutation and PD-L1 expression in RDD.</p>","PeriodicalId":51320,"journal":{"name":"Journal of Hematopathology","volume":" ","pages":"183-189"},"PeriodicalIF":0.6000,"publicationDate":"2024-12-01","publicationTypes":"Journal Article","fieldsOfStudy":null,"isOpenAccess":false,"openAccessPdf":"https://www.ncbi.nlm.nih.gov/pmc/articles/PMC11635026/pdf/","citationCount":"0","resultStr":null,"platform":"Semanticscholar","paperid":null,"PeriodicalName":"Journal of Hematopathology","FirstCategoryId":"3","ListUrlMain":"https://doi.org/10.1007/s12308-024-00611-9","RegionNum":4,"RegionCategory":"医学","ArticlePicture":[],"TitleCN":null,"AbstractTextCN":null,"PMCID":null,"EPubDate":"2024/11/27 0:00:00","PubModel":"Epub","JCR":"Q4","JCRName":"HEMATOLOGY","Score":null,"Total":0}
引用次数: 0

Abstract

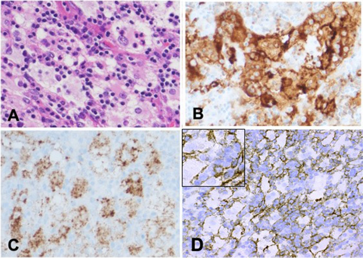
BRAF V600E mutations are frequently found in histiocytic/dendritic cell neoplasms such as Erdheim-Chester disease (ECD) and Langerhans cell histiocytosis (LCH), but few reports have also described BRAF mutations in Rosai-Dorfman disease (RDD), and even these cases may predominantly represent mixed histiocytosis. BRAF mutations have been studied in histiocytic/dendritic cell neoplasms and described to be associated with increased risk of relapse and long-term consequences, but few studies have examined BRAF V600E mutation in RDD, which is recognized as a neoplasm given the high frequency of MAPK pathway alterations. Here, we report a case of BRAF V600E-mutated RDD in a patient who presented with generalized lymphadenopathy. During our evaluation of this patient, we also found expression of PD-L1 in neoplastic histiocytes. During our review period, only few cases of RDD reported to harbor BRAF mutation or were evaluated for the expression of PDL1 by neoplastic cells. Given the potential challenges in distinguishing RDD from other histiocytic/dendritic cell neoplasms, including mixed histiocytosis with similar clinicopathological manifestations, we will discuss the current state of knowledge regarding the frequency and clinical impact of BRAF V600E in RDD, as well as the role of BRAF mutations in RDD pathogenesis. Distinction of BRAF V600E mutated histiocytic/dendritic cell neoplasms requires consideration of distinctive histopathological and immunophenotypic findings in appropriate clinical and radiologic setting. Given the increasing use of BRAF inhibitors as well as checkpoint blockade inhibitors to treat a number of cancers, we will discuss the clinical implications of the presence of BRAF V600E mutation and PD-L1 expression in RDD.

Abstract Image

Abstract Image

罗赛-多夫曼病的 BRAF V600E 突变和 PD-L1 高表达:病例报告和文献综述。
BRAF V600E突变经常见于组织细胞/树突状细胞肿瘤,如埃尔德海姆-切斯特病(Erdheim-Chester disease,ECD)和朗格汉斯细胞组织细胞增生症(Langerhans cell histiocytosis,LCH),但很少有报道称罗赛-多夫曼病(Rosai-Dorfman disease,RDD)也存在BRAF突变,甚至这些病例可能主要代表混合型组织细胞增生症。BRAF突变与组织细胞/树突状细胞肿瘤的复发风险增加和长期后果有关,但很少有研究对RDD中的BRAF V600E突变进行研究,鉴于MAPK通路的高频改变,RDD被认为是一种肿瘤。在此,我们报告了一例 BRAF V600E 突变的 RDD 患者,该患者出现全身淋巴结病。在对该患者的评估过程中,我们还发现肿瘤组织细胞中有 PD-L1 的表达。在我们的研究期间,只有少数 RDD 病例报告携带 BRAF 基因突变或评估了肿瘤细胞表达 PDL1 的情况。鉴于将 RDD 与其他组织细胞/树突状细胞肿瘤(包括临床病理表现相似的混合型组织细胞增生症)区分开来的潜在挑战,我们将讨论有关 BRAF V600E 在 RDD 中的出现频率和临床影响的知识现状,以及 BRAF 突变在 RDD 发病机制中的作用。要区分 BRAF V600E 突变的组织细胞/树突状细胞肿瘤,需要在适当的临床和放射学环境中考虑独特的组织病理学和免疫表型结果。鉴于越来越多地使用 BRAF 抑制剂和检查点阻断抑制剂来治疗多种癌症,我们将讨论 RDD 中出现 BRAF V600E 突变和 PD-L1 表达的临床意义。
本文章由计算机程序翻译,如有差异,请以英文原文为准。
求助全文
约1分钟内获得全文 求助全文
来源期刊
Journal of Hematopathology
Journal of Hematopathology HEMATOLOGYPATHOLOGY-PATHOLOGY
CiteScore
0.80
自引率
0.00%
发文量
45
期刊介绍: The Journal of Hematopathology aims at providing pathologists with a special interest in hematopathology with all the information needed to perform modern pathology in evaluating lymphoid tissues and bone marrow. To this end the journal publishes reviews, editorials, comments, original papers, guidelines and protocols, papers on ancillary techniques, and occasional case reports in the fields of the pathology, molecular biology, and clinical features of diseases of the hematopoietic system. The journal is the unique reference point for all pathologists with an interest in hematopathology. Molecular biologists involved in the expanding field of molecular diagnostics and research on lymphomas and leukemia benefit from the journal, too. Furthermore, the journal is of major interest for hematologists dealing with patients suffering from lymphomas, leukemias, and other diseases. The journal is unique in its true international character. Especially in the field of hematopathology it is clear that there are huge geographical variations in incidence of diseases. This is not only locally relevant, but due to globalization, relevant for all those involved in the management of patients.
×
引用
GB/T 7714-2015
复制
MLA
复制
APA
复制
导出至
BibTeX EndNote RefMan NoteFirst NoteExpress
×
提示
您的信息不完整,为了账户安全,请先补充。
现在去补充
×
提示
您因"违规操作"
具体请查看互助需知
我知道了
×
提示
确定
请完成安全验证×
copy
已复制链接
快去分享给好友吧!
我知道了
右上角分享
点击右上角分享
0
联系我们:info@booksci.cn Book学术提供免费学术资源搜索服务,方便国内外学者检索中英文文献。致力于提供最便捷和优质的服务体验。 Copyright © 2023 布克学术 All rights reserved.
京ICP备2023020795号-1
ghs 京公网安备 11010802042870号
Book学术文献互助
Book学术文献互助群
群 号:604180095
Book学术官方微信