Brentuximab-Induced Acute Interstitial Nephritis: A Case Report.

IF 1.5 Q3 UROLOGY & NEPHROLOGY
Canadian Journal of Kidney Health and Disease Pub Date : 2024-11-25 eCollection Date: 2024-01-01 DOI:10.1177/20543581241300766
Matthew Patterson, Pouneh Dokouhaki, Chance S Dumaine, Rebecca MacKay, Davina J Tai
{"title":"Brentuximab-Induced Acute Interstitial Nephritis: A Case Report.","authors":"Matthew Patterson, Pouneh Dokouhaki, Chance S Dumaine, Rebecca MacKay, Davina J Tai","doi":"10.1177/20543581241300766","DOIUrl":null,"url":null,"abstract":"<p><p>Brentuximab vedotin is a combination monoclonal antibody to anti-CD30 conjugated to the anti-tubulin agent monomethyl auristatin E. It is approved for the treatment of mycosis fungoides, Hodgkin's lymphoma, and systemic anaplastic large cell lymphoma. Brentuximab has been associated with a number of potential adverse reactions; however, reports of renal complications are rare. A 73-year-old male with mycosis fungoides was admitted to hospital with acute kidney injury following his third cycle of brentuximab. The patient's serum creatinine (SCr) was 122 µmol/L with an estimated glomerular filtration rate (eGFR) of 58 mL/min/1.73 m<sup>2</sup> at baseline. Following brentuximab, his SCr peaked at 1073 µmol/L over a 4-week period. Acute interstitial nephritis (AIN) was diagnosed after other causes of acute kidney injury were ruled out and subsequently confirmed on kidney biopsy. The patient was started on prednisone 50 mg daily. This was continued for 3 weeks, followed by a 5-week taper. The patient's SCr decreased to 156 µmol/L by completion of the prednisone taper. He was not rechallenged with brentuximab. A kidney biopsy confirmed AIN in keeping with injury from an immune checkpoint inhibitor (ICI). However, brentuximab is not an ICI. The AIN from ICIs typically has tubulointerstitial inflammatory infiltrate comprised of T lymphocytes such as the case presented here. Therefore, this represents both a novel histopathologic finding in AIN from a non-ICI medication and a rare complication of brentuximab, previously only presented in abstract form.</p>","PeriodicalId":9426,"journal":{"name":"Canadian Journal of Kidney Health and Disease","volume":"11 ","pages":"20543581241300766"},"PeriodicalIF":1.5000,"publicationDate":"2024-11-25","publicationTypes":"Journal Article","fieldsOfStudy":null,"isOpenAccess":false,"openAccessPdf":"https://www.ncbi.nlm.nih.gov/pmc/articles/PMC11587173/pdf/","citationCount":"0","resultStr":null,"platform":"Semanticscholar","paperid":null,"PeriodicalName":"Canadian Journal of Kidney Health and Disease","FirstCategoryId":"1085","ListUrlMain":"https://doi.org/10.1177/20543581241300766","RegionNum":0,"RegionCategory":null,"ArticlePicture":[],"TitleCN":null,"AbstractTextCN":null,"PMCID":null,"EPubDate":"2024/1/1 0:00:00","PubModel":"eCollection","JCR":"Q3","JCRName":"UROLOGY & NEPHROLOGY","Score":null,"Total":0}
引用次数: 0

Abstract

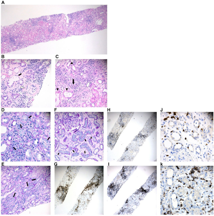
Brentuximab vedotin is a combination monoclonal antibody to anti-CD30 conjugated to the anti-tubulin agent monomethyl auristatin E. It is approved for the treatment of mycosis fungoides, Hodgkin's lymphoma, and systemic anaplastic large cell lymphoma. Brentuximab has been associated with a number of potential adverse reactions; however, reports of renal complications are rare. A 73-year-old male with mycosis fungoides was admitted to hospital with acute kidney injury following his third cycle of brentuximab. The patient's serum creatinine (SCr) was 122 µmol/L with an estimated glomerular filtration rate (eGFR) of 58 mL/min/1.73 m2 at baseline. Following brentuximab, his SCr peaked at 1073 µmol/L over a 4-week period. Acute interstitial nephritis (AIN) was diagnosed after other causes of acute kidney injury were ruled out and subsequently confirmed on kidney biopsy. The patient was started on prednisone 50 mg daily. This was continued for 3 weeks, followed by a 5-week taper. The patient's SCr decreased to 156 µmol/L by completion of the prednisone taper. He was not rechallenged with brentuximab. A kidney biopsy confirmed AIN in keeping with injury from an immune checkpoint inhibitor (ICI). However, brentuximab is not an ICI. The AIN from ICIs typically has tubulointerstitial inflammatory infiltrate comprised of T lymphocytes such as the case presented here. Therefore, this represents both a novel histopathologic finding in AIN from a non-ICI medication and a rare complication of brentuximab, previously only presented in abstract form.

Abstract Image

Abstract Image

Abstract Image

布托昔单抗诱发急性间质性肾炎:病例报告。
布伦妥昔单抗(Brentuximab vedotin)是一种抗CD30单克隆抗体与抗微管蛋白制剂单甲基奥司他丁E结合的复方制剂,已被批准用于治疗真菌病、霍奇金淋巴瘤和全身性无性大细胞淋巴瘤。布伦妥昔单抗与许多潜在的不良反应有关,但肾脏并发症的报道很少见。一名患有真菌病的 73 岁男性患者在使用布伦妥昔单抗第三个周期后因急性肾损伤入院。患者的血清肌酐(SCr)为 122 µmol/L,基线估计肾小球滤过率(eGFR)为 58 mL/min/1.73 m2。使用布伦妥昔单抗后,他的血肌酐(SCr)在四周内达到峰值 1073 µmol/L。在排除了导致急性肾损伤的其他原因后,他被诊断为急性间质性肾炎(AIN),随后肾活检证实了这一诊断。患者开始服用泼尼松,每天 50 毫克。持续用药 3 周,然后减量 5 周。泼尼松减量结束后,患者的 SCr 降至 156 µmol/L。他没有再接受布伦妥昔单抗治疗。肾活检证实,AIN 与免疫检查点抑制剂(ICI)的损伤一致。然而,布伦妥昔单抗并不是一种 ICI。ICI 引起的 AIN 通常会出现由 T 淋巴细胞组成的肾小管间质炎症浸润,本病例就是如此。因此,这既是非 ICI 药物所致 AIN 的一种新的组织病理学发现,也是布伦妥昔单抗的一种罕见并发症,以前仅以摘要形式出现过。
本文章由计算机程序翻译,如有差异,请以英文原文为准。
求助全文
约1分钟内获得全文 求助全文
来源期刊
CiteScore
3.00
自引率
5.90%
发文量
84
审稿时长
12 weeks
期刊介绍: Canadian Journal of Kidney Health and Disease, the official journal of the Canadian Society of Nephrology, is an open access, peer-reviewed online journal that encourages high quality submissions focused on clinical, translational and health services delivery research in the field of chronic kidney disease, dialysis, kidney transplantation and organ donation. Our mandate is to promote and advocate for kidney health as it impacts national and international communities. Basic science, translational studies and clinical studies will be peer reviewed and processed by an Editorial Board comprised of geographically diverse Canadian and international nephrologists, internists and allied health professionals; this Editorial Board is mandated to ensure highest quality publications.
×
引用
GB/T 7714-2015
复制
MLA
复制
APA
复制
导出至
BibTeX EndNote RefMan NoteFirst NoteExpress
×
提示
您的信息不完整,为了账户安全,请先补充。
现在去补充
×
提示
您因"违规操作"
具体请查看互助需知
我知道了
×
提示
确定
请完成安全验证×
copy
已复制链接
快去分享给好友吧!
我知道了
右上角分享
点击右上角分享
0
联系我们:info@booksci.cn Book学术提供免费学术资源搜索服务,方便国内外学者检索中英文文献。致力于提供最便捷和优质的服务体验。 Copyright © 2023 布克学术 All rights reserved.
京ICP备2023020795号-1
ghs 京公网安备 11010802042870号
Book学术文献互助
Book学术文献互助群
群 号:604180095
Book学术官方微信