Attitude of general dental practitioners, oral surgeons, and dentistry students towards oral lesions and oral biopsy.

IF 2.1 3区 医学 Q2 DENTISTRY, ORAL SURGERY & MEDICINE
V Schiavo-Di Flaviano, B González-Navarro, C Martín Carreras-Presa, E Jané-Salas, J López-López
{"title":"Attitude of general dental practitioners, oral surgeons, and dentistry students towards oral lesions and oral biopsy.","authors":"V Schiavo-Di Flaviano, B González-Navarro, C Martín Carreras-Presa, E Jané-Salas, J López-López","doi":"10.4317/medoral.26804","DOIUrl":null,"url":null,"abstract":"<p><strong>Background: </strong>Oral biopsy is a fundamental surgical procedure used to obtain a histopathological result that assists clinicians in establishing a definitive diagnosis of oral mucosal lesions. The aim of this study was to asses the knowledge and attitudes of dental students, general dentists, and oral surgery experts regarding the detection of oral lesions and the use of biopsy as a diagnostic tool.</p><p><strong>Material and methods: </strong>a self-administered questionnaire consisting of 26 questions and 3 clinical cases on oral lesions was distributed to general dentists, oral surgery specialists and final-year dentistry students at the University of Barcelona. A descriptive analysis of all variables included was performed. The chi-square test was used to compare categorical variables, and a multivariate logistic regression model was performed.</p><p><strong>Results: </strong>A total of 281 questionnaires were included in the study. In terms of diagnosing of oral lesions, 44.7% of students and 32.1% of general dentists were unable to make an accurate diagnosis, compared to 81.7% of specialists. Twelve students (15.8%) and twenty general dentists (14.9%) reported lacking the skills to perform a biopsy. Ninety general dentists (67.2%) reported feeling uncomfortable performing biopsies due to a lack of experience. Oral surgeons are 84.4 times more likely to identify lesions of the oral mucosa compared to students. General dentists experience 9.6 times more difficulty diagnosing oral lesions compared to students. General dentists are 0.43 times less likely to perform sample analysis compared to students.</p><p><strong>Conclusions: </strong>Oral biopsy is a procedure primarily performed by specialists in oral surgery, with its use among general dentists being limited, likely due to a lack of training in the field. To encourage the use of biopsy among general dentists, clinical training should be a fundamental component of the education of oral healthcare providers.</p>","PeriodicalId":49016,"journal":{"name":"Medicina Oral Patologia Oral Y Cirugia Bucal","volume":" ","pages":"e31-e40"},"PeriodicalIF":2.1000,"publicationDate":"2025-01-01","publicationTypes":"Journal Article","fieldsOfStudy":null,"isOpenAccess":false,"openAccessPdf":"https://www.ncbi.nlm.nih.gov/pmc/articles/PMC11801672/pdf/","citationCount":"0","resultStr":null,"platform":"Semanticscholar","paperid":null,"PeriodicalName":"Medicina Oral Patologia Oral Y Cirugia Bucal","FirstCategoryId":"3","ListUrlMain":"https://doi.org/10.4317/medoral.26804","RegionNum":3,"RegionCategory":"医学","ArticlePicture":[],"TitleCN":null,"AbstractTextCN":null,"PMCID":null,"EPubDate":"","PubModel":"","JCR":"Q2","JCRName":"DENTISTRY, ORAL SURGERY & MEDICINE","Score":null,"Total":0}
引用次数: 0

Abstract

Background: Oral biopsy is a fundamental surgical procedure used to obtain a histopathological result that assists clinicians in establishing a definitive diagnosis of oral mucosal lesions. The aim of this study was to asses the knowledge and attitudes of dental students, general dentists, and oral surgery experts regarding the detection of oral lesions and the use of biopsy as a diagnostic tool.

Material and methods: a self-administered questionnaire consisting of 26 questions and 3 clinical cases on oral lesions was distributed to general dentists, oral surgery specialists and final-year dentistry students at the University of Barcelona. A descriptive analysis of all variables included was performed. The chi-square test was used to compare categorical variables, and a multivariate logistic regression model was performed.

Results: A total of 281 questionnaires were included in the study. In terms of diagnosing of oral lesions, 44.7% of students and 32.1% of general dentists were unable to make an accurate diagnosis, compared to 81.7% of specialists. Twelve students (15.8%) and twenty general dentists (14.9%) reported lacking the skills to perform a biopsy. Ninety general dentists (67.2%) reported feeling uncomfortable performing biopsies due to a lack of experience. Oral surgeons are 84.4 times more likely to identify lesions of the oral mucosa compared to students. General dentists experience 9.6 times more difficulty diagnosing oral lesions compared to students. General dentists are 0.43 times less likely to perform sample analysis compared to students.

Conclusions: Oral biopsy is a procedure primarily performed by specialists in oral surgery, with its use among general dentists being limited, likely due to a lack of training in the field. To encourage the use of biopsy among general dentists, clinical training should be a fundamental component of the education of oral healthcare providers.

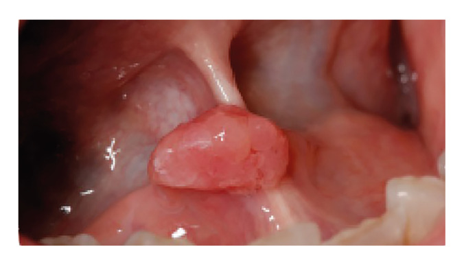
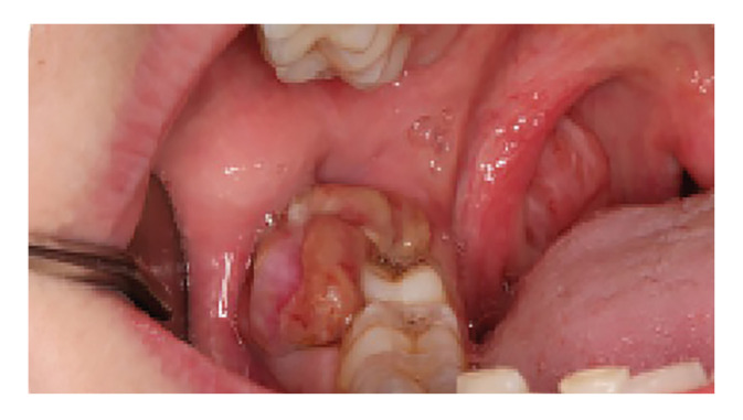
Abstract Image

Abstract Image

Abstract Image

普通牙科医生、口腔外科医生和牙科学生对口腔病变和口腔活检的态度。
背景:口腔活检是一种基本的外科手术方法,用于获得组织病理学结果,帮助临床医生确定口腔黏膜病变的明确诊断。本研究旨在评估牙科学生、普通牙医和口腔外科专家对口腔病变检测和活检作为诊断工具的使用的知识和态度。材料和方法:向巴塞罗那大学的普通牙医、口腔外科专家和牙科专业毕业班学生发放了一份自填式问卷,其中包括 26 个问题和 3 个口腔病变临床病例。对所有变量进行了描述性分析。采用卡方检验对分类变量进行比较,并建立了多变量逻辑回归模型:研究共纳入 281 份问卷。在诊断口腔病变方面,44.7%的学生和 32.1%的普通牙医无法做出准确诊断,而专科医生的这一比例为 81.7%。12名学生(15.8%)和20名普通牙医(14.9%)表示缺乏进行活组织检查的技能。90名普通牙医(67.2%)表示,由于缺乏经验,在进行活组织检查时感到不自在。口腔外科医生发现口腔黏膜病变的可能性是学生的 84.4 倍。普通牙科医生诊断口腔病变的难度是学生的 9.6 倍。与学生相比,普通牙科医生进行样本分析的可能性要低 0.43 倍:口腔活检主要由口腔外科专家进行,普通牙医对其使用有限,这很可能是由于缺乏这方面的培训。为鼓励普通牙医使用活检术,临床培训应成为口腔医疗保健提供者教育的基本组成部分。
本文章由计算机程序翻译,如有差异,请以英文原文为准。
求助全文
约1分钟内获得全文 求助全文
来源期刊
Medicina Oral Patologia Oral Y Cirugia Bucal
Medicina Oral Patologia Oral Y Cirugia Bucal DENTISTRY, ORAL SURGERY & MEDICINE-
CiteScore
4.60
自引率
0.00%
发文量
52
审稿时长
3-8 weeks
期刊介绍: 1. Oral Medicine and Pathology: Clinicopathological as well as medical or surgical management aspects of diseases affecting oral mucosa, salivary glands, maxillary bones, as well as orofacial neurological disorders, and systemic conditions with an impact on the oral cavity. 2. Oral Surgery: Surgical management aspects of diseases affecting oral mucosa, salivary glands, maxillary bones, teeth, implants, oral surgical procedures. Surgical management of diseases affecting head and neck areas. 3. Medically compromised patients in Dentistry: Articles discussing medical problems in Odontology will also be included, with a special focus on the clinico-odontological management of medically compromised patients, and considerations regarding high-risk or disabled patients. 4. Implantology 5. Periodontology
×
引用
GB/T 7714-2015
复制
MLA
复制
APA
复制
导出至
BibTeX EndNote RefMan NoteFirst NoteExpress
×
提示
您的信息不完整,为了账户安全,请先补充。
现在去补充
×
提示
您因"违规操作"
具体请查看互助需知
我知道了
×
提示
确定
请完成安全验证×
copy
已复制链接
快去分享给好友吧!
我知道了
右上角分享
点击右上角分享
0
联系我们:info@booksci.cn Book学术提供免费学术资源搜索服务,方便国内外学者检索中英文文献。致力于提供最便捷和优质的服务体验。 Copyright © 2023 布克学术 All rights reserved.
京ICP备2023020795号-1
ghs 京公网安备 11010802042870号
Book学术文献互助
Book学术文献互助群
群 号:604180095
Book学术官方微信