A Case of Pediatric Myopia Complicated by Vitreous Cyst: A Unique Ophthalmic Challenge.

IF 0.4 Q4 OPHTHALMOLOGY
Case Reports in Ophthalmological Medicine Pub Date : 2024-11-15 eCollection Date: 2024-01-01 DOI:10.1155/2024/4083031
Abdulaziz J Al Qattan, Abdulrahman Alasqah, Rafaa Babgi
{"title":"A Case of Pediatric Myopia Complicated by Vitreous Cyst: A Unique Ophthalmic Challenge.","authors":"Abdulaziz J Al Qattan, Abdulrahman Alasqah, Rafaa Babgi","doi":"10.1155/2024/4083031","DOIUrl":null,"url":null,"abstract":"<p><p>Vitreous cysts represent uncommon ophthalmological conditions. Most patients are asymptomatic, but a minority may experience symptoms such as floaters or blurred vision. Here, we report the case of a 2-year-old girl who was incidentally found to have a vitreous cyst in her left eye during a routine outpatient clinic visit. The cyst was observed to move with eye movements, was pigmented, lobulated, and measured 3 mm in diameter. Our patient exhibited several systemic manifestations. We recommended regular follow-up through clinical examinations and monitoring of the cyst using B-scan ultrasound.</p>","PeriodicalId":9603,"journal":{"name":"Case Reports in Ophthalmological Medicine","volume":"2024 ","pages":"4083031"},"PeriodicalIF":0.4000,"publicationDate":"2024-11-15","publicationTypes":"Journal Article","fieldsOfStudy":null,"isOpenAccess":false,"openAccessPdf":"https://www.ncbi.nlm.nih.gov/pmc/articles/PMC11584254/pdf/","citationCount":"0","resultStr":null,"platform":"Semanticscholar","paperid":null,"PeriodicalName":"Case Reports in Ophthalmological Medicine","FirstCategoryId":"1085","ListUrlMain":"https://doi.org/10.1155/2024/4083031","RegionNum":0,"RegionCategory":null,"ArticlePicture":[],"TitleCN":null,"AbstractTextCN":null,"PMCID":null,"EPubDate":"2024/1/1 0:00:00","PubModel":"eCollection","JCR":"Q4","JCRName":"OPHTHALMOLOGY","Score":null,"Total":0}
引用次数: 0

Abstract

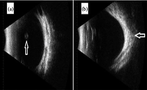
Vitreous cysts represent uncommon ophthalmological conditions. Most patients are asymptomatic, but a minority may experience symptoms such as floaters or blurred vision. Here, we report the case of a 2-year-old girl who was incidentally found to have a vitreous cyst in her left eye during a routine outpatient clinic visit. The cyst was observed to move with eye movements, was pigmented, lobulated, and measured 3 mm in diameter. Our patient exhibited several systemic manifestations. We recommended regular follow-up through clinical examinations and monitoring of the cyst using B-scan ultrasound.

Abstract Image

Abstract Image

一例玻璃体囊肿并发的小儿近视:独特的眼科难题。
玻璃体囊肿是一种不常见的眼科疾病。大多数患者没有症状,但也有少数患者会出现浮游物或视力模糊等症状。在此,我们报告了一例两岁女童的病例,她在一次常规门诊就诊时被偶然发现左眼有玻璃体囊肿。据观察,囊肿随眼球运动而移动,呈色素沉着、分叶状,直径为 3 毫米。患者表现出多种全身症状。我们建议通过临床检查进行定期随访,并使用 B 超扫描仪对囊肿进行监测。
本文章由计算机程序翻译,如有差异,请以英文原文为准。
求助全文
约1分钟内获得全文 求助全文
来源期刊
自引率
0.00%
发文量
38
审稿时长
14 weeks
×
引用
GB/T 7714-2015
复制
MLA
复制
APA
复制
导出至
BibTeX EndNote RefMan NoteFirst NoteExpress
×
提示
您的信息不完整,为了账户安全,请先补充。
现在去补充
×
提示
您因"违规操作"
具体请查看互助需知
我知道了
×
提示
确定
请完成安全验证×
copy
已复制链接
快去分享给好友吧!
我知道了
右上角分享
点击右上角分享
0
联系我们:info@booksci.cn Book学术提供免费学术资源搜索服务,方便国内外学者检索中英文文献。致力于提供最便捷和优质的服务体验。 Copyright © 2023 布克学术 All rights reserved.
京ICP备2023020795号-1
ghs 京公网安备 11010802042870号
Book学术文献互助
Book学术文献互助群
群 号:604180095
Book学术官方微信