Bronchial Artery Embolization for a Mediastinal Aortopulmonary Paraganglioma Safe Resection: A Case Report.

IF 0.5 Q4 SURGERY
Case Reports in Surgery Pub Date : 2024-11-16 eCollection Date: 2024-01-01 DOI:10.1155/2024/5764491
Diego Salcedo Miranda, Jorge Roberto Galvis O, Luis Gerardo García-Herreros, David Torres Cortes, Oscar Rivero Rapalino
{"title":"Bronchial Artery Embolization for a Mediastinal Aortopulmonary Paraganglioma Safe Resection: A Case Report.","authors":"Diego Salcedo Miranda, Jorge Roberto Galvis O, Luis Gerardo García-Herreros, David Torres Cortes, Oscar Rivero Rapalino","doi":"10.1155/2024/5764491","DOIUrl":null,"url":null,"abstract":"<p><p>Paraganglioma of the middle mediastinum has a prevalence of 1%-2% of paragangliomas and less than 1% of mediastinal masses. It is generally asymptomatic and can easily be confused with other pathologies. The following is the case of a 50-year-old patient who, as an incidental finding, documented an injury between the aorta and the pulmonary artery, hypervascularized, which was embolized prior to surgery, which facilitated the complete resection of the lesion by sternotomy. With favorable evolution of the patient and discharge on the fourth postoperative day. A thorough review of the literature on the diagnostic and treatment approach to this pathology has been also carried out.</p>","PeriodicalId":9600,"journal":{"name":"Case Reports in Surgery","volume":"2024 ","pages":"5764491"},"PeriodicalIF":0.5000,"publicationDate":"2024-11-16","publicationTypes":"Journal Article","fieldsOfStudy":null,"isOpenAccess":false,"openAccessPdf":"https://www.ncbi.nlm.nih.gov/pmc/articles/PMC11585371/pdf/","citationCount":"0","resultStr":null,"platform":"Semanticscholar","paperid":null,"PeriodicalName":"Case Reports in Surgery","FirstCategoryId":"1085","ListUrlMain":"https://doi.org/10.1155/2024/5764491","RegionNum":0,"RegionCategory":null,"ArticlePicture":[],"TitleCN":null,"AbstractTextCN":null,"PMCID":null,"EPubDate":"2024/1/1 0:00:00","PubModel":"eCollection","JCR":"Q4","JCRName":"SURGERY","Score":null,"Total":0}
引用次数: 0

Abstract

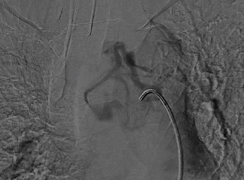
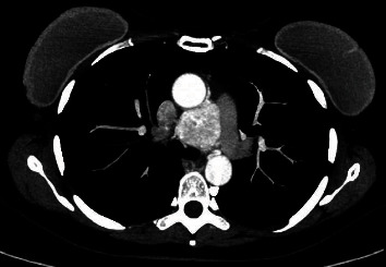
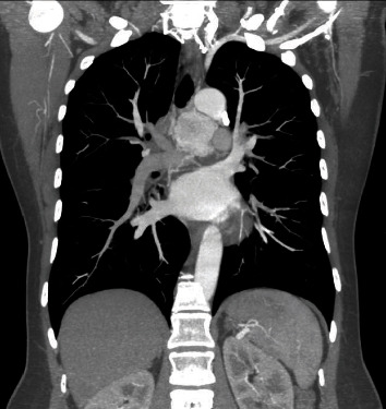
Paraganglioma of the middle mediastinum has a prevalence of 1%-2% of paragangliomas and less than 1% of mediastinal masses. It is generally asymptomatic and can easily be confused with other pathologies. The following is the case of a 50-year-old patient who, as an incidental finding, documented an injury between the aorta and the pulmonary artery, hypervascularized, which was embolized prior to surgery, which facilitated the complete resection of the lesion by sternotomy. With favorable evolution of the patient and discharge on the fourth postoperative day. A thorough review of the literature on the diagnostic and treatment approach to this pathology has been also carried out.

Abstract Image

Abstract Image

Abstract Image

支气管动脉栓塞治疗纵隔主动脉肺副神经节瘤安全切除术:病例报告。
中纵隔副神经节瘤的发病率为副神经节瘤的 1%-2%,不到纵隔肿块的 1%。它一般没有症状,很容易与其他病变混淆。以下是一名 50 岁患者的病例,他偶然发现主动脉和肺动脉之间有损伤,血管扩张,手术前对其进行了栓塞,这有助于通过胸骨切开术完全切除病灶。术后第四天,患者康复出院。此外,还对该病症的诊断和治疗方法进行了全面的文献综述。
本文章由计算机程序翻译,如有差异,请以英文原文为准。
求助全文
约1分钟内获得全文 求助全文
来源期刊
自引率
0.00%
发文量
60
审稿时长
13 weeks
×
引用
GB/T 7714-2015
复制
MLA
复制
APA
复制
导出至
BibTeX EndNote RefMan NoteFirst NoteExpress
×
提示
您的信息不完整,为了账户安全,请先补充。
现在去补充
×
提示
您因"违规操作"
具体请查看互助需知
我知道了
×
提示
确定
请完成安全验证×
copy
已复制链接
快去分享给好友吧!
我知道了
右上角分享
点击右上角分享
0
联系我们:info@booksci.cn Book学术提供免费学术资源搜索服务,方便国内外学者检索中英文文献。致力于提供最便捷和优质的服务体验。 Copyright © 2023 布克学术 All rights reserved.
京ICP备2023020795号-1
ghs 京公网安备 11010802042870号
Book学术文献互助
Book学术文献互助群
群 号:604180095
Book学术官方微信