Lymphangitic Carcinomatosis Presenting as Cough: A Case of Occult Metastatic Prostate Adenocarcinoma.

IF 0.6 Q4 ONCOLOGY
Case Reports in Oncological Medicine Pub Date : 2024-11-15 eCollection Date: 2024-01-01 DOI:10.1155/2024/9915126
Sharanya Kumar, Allen Seylani, Rahul Tuli, Eric Abedi, Keerti Khandelwal
{"title":"Lymphangitic Carcinomatosis Presenting as Cough: A Case of Occult Metastatic Prostate Adenocarcinoma.","authors":"Sharanya Kumar, Allen Seylani, Rahul Tuli, Eric Abedi, Keerti Khandelwal","doi":"10.1155/2024/9915126","DOIUrl":null,"url":null,"abstract":"<p><p><b>Background:</b> Lymphangitic carcinomatosis (LC), a hallmark of advanced metastatic cancer with a poor prognosis, primarily impacts the lymphatic system of the lungs, manifesting as progressive breathlessness, cough, or hemoptysis. While prostate cancer commonly metastasizes to bones and regional lymph nodes, lung involvement is rare. This case features a patient in generally good health who presented with an insidious dry cough, leading to a diagnosis of Stage 4 prostatic adenocarcinoma with rare lymphangitic spread to the lungs. <b>Case Presentation:</b> A 70-year-old male in good health presented with chest tightness, a dry cough, and sudden left testicular swelling. Imaging revealed interstitial lung markings, severe left hydronephrosis, and prostatomegaly. A prostate biopsy confirmed adenocarcinoma. A PET-CT scan raised significant concern for LC, prompting the initiation of urgent inpatient chemotherapy with docetaxel. <b>Conclusion:</b> LC is a metastatic pattern commonly associated with solid tumors, particularly breast, gastric, and lung cancers. Its occurrence in prostate cancer is exceptionally rare. This condition is typically linked with advanced disease and a poor prognosis, often serving as a critical indicator of an underlying malignancy that may otherwise go undetected.</p>","PeriodicalId":9636,"journal":{"name":"Case Reports in Oncological Medicine","volume":"2024 ","pages":"9915126"},"PeriodicalIF":0.6000,"publicationDate":"2024-11-15","publicationTypes":"Journal Article","fieldsOfStudy":null,"isOpenAccess":false,"openAccessPdf":"https://www.ncbi.nlm.nih.gov/pmc/articles/PMC11584256/pdf/","citationCount":"0","resultStr":null,"platform":"Semanticscholar","paperid":null,"PeriodicalName":"Case Reports in Oncological Medicine","FirstCategoryId":"1085","ListUrlMain":"https://doi.org/10.1155/2024/9915126","RegionNum":0,"RegionCategory":null,"ArticlePicture":[],"TitleCN":null,"AbstractTextCN":null,"PMCID":null,"EPubDate":"2024/1/1 0:00:00","PubModel":"eCollection","JCR":"Q4","JCRName":"ONCOLOGY","Score":null,"Total":0}
引用次数: 0

Abstract

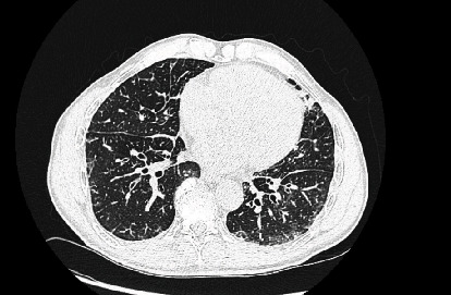
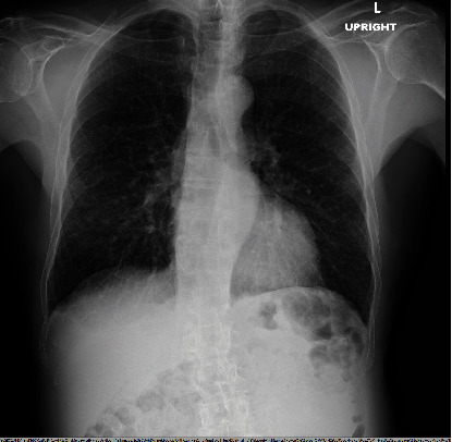
Background: Lymphangitic carcinomatosis (LC), a hallmark of advanced metastatic cancer with a poor prognosis, primarily impacts the lymphatic system of the lungs, manifesting as progressive breathlessness, cough, or hemoptysis. While prostate cancer commonly metastasizes to bones and regional lymph nodes, lung involvement is rare. This case features a patient in generally good health who presented with an insidious dry cough, leading to a diagnosis of Stage 4 prostatic adenocarcinoma with rare lymphangitic spread to the lungs. Case Presentation: A 70-year-old male in good health presented with chest tightness, a dry cough, and sudden left testicular swelling. Imaging revealed interstitial lung markings, severe left hydronephrosis, and prostatomegaly. A prostate biopsy confirmed adenocarcinoma. A PET-CT scan raised significant concern for LC, prompting the initiation of urgent inpatient chemotherapy with docetaxel. Conclusion: LC is a metastatic pattern commonly associated with solid tumors, particularly breast, gastric, and lung cancers. Its occurrence in prostate cancer is exceptionally rare. This condition is typically linked with advanced disease and a poor prognosis, often serving as a critical indicator of an underlying malignancy that may otherwise go undetected.

Abstract Image

Abstract Image

Abstract Image

以咳嗽为表现的淋巴管瘤病:一例隐匿转移性前列腺腺癌病例
背景:淋巴管癌肿(LC)是预后不良的晚期转移性癌症的标志,主要影响肺部淋巴系统,表现为进行性呼吸困难、咳嗽或咯血。虽然前列腺癌通常会转移到骨骼和区域淋巴结,但肺部受累的情况并不多见。本病例中的患者总体健康状况良好,但出现隐匿性干咳,最终被诊断为前列腺腺癌 4 期,并伴有罕见的肺部淋巴管转移。病例介绍:一名 70 岁男性,健康状况良好,因胸闷、干咳和突发性左侧睾丸肿胀就诊。影像学检查发现肺间质性病变、严重的左肾积水和前列腺肿大。前列腺活检证实为腺癌。PET-CT 扫描显示该患者患有 LC,这促使他接受了多西他赛住院化疗。结论LC 是实体瘤(尤其是乳腺癌、胃癌和肺癌)常见的转移模式。在前列腺癌中出现这种情况极为罕见。这种情况通常与晚期疾病和不良预后有关,通常是潜在恶性肿瘤的一个重要指标,否则可能无法发现。
本文章由计算机程序翻译,如有差异,请以英文原文为准。
求助全文
约1分钟内获得全文 求助全文
来源期刊
自引率
0.00%
发文量
11
审稿时长
16 weeks
期刊介绍: Case Reports in Oncological Medicine is a peer-reviewed, Open Access journal that publishes case reports and case series related to breast cancer, lung cancer, gastrointestinal cancer, skin cancer, head and neck cancer, paediatric oncology, neurooncology as well as genitourinary cancer.
×
引用
GB/T 7714-2015
复制
MLA
复制
APA
复制
导出至
BibTeX EndNote RefMan NoteFirst NoteExpress
×
提示
您的信息不完整,为了账户安全,请先补充。
现在去补充
×
提示
您因"违规操作"
具体请查看互助需知
我知道了
×
提示
确定
请完成安全验证×
copy
已复制链接
快去分享给好友吧!
我知道了
右上角分享
点击右上角分享
0
联系我们:info@booksci.cn Book学术提供免费学术资源搜索服务,方便国内外学者检索中英文文献。致力于提供最便捷和优质的服务体验。 Copyright © 2023 布克学术 All rights reserved.
京ICP备2023020795号-1
ghs 京公网安备 11010802042870号
Book学术文献互助
Book学术文献互助群
群 号:604180095
Book学术官方微信