IWR-1 attenuates the promotional effect of IL-36γ in a mouse model of psoriasis.

IF 2.7 4区 医学 Q3 IMMUNOLOGY
Wen-Ming Wang, Yi-Meng Gao, Xiao-Feng Zheng, Hong-Zhong Jin
{"title":"IWR-1 attenuates the promotional effect of IL-36γ in a mouse model of psoriasis.","authors":"Wen-Ming Wang, Yi-Meng Gao, Xiao-Feng Zheng, Hong-Zhong Jin","doi":"10.1186/s12865-024-00669-1","DOIUrl":null,"url":null,"abstract":"<p><strong>Background: </strong>Psoriasis is a chronic inflammatory skin disease. The Wnt/β-catenin signaling pathway is essential for the regulation of adult stem cells, homeostasis, and tissue regeneration; however, the relationship between this pathway and interleukin (IL)-36γ in the pathogenesis of psoriasis remains unclear.</p><p><strong>Methods: </strong>In this study, psoriasiform model mice were established using imiquimod (IMQ) induction. Hematoxylin and eosin (H&E) staining was used to evaluate pathological morphologies, while immunohistochemistry was used to verify the expression patterns of β-catenin and the inflammatory factors IL-6, IL-17 A, and interferon (IFN)-γ.</p><p><strong>Results: </strong>IL-36γ treatment increased psoriasis area and severity index scores, and enhanced proliferation of keratinocytes in IMQ-induced psoriatic mice. The effects of IL-36γ on the severity of psoriasiform lesions and epidermal hyperplasia were partly inhibited by IWR-1, which is an inhibitor of the Wnt/β-catenin signaling pathway. Furthermore, the levels of proinflammatory cytokines and molecules involved in the Wnt/β-catenin signaling pathway in psoriatic mouse skin, including IL-6, IL-17 A, IFN-γ, β-catenin, and Dickkopf-1 (DKK1), were upregulated by treatment with IL-36γ. Consistently, the effects of IL-36γ on the inflammatory response and the Wnt/β-catenin signaling pathway were alleviated by IWR-1.</p><p><strong>Conclusions: </strong>Taken together, our findings suggested that inhibition of the Wnt/β-catenin signaling pathway may be useful in the alleviation of IL-36γ-induced psoriasis-like lesions.</p>","PeriodicalId":9040,"journal":{"name":"BMC Immunology","volume":"25 1","pages":"78"},"PeriodicalIF":2.7000,"publicationDate":"2024-11-23","publicationTypes":"Journal Article","fieldsOfStudy":null,"isOpenAccess":false,"openAccessPdf":"https://www.ncbi.nlm.nih.gov/pmc/articles/PMC11585084/pdf/","citationCount":"0","resultStr":null,"platform":"Semanticscholar","paperid":null,"PeriodicalName":"BMC Immunology","FirstCategoryId":"3","ListUrlMain":"https://doi.org/10.1186/s12865-024-00669-1","RegionNum":4,"RegionCategory":"医学","ArticlePicture":[],"TitleCN":null,"AbstractTextCN":null,"PMCID":null,"EPubDate":"","PubModel":"","JCR":"Q3","JCRName":"IMMUNOLOGY","Score":null,"Total":0}
引用次数: 0

Abstract

Background: Psoriasis is a chronic inflammatory skin disease. The Wnt/β-catenin signaling pathway is essential for the regulation of adult stem cells, homeostasis, and tissue regeneration; however, the relationship between this pathway and interleukin (IL)-36γ in the pathogenesis of psoriasis remains unclear.

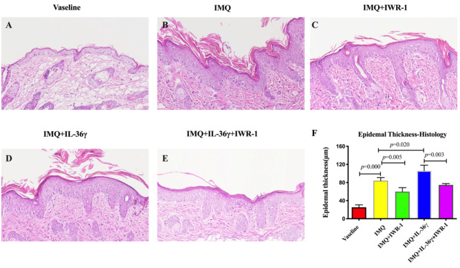
Methods: In this study, psoriasiform model mice were established using imiquimod (IMQ) induction. Hematoxylin and eosin (H&E) staining was used to evaluate pathological morphologies, while immunohistochemistry was used to verify the expression patterns of β-catenin and the inflammatory factors IL-6, IL-17 A, and interferon (IFN)-γ.

Results: IL-36γ treatment increased psoriasis area and severity index scores, and enhanced proliferation of keratinocytes in IMQ-induced psoriatic mice. The effects of IL-36γ on the severity of psoriasiform lesions and epidermal hyperplasia were partly inhibited by IWR-1, which is an inhibitor of the Wnt/β-catenin signaling pathway. Furthermore, the levels of proinflammatory cytokines and molecules involved in the Wnt/β-catenin signaling pathway in psoriatic mouse skin, including IL-6, IL-17 A, IFN-γ, β-catenin, and Dickkopf-1 (DKK1), were upregulated by treatment with IL-36γ. Consistently, the effects of IL-36γ on the inflammatory response and the Wnt/β-catenin signaling pathway were alleviated by IWR-1.

Conclusions: Taken together, our findings suggested that inhibition of the Wnt/β-catenin signaling pathway may be useful in the alleviation of IL-36γ-induced psoriasis-like lesions.

Abstract Image

Abstract Image

Abstract Image

在银屑病小鼠模型中,IWR-1 可减轻 IL-36γ 的促进作用。
背景:牛皮癣是一种慢性炎症性皮肤病:银屑病是一种慢性炎症性皮肤病。Wnt/β-catenin信号通路对于调节成体干细胞、稳态和组织再生至关重要;然而,该通路与白细胞介素(IL)-36γ在银屑病发病机制中的关系仍不清楚:本研究利用咪喹莫特(IMQ)诱导建立了银屑病模型小鼠。方法:本研究利用咪喹莫特(IMQ)诱导银屑病模型小鼠,采用苏木精和伊红(H&E)染色评估病理形态,免疫组化验证β-catenin和炎症因子IL-6、IL-17 A及干扰素(IFN)-γ的表达模式:结果:IL-36γ治疗增加了IMQ诱导的银屑病小鼠的银屑病面积和严重程度指数评分,并促进了角质形成细胞的增殖。IWR-1是Wnt/β-catenin信号通路的抑制剂,它能部分抑制IL-36γ对银屑病皮损严重程度和表皮增生的影响。此外,银屑病小鼠皮肤中的促炎细胞因子和参与 Wnt/β-catenin 信号通路的分子(包括 IL-6、IL-17 A、IFN-γ、β-catenin 和 Dickkopf-1 (DKK1))的水平在 IL-36γ 治疗后上调。同样,IL-36γ对炎症反应和Wnt/β-catenin信号通路的影响也因IWR-1而减轻:综上所述,我们的研究结果表明,抑制 Wnt/β-catenin 信号通路可能有助于缓解 IL-36γ 诱导的银屑病样皮损。
本文章由计算机程序翻译,如有差异,请以英文原文为准。
求助全文
约1分钟内获得全文 求助全文
来源期刊
BMC Immunology
BMC Immunology 医学-免疫学
CiteScore
5.50
自引率
0.00%
发文量
54
审稿时长
1 months
期刊介绍: BMC Immunology is an open access journal publishing original peer-reviewed research articles in molecular, cellular, tissue-level, organismal, functional, and developmental aspects of the immune system as well as clinical studies and animal models of human diseases.
×
引用
GB/T 7714-2015
复制
MLA
复制
APA
复制
导出至
BibTeX EndNote RefMan NoteFirst NoteExpress
×
提示
您的信息不完整,为了账户安全,请先补充。
现在去补充
×
提示
您因"违规操作"
具体请查看互助需知
我知道了
×
提示
确定
请完成安全验证×
copy
已复制链接
快去分享给好友吧!
我知道了
右上角分享
点击右上角分享
0
联系我们:info@booksci.cn Book学术提供免费学术资源搜索服务,方便国内外学者检索中英文文献。致力于提供最便捷和优质的服务体验。 Copyright © 2023 布克学术 All rights reserved.
京ICP备2023020795号-1
ghs 京公网安备 11010802042870号
Book学术文献互助
Book学术文献互助群
群 号:604180095
Book学术官方微信