Non-Alpine Thyroid Angiosarcoma Presenting with Unique Spinal Metastasis: A Rare Case Report from Pakistan.

Current health sciences journal Pub Date : 2024-07-01 Epub Date: 2024-09-30 DOI:10.12865/CHSJ.50.03.15
Seyreen Faisal, Hadia Wali, Tahir Muhammad, Tafiya Erum Kamran, Rabia Saleem
{"title":"Non-Alpine Thyroid Angiosarcoma Presenting with Unique Spinal Metastasis: A Rare Case Report from Pakistan.","authors":"Seyreen Faisal, Hadia Wali, Tahir Muhammad, Tafiya Erum Kamran, Rabia Saleem","doi":"10.12865/CHSJ.50.03.15","DOIUrl":null,"url":null,"abstract":"<p><p>Thyroid angiosarcoma is an extraordinarily sparse malignancy, often populating alpine regions. Clinically, thyroid angiosarcomas tend to be nonspecific in presentation, starkly dependent on site, size, extension, and metastases. Tumors are locally aggressive and can present with sudden onset pain due to intra-nodular hemorrhage and compressive symptoms from sudden expansion. Due to the disease being a scarcely reported entity, there is little scholarship regarding its management. We report an interesting case of a 63-year-old man presenting with a swelling in the neck, incidentally found to be a thyroid angiosarcoma with a first-time reported associated spinal metastasis. The patient has a uniquely presenting thyroid angiosarcoma and is the first patient to present as such within a non-alpine South Asian region.</p>","PeriodicalId":93963,"journal":{"name":"Current health sciences journal","volume":"50 5","pages":"458-462"},"PeriodicalIF":0.0000,"publicationDate":"2024-07-01","publicationTypes":"Journal Article","fieldsOfStudy":null,"isOpenAccess":false,"openAccessPdf":"https://www.ncbi.nlm.nih.gov/pmc/articles/PMC11578352/pdf/","citationCount":"0","resultStr":null,"platform":"Semanticscholar","paperid":null,"PeriodicalName":"Current health sciences journal","FirstCategoryId":"1085","ListUrlMain":"https://doi.org/10.12865/CHSJ.50.03.15","RegionNum":0,"RegionCategory":null,"ArticlePicture":[],"TitleCN":null,"AbstractTextCN":null,"PMCID":null,"EPubDate":"2024/9/30 0:00:00","PubModel":"Epub","JCR":"","JCRName":"","Score":null,"Total":0}
引用次数: 0

Abstract

Thyroid angiosarcoma is an extraordinarily sparse malignancy, often populating alpine regions. Clinically, thyroid angiosarcomas tend to be nonspecific in presentation, starkly dependent on site, size, extension, and metastases. Tumors are locally aggressive and can present with sudden onset pain due to intra-nodular hemorrhage and compressive symptoms from sudden expansion. Due to the disease being a scarcely reported entity, there is little scholarship regarding its management. We report an interesting case of a 63-year-old man presenting with a swelling in the neck, incidentally found to be a thyroid angiosarcoma with a first-time reported associated spinal metastasis. The patient has a uniquely presenting thyroid angiosarcoma and is the first patient to present as such within a non-alpine South Asian region.

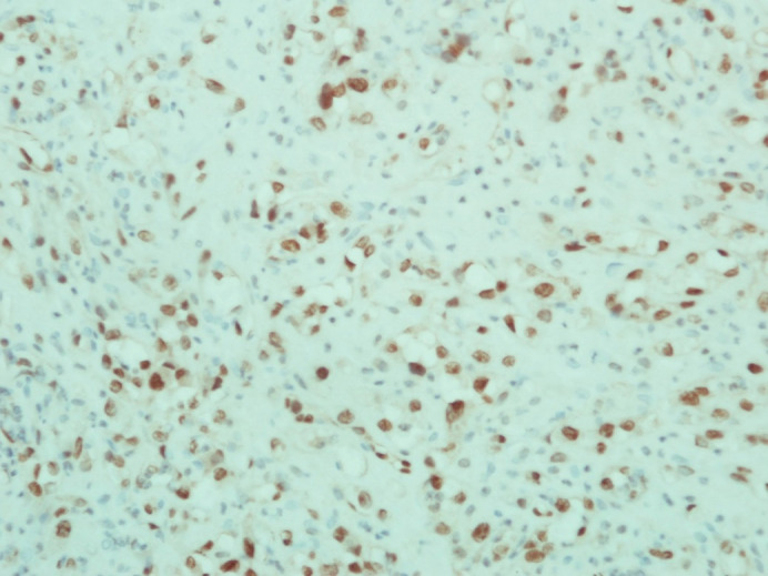
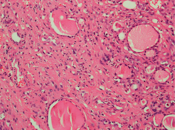
Abstract Image

Abstract Image

出现独特脊柱转移的非阿尔卑斯甲状腺血管肉瘤:来自巴基斯坦的罕见病例报告
甲状腺血管肉瘤是一种非常罕见的恶性肿瘤,通常发生在高寒地区。在临床上,甲状腺血管肉瘤的表现往往没有特异性,明显取决于肿瘤的部位、大小、扩展和转移。肿瘤具有局部侵袭性,可因结节内出血和突然扩张引起的压迫症状而表现为突发性疼痛。由于这种疾病鲜有报道,有关其治疗的学术研究也很少。我们报告了一例有趣的病例,患者是一名63岁的男性,因颈部肿物就诊,偶然发现是甲状腺血管肉瘤,并首次报告伴有脊柱转移。该患者的甲状腺血管肉瘤表现独特,是南亚非高山地区的首例患者。
本文章由计算机程序翻译,如有差异,请以英文原文为准。
求助全文
约1分钟内获得全文 求助全文
来源期刊
自引率
0.00%
发文量
0
×
引用
GB/T 7714-2015
复制
MLA
复制
APA
复制
导出至
BibTeX EndNote RefMan NoteFirst NoteExpress
×
提示
您的信息不完整,为了账户安全,请先补充。
现在去补充
×
提示
您因"违规操作"
具体请查看互助需知
我知道了
×
提示
确定
请完成安全验证×
copy
已复制链接
快去分享给好友吧!
我知道了
右上角分享
点击右上角分享
0
联系我们:info@booksci.cn Book学术提供免费学术资源搜索服务,方便国内外学者检索中英文文献。致力于提供最便捷和优质的服务体验。 Copyright © 2023 布克学术 All rights reserved.
京ICP备2023020795号-1
ghs 京公网安备 11010802042870号
Book学术文献互助
Book学术文献互助群
群 号:604180095
Book学术官方微信