Paraduodenal pancreatitis as diagnostic challenge: clinical and morphological features of patients with pancreatic pathology involving the pancreatic groove.

IF 2.2 Q3 GASTROENTEROLOGY & HEPATOLOGY
Annals of Gastroenterology Pub Date : 2024-11-01 Epub Date: 2024-10-20 DOI:10.20524/aog.2024.0914
Francesco Vitali, Marc Heinrich, Deike Strobel, Sebastian Zundler, Ali A Aghdassi, Michael Uder, Markus F Neurath, Robert Grützmann, Marco Wiesmueller, Luca Frulloni, Dane Wildner
{"title":"Paraduodenal pancreatitis as diagnostic challenge: clinical and morphological features of patients with pancreatic pathology involving the pancreatic groove.","authors":"Francesco Vitali, Marc Heinrich, Deike Strobel, Sebastian Zundler, Ali A Aghdassi, Michael Uder, Markus F Neurath, Robert Grützmann, Marco Wiesmueller, Luca Frulloni, Dane Wildner","doi":"10.20524/aog.2024.0914","DOIUrl":null,"url":null,"abstract":"<p><strong>Background: </strong>Paraduodenal pancreatitis (PP) is an inflammation involving the groove zone, delimited by the duodenum lumen, bile duct, and the head of the pancreas. This area may also be involved during acute pancreatitis (AP). The differential diagnosis is clinically relevant, since PP generally persists, whereas AP resolves. Hence, we compared a cohort of patients with PP and AP involving the groove area.</p><p><strong>Methods: </strong>We retrospectively evaluated patients with pathology involving the groove area. The primary aim was to define the diagnostic features of PP compared to non-PP pancreatitis involving the groove area. PP was diagnosed by imaging, while AP was diagnosed according to the revised Atlanta classification and the clinical course, to exclude chronic pancreatitis.</p><p><strong>Results: </strong>The study population consisted of 37 patients (32 men, age 56.9±9.1 years), 25 with a diagnosis of PP (23 men, mean age 54.9±8.5 years), and 12 (9 men, mean age 61.2±9.2 years) with AP involving the groove. All 25 patients with PP and 4 (33.3%) with AP reported a history of alcohol abuse, 23 patients (92%) with PP, and 3 (25%) with AP had a history of smoking. On imaging, PP patients presented a significantly thicker duodenal wall compared to the AP group (P=0.010). Chronic pancreatitis in the body/tail and exocrine insufficiency was prevalent in PP (P<0.001 and P=0.02). The medial displacement of the gastroduodenal artery was more frequent in the PP group (P=0.011).</p><p><strong>Conclusion: </strong>PP has a different clinical and imaging profile compared to AP involving the groove area.</p>","PeriodicalId":7978,"journal":{"name":"Annals of Gastroenterology","volume":"37 6","pages":"742-749"},"PeriodicalIF":2.2000,"publicationDate":"2024-11-01","publicationTypes":"Journal Article","fieldsOfStudy":null,"isOpenAccess":false,"openAccessPdf":"https://www.ncbi.nlm.nih.gov/pmc/articles/PMC11574150/pdf/","citationCount":"0","resultStr":null,"platform":"Semanticscholar","paperid":null,"PeriodicalName":"Annals of Gastroenterology","FirstCategoryId":"1085","ListUrlMain":"https://doi.org/10.20524/aog.2024.0914","RegionNum":0,"RegionCategory":null,"ArticlePicture":[],"TitleCN":null,"AbstractTextCN":null,"PMCID":null,"EPubDate":"2024/10/20 0:00:00","PubModel":"Epub","JCR":"Q3","JCRName":"GASTROENTEROLOGY & HEPATOLOGY","Score":null,"Total":0}
引用次数: 0

Abstract

Background: Paraduodenal pancreatitis (PP) is an inflammation involving the groove zone, delimited by the duodenum lumen, bile duct, and the head of the pancreas. This area may also be involved during acute pancreatitis (AP). The differential diagnosis is clinically relevant, since PP generally persists, whereas AP resolves. Hence, we compared a cohort of patients with PP and AP involving the groove area.

Methods: We retrospectively evaluated patients with pathology involving the groove area. The primary aim was to define the diagnostic features of PP compared to non-PP pancreatitis involving the groove area. PP was diagnosed by imaging, while AP was diagnosed according to the revised Atlanta classification and the clinical course, to exclude chronic pancreatitis.

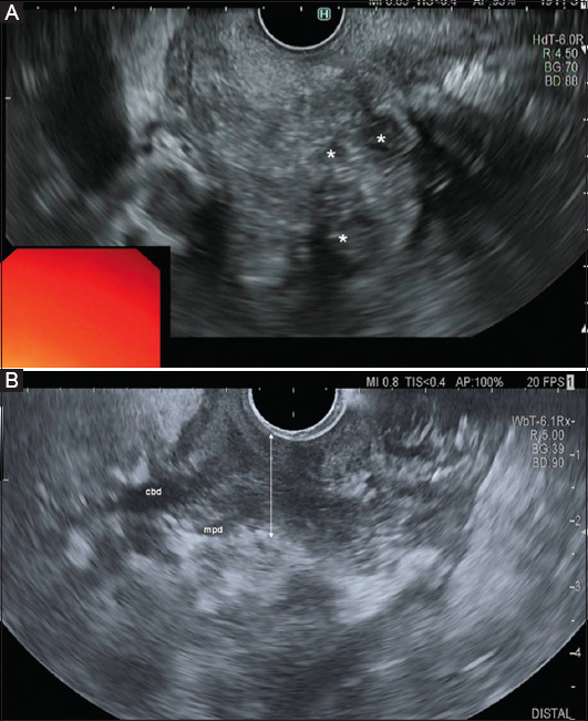
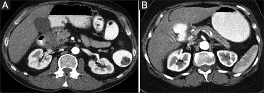
Results: The study population consisted of 37 patients (32 men, age 56.9±9.1 years), 25 with a diagnosis of PP (23 men, mean age 54.9±8.5 years), and 12 (9 men, mean age 61.2±9.2 years) with AP involving the groove. All 25 patients with PP and 4 (33.3%) with AP reported a history of alcohol abuse, 23 patients (92%) with PP, and 3 (25%) with AP had a history of smoking. On imaging, PP patients presented a significantly thicker duodenal wall compared to the AP group (P=0.010). Chronic pancreatitis in the body/tail and exocrine insufficiency was prevalent in PP (P<0.001 and P=0.02). The medial displacement of the gastroduodenal artery was more frequent in the PP group (P=0.011).

Conclusion: PP has a different clinical and imaging profile compared to AP involving the groove area.

Abstract Image

Abstract Image

Abstract Image

作为诊断难题的十二指肠旁胰腺炎:涉及胰沟的胰腺病变患者的临床和形态特征。
背景:十二指肠旁胰腺炎(PP十二指肠旁胰腺炎(PP)是一种涉及十二指肠腔、胆管和胰头所划定的沟区的炎症。急性胰腺炎(AP)时也可能累及该区域。鉴别诊断与临床相关,因为胰腺炎一般会持续存在,而急性胰腺炎则会缓解。因此,我们对涉及沟区的 PP 和 AP 患者进行了比较:我们回顾性地评估了沟区病变的患者。主要目的是确定涉及沟区的 PP 与非 PP 性胰腺炎的诊断特征。PP通过影像学诊断,而AP则根据修订后的亚特兰大分类和临床病程诊断,以排除慢性胰腺炎:研究对象包括 37 名患者(32 名男性,年龄为(56.9±9.1)岁),其中 25 名诊断为 PP(23 名男性,平均年龄为(54.9±8.5)岁),12 名诊断为 AP(9 名男性,平均年龄为(61.2±9.2)岁),涉及胰沟。所有 25 名 PP 患者和 4 名 AP 患者(33.3%)均有酗酒史,23 名 PP 患者(92%)和 3 名 AP 患者(25%)有吸烟史。在造影检查中,PP 患者的十二指肠壁明显比 AP 组厚(P=0.010)。慢性胰体/尾部胰腺炎和外分泌功能不全在 PP 中很常见(PC结论:PP 的临床和影像学特征与 AP 组不同:与涉及腹腔沟区域的 AP 相比,PP 具有不同的临床和影像学特征。
本文章由计算机程序翻译,如有差异,请以英文原文为准。
求助全文
约1分钟内获得全文 求助全文
来源期刊
Annals of Gastroenterology
Annals of Gastroenterology GASTROENTEROLOGY & HEPATOLOGY-
CiteScore
4.30
自引率
0.00%
发文量
58
×
引用
GB/T 7714-2015
复制
MLA
复制
APA
复制
导出至
BibTeX EndNote RefMan NoteFirst NoteExpress
×
提示
您的信息不完整,为了账户安全,请先补充。
现在去补充
×
提示
您因"违规操作"
具体请查看互助需知
我知道了
×
提示
确定
请完成安全验证×
copy
已复制链接
快去分享给好友吧!
我知道了
右上角分享
点击右上角分享
0
联系我们:info@booksci.cn Book学术提供免费学术资源搜索服务,方便国内外学者检索中英文文献。致力于提供最便捷和优质的服务体验。 Copyright © 2023 布克学术 All rights reserved.
京ICP备2023020795号-1
ghs 京公网安备 11010802042870号
Book学术文献互助
Book学术文献互助群
群 号:604180095
Book学术官方微信