Diffuse Unilateral Subacute Neuroretinitis: A Case Report Documenting Transretinal Migration of Nematodes.

IF 0.9 Q3 OPHTHALMOLOGY
Journal of Current Ophthalmology Pub Date : 2024-10-16 eCollection Date: 2024-01-01 DOI:10.4103/joco.joco_345_22
Hassan Behboudi, Yousef Alizadeh, Maryam Dourandeesh, Ali Sanaye Abbasi, Ehsan Najibzadeh, Amin Nabavi
{"title":"Diffuse Unilateral Subacute Neuroretinitis: A Case Report Documenting Transretinal Migration of Nematodes.","authors":"Hassan Behboudi, Yousef Alizadeh, Maryam Dourandeesh, Ali Sanaye Abbasi, Ehsan Najibzadeh, Amin Nabavi","doi":"10.4103/joco.joco_345_22","DOIUrl":null,"url":null,"abstract":"<p><strong>Purpose: </strong>To report two cases of diffuse unilateral subacute neuroretinitis (DUSN) from northern Iran and to present the sequential imaging.</p><p><strong>Methods: </strong>Two patients with large subretinal nematodes were evaluated and managed in our clinic. Serial fundus photography and optical coherence tomography (OCT) imaging were used to document the course of the disease. Laser photocoagulation was administered to manage the patients.</p><p><strong>Results: </strong>The migration of the nematodes from subinternal limiting membrane space to subretinal space was documented in one case, coinciding with the onset of inflammatory and destructive processes. Both patients were successfully managed using laser photocoagulation alone. Follow-up examinations revealed partial recovery of the outer retinal layers and improvement in visual acuity. Nevertheless, some persistent atrophy in the retinal nerve fiber layer and ellipsoid layer was noted in the final examination.</p><p><strong>Conclusions: </strong>We presented two cases of DUSN from northern Iran, with OCT documentation of transretinal migration in one case. Photocoagulation laser alone is an effective treatment modality in the early stage. The suboptimal final visual acuity appears to be linked to both inner and outer retinal layers' damage.</p>","PeriodicalId":15423,"journal":{"name":"Journal of Current Ophthalmology","volume":"36 1","pages":"107-110"},"PeriodicalIF":0.9000,"publicationDate":"2024-10-16","publicationTypes":"Journal Article","fieldsOfStudy":null,"isOpenAccess":false,"openAccessPdf":"https://www.ncbi.nlm.nih.gov/pmc/articles/PMC11567602/pdf/","citationCount":"0","resultStr":null,"platform":"Semanticscholar","paperid":null,"PeriodicalName":"Journal of Current Ophthalmology","FirstCategoryId":"1085","ListUrlMain":"https://doi.org/10.4103/joco.joco_345_22","RegionNum":0,"RegionCategory":null,"ArticlePicture":[],"TitleCN":null,"AbstractTextCN":null,"PMCID":null,"EPubDate":"2024/1/1 0:00:00","PubModel":"eCollection","JCR":"Q3","JCRName":"OPHTHALMOLOGY","Score":null,"Total":0}
引用次数: 0

Abstract

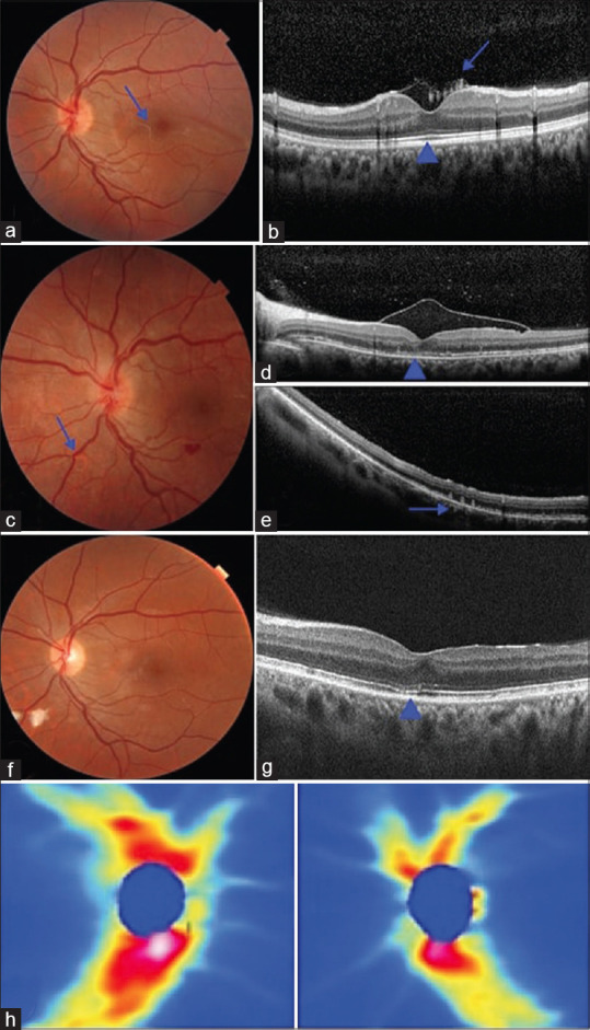
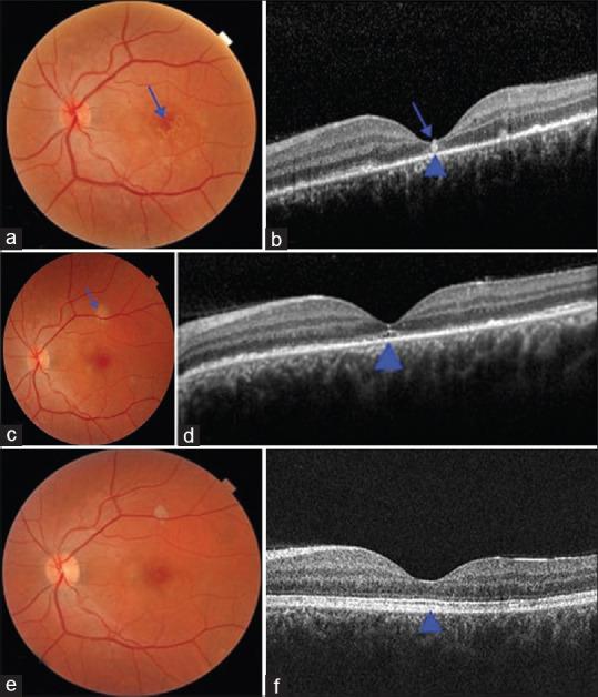
Purpose: To report two cases of diffuse unilateral subacute neuroretinitis (DUSN) from northern Iran and to present the sequential imaging.

Methods: Two patients with large subretinal nematodes were evaluated and managed in our clinic. Serial fundus photography and optical coherence tomography (OCT) imaging were used to document the course of the disease. Laser photocoagulation was administered to manage the patients.

Results: The migration of the nematodes from subinternal limiting membrane space to subretinal space was documented in one case, coinciding with the onset of inflammatory and destructive processes. Both patients were successfully managed using laser photocoagulation alone. Follow-up examinations revealed partial recovery of the outer retinal layers and improvement in visual acuity. Nevertheless, some persistent atrophy in the retinal nerve fiber layer and ellipsoid layer was noted in the final examination.

Conclusions: We presented two cases of DUSN from northern Iran, with OCT documentation of transretinal migration in one case. Photocoagulation laser alone is an effective treatment modality in the early stage. The suboptimal final visual acuity appears to be linked to both inner and outer retinal layers' damage.

Abstract Image

Abstract Image

弥漫性单侧亚急性神经视网膜炎:记录线虫经视网膜迁移的病例报告。
目的:报告两例来自伊朗北部的弥漫性单侧亚急性神经视网膜炎(DUSN)病例,并介绍序列成像:方法:本诊所对两例视网膜下大线虫患者进行了评估和治疗。连续眼底照相和光学相干断层扫描(OCT)成像用于记录病程。对患者进行了激光光凝治疗:结果:在一个病例中,线虫从内层限局膜下间隙迁移到视网膜下间隙,与炎症和破坏过程同时发生。这两名患者都成功地接受了激光光凝治疗。随访检查显示,视网膜外层部分恢复,视力有所改善。尽管如此,最终检查发现视网膜神经纤维层和椭圆体层仍有一些持续性萎缩:我们介绍了两例来自伊朗北部的 DUSN 病例,其中一例的 OCT 记录显示存在视网膜外迁移。在早期阶段,单纯光凝激光是一种有效的治疗方式。最终视力不佳似乎与视网膜内、外层均受损有关。
本文章由计算机程序翻译,如有差异,请以英文原文为准。
求助全文
约1分钟内获得全文 求助全文
来源期刊
CiteScore
2.50
自引率
6.70%
发文量
45
审稿时长
8 weeks
期刊介绍: Peer Review under the responsibility of Iranian Society of Ophthalmology Journal of Current Ophthalmology, the official publication of the Iranian Society of Ophthalmology, is a peer-reviewed, open-access, scientific journal that welcomes high quality original articles related to vision science and all fields of ophthalmology. Journal of Current Ophthalmology is the continuum of Iranian Journal of Ophthalmology published since 1969.
×
引用
GB/T 7714-2015
复制
MLA
复制
APA
复制
导出至
BibTeX EndNote RefMan NoteFirst NoteExpress
×
提示
您的信息不完整,为了账户安全,请先补充。
现在去补充
×
提示
您因"违规操作"
具体请查看互助需知
我知道了
×
提示
确定
请完成安全验证×
copy
已复制链接
快去分享给好友吧!
我知道了
右上角分享
点击右上角分享
0
联系我们:info@booksci.cn Book学术提供免费学术资源搜索服务,方便国内外学者检索中英文文献。致力于提供最便捷和优质的服务体验。 Copyright © 2023 布克学术 All rights reserved.
京ICP备2023020795号-1
ghs 京公网安备 11010802042870号
Book学术文献互助
Book学术文献互助群
群 号:604180095
Book学术官方微信