Pulmonary malakoplakia due to Prescottella (Rhodococcus) soli in a renal transplant recipient: First reported case.

European journal of microbiology & immunology Pub Date : 2024-11-18 Print Date: 2024-12-18 DOI:10.1556/1886.2024.00108
Victoria Jordan, Sugamya Mallawathantri, Ayesha Akram, Hemalatha Varadhan
{"title":"Pulmonary malakoplakia due to Prescottella (Rhodococcus) soli in a renal transplant recipient: First reported case.","authors":"Victoria Jordan, Sugamya Mallawathantri, Ayesha Akram, Hemalatha Varadhan","doi":"10.1556/1886.2024.00108","DOIUrl":null,"url":null,"abstract":"<p><p>Prescottella (Rhodococcus) soli is a soil-dwelling organism not previously thought to be pathogenic in humans. We discuss the case of a 78-year-old male renal transplant recipient presenting with respiratory symptoms and multiple pulmonary nodules, found to be pulmonary malakoplakia secondary to infection with Prescottella (Rhodococcus) soli. Treatment was commenced with vancomycin, meropenem and azithromycin for an induction period of two weeks and continued with indefinite oral moxifloxacin and azithromycin with significant clinical improvement. Although rare, Prescottella species, including Prescottella soli, should be considered in the differential diagnosis of pulmonary nodules, particularly in immunocompromised patients. More data is required to inform optimal treatment.</p>","PeriodicalId":93998,"journal":{"name":"European journal of microbiology & immunology","volume":" ","pages":"361-365"},"PeriodicalIF":0.0000,"publicationDate":"2024-11-18","publicationTypes":"Journal Article","fieldsOfStudy":null,"isOpenAccess":false,"openAccessPdf":"https://www.ncbi.nlm.nih.gov/pmc/articles/PMC11836652/pdf/","citationCount":"0","resultStr":null,"platform":"Semanticscholar","paperid":null,"PeriodicalName":"European journal of microbiology & immunology","FirstCategoryId":"1085","ListUrlMain":"https://doi.org/10.1556/1886.2024.00108","RegionNum":0,"RegionCategory":null,"ArticlePicture":[],"TitleCN":null,"AbstractTextCN":null,"PMCID":null,"EPubDate":"2024/12/18 0:00:00","PubModel":"Print","JCR":"","JCRName":"","Score":null,"Total":0}
引用次数: 0

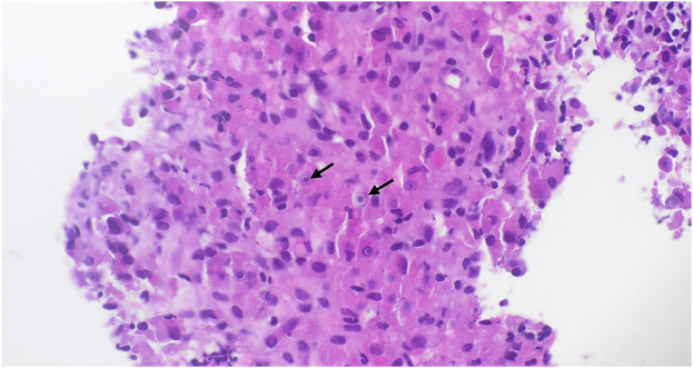
Abstract

Prescottella (Rhodococcus) soli is a soil-dwelling organism not previously thought to be pathogenic in humans. We discuss the case of a 78-year-old male renal transplant recipient presenting with respiratory symptoms and multiple pulmonary nodules, found to be pulmonary malakoplakia secondary to infection with Prescottella (Rhodococcus) soli. Treatment was commenced with vancomycin, meropenem and azithromycin for an induction period of two weeks and continued with indefinite oral moxifloxacin and azithromycin with significant clinical improvement. Although rare, Prescottella species, including Prescottella soli, should be considered in the differential diagnosis of pulmonary nodules, particularly in immunocompromised patients. More data is required to inform optimal treatment.

Abstract Image

Abstract Image

Abstract Image

肾移植受者因单胞菌(Prescottella (Rhodococcus) soli)引起的肺部恶性肿瘤:首例报告病例。
索氏普雷斯科特菌(Rhodococcus)是一种生活在土壤中的生物,以前认为它不会对人类致病。我们讨论了一例 78 岁男性肾移植受者的病例,该患者出现呼吸道症状和多发性肺结节,被发现是继发于单胞普雷斯科特菌(Rhodococcus)感染的肺恶性肿瘤。患者开始使用万古霉素、美罗培南和阿奇霉素进行为期两周的诱导治疗,并继续无限期口服莫西沙星和阿奇霉素,临床症状明显改善。尽管罕见,但在肺部结节的鉴别诊断中应考虑到普雷斯科特菌,包括索氏普雷斯科特菌,尤其是免疫力低下的患者。需要更多的数据为最佳治疗提供依据。
本文章由计算机程序翻译,如有差异,请以英文原文为准。
求助全文
约1分钟内获得全文 求助全文
来源期刊
自引率
0.00%
发文量
0
×
引用
GB/T 7714-2015
复制
MLA
复制
APA
复制
导出至
BibTeX EndNote RefMan NoteFirst NoteExpress
×
提示
您的信息不完整,为了账户安全,请先补充。
现在去补充
×
提示
您因"违规操作"
具体请查看互助需知
我知道了
×
提示
确定
请完成安全验证×
copy
已复制链接
快去分享给好友吧!
我知道了
右上角分享
点击右上角分享
0
联系我们:info@booksci.cn Book学术提供免费学术资源搜索服务,方便国内外学者检索中英文文献。致力于提供最便捷和优质的服务体验。 Copyright © 2023 布克学术 All rights reserved.
京ICP备2023020795号-1
ghs 京公网安备 11010802042870号
Book学术文献互助
Book学术文献互助群
群 号:604180095
Book学术官方微信