Khodadoust Line Indicating Graft Rejection in Descemet's Stripping Automated Endothelial Keratoplasty: A Unique Case Report.

IF 0.9 Q3 OPHTHALMOLOGY
Journal of Current Ophthalmology Pub Date : 2024-10-16 eCollection Date: 2024-01-01 DOI:10.4103/joco.joco_222_23
David Oliver-Gutierrez, Cristina Pares-Alfonso, Natalia Anglada-Masferrer, Laia Bisbe
{"title":"Khodadoust Line Indicating Graft Rejection in Descemet's Stripping Automated Endothelial Keratoplasty: A Unique Case Report.","authors":"David Oliver-Gutierrez, Cristina Pares-Alfonso, Natalia Anglada-Masferrer, Laia Bisbe","doi":"10.4103/joco.joco_222_23","DOIUrl":null,"url":null,"abstract":"<p><strong>Purpose: </strong>To highlight the rarity of the endothelial rejection line, also known as the Khodadoust line, as a manifestation following Descemet's stripping automated endothelial keratoplasty (DSAEK). The objective is to present a meticulously detailed case, including imaging and anterior optical coherence tomography (OCT), to enhance understanding and recognition of this phenomenon.</p><p><strong>Methods: </strong>A detailed case presentation involving a 50-year-old male, 3 years post-DSAEK transplantation for endothelial damage resulting from intraocular surgeries. The patient urgently sought consultation due to vision loss while under daily fluorometholone use. Clinical examination revealed acute graft rejection characterized by corneal edema, anterior chamber reaction, and the presence of keratic precipitates forming a Khodadoust line. The management approach included the initiation of a tapered dexamethasone regimen.</p><p><strong>Results: </strong>The identified acute graft rejection, marked by the presence of a Khodadoust line, demonstrated favorable responsiveness to the initiated tapered dexamethasone regimen. Corneal OCT and imaging played crucial roles in providing detailed insights into the manifestation.</p><p><strong>Conclusions: </strong>While the endothelial rejection line (Khodadoust line) is a rare occurrence following DSAEK, this case underscores its potential association with graft rejection. The successful management outlined in this report suggests the importance of prompt recognition and appropriate anti-inflammatory intervention in such cases to achieve positive outcomes.</p>","PeriodicalId":15423,"journal":{"name":"Journal of Current Ophthalmology","volume":"36 1","pages":"96-98"},"PeriodicalIF":0.9000,"publicationDate":"2024-10-16","publicationTypes":"Journal Article","fieldsOfStudy":null,"isOpenAccess":false,"openAccessPdf":"https://www.ncbi.nlm.nih.gov/pmc/articles/PMC11567608/pdf/","citationCount":"0","resultStr":null,"platform":"Semanticscholar","paperid":null,"PeriodicalName":"Journal of Current Ophthalmology","FirstCategoryId":"1085","ListUrlMain":"https://doi.org/10.4103/joco.joco_222_23","RegionNum":0,"RegionCategory":null,"ArticlePicture":[],"TitleCN":null,"AbstractTextCN":null,"PMCID":null,"EPubDate":"2024/1/1 0:00:00","PubModel":"eCollection","JCR":"Q3","JCRName":"OPHTHALMOLOGY","Score":null,"Total":0}
引用次数: 0

Abstract

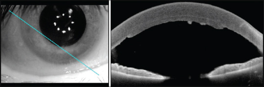
Purpose: To highlight the rarity of the endothelial rejection line, also known as the Khodadoust line, as a manifestation following Descemet's stripping automated endothelial keratoplasty (DSAEK). The objective is to present a meticulously detailed case, including imaging and anterior optical coherence tomography (OCT), to enhance understanding and recognition of this phenomenon.

Methods: A detailed case presentation involving a 50-year-old male, 3 years post-DSAEK transplantation for endothelial damage resulting from intraocular surgeries. The patient urgently sought consultation due to vision loss while under daily fluorometholone use. Clinical examination revealed acute graft rejection characterized by corneal edema, anterior chamber reaction, and the presence of keratic precipitates forming a Khodadoust line. The management approach included the initiation of a tapered dexamethasone regimen.

Results: The identified acute graft rejection, marked by the presence of a Khodadoust line, demonstrated favorable responsiveness to the initiated tapered dexamethasone regimen. Corneal OCT and imaging played crucial roles in providing detailed insights into the manifestation.

Conclusions: While the endothelial rejection line (Khodadoust line) is a rare occurrence following DSAEK, this case underscores its potential association with graft rejection. The successful management outlined in this report suggests the importance of prompt recognition and appropriate anti-inflammatory intervention in such cases to achieve positive outcomes.

Abstract Image

Abstract Image

在 Descemet's Stripping Automated Endothelial Keratoplasty 中显示移植物排斥反应的 Khodadoust 线:一个独特的病例报告。
目的:强调内皮排斥线(又称 Khodadoust 线)作为 Descemet 剥脱自动内皮角膜成形术(DSAEK)后的一种表现形式的罕见性。本文旨在介绍一个细致入微的病例,包括成像和前部光学相干断层扫描(OCT),以加深对这一现象的理解和认识:这是一个详细的病例,涉及一名50岁的男性,因眼内手术导致内皮损伤而接受DSAEK移植术,术后3年。患者在每天使用氟甲环酸的情况下视力下降,急需就诊。临床检查显示,患者出现急性移植排斥反应,表现为角膜水肿、前房反应和角膜沉淀物形成 Khodadoust 线。治疗方法包括开始使用渐减地塞米松方案:结果:已发现的急性移植物排斥反应以出现Khodadoust线为标志,对开始使用的减量地塞米松方案反应良好。角膜光学视网膜断层扫描和成像在详细了解这一表现方面发挥了关键作用:虽然内皮排斥线(Khodadoust线)在DSAEK术后很少发生,但本病例强调了它与移植物排斥的潜在关联。本报告中概述的成功处理方法表明,在此类病例中,及时识别并采取适当的抗炎干预措施对取得积极疗效非常重要。
本文章由计算机程序翻译,如有差异,请以英文原文为准。
求助全文
约1分钟内获得全文 求助全文
来源期刊
CiteScore
2.50
自引率
6.70%
发文量
45
审稿时长
8 weeks
期刊介绍: Peer Review under the responsibility of Iranian Society of Ophthalmology Journal of Current Ophthalmology, the official publication of the Iranian Society of Ophthalmology, is a peer-reviewed, open-access, scientific journal that welcomes high quality original articles related to vision science and all fields of ophthalmology. Journal of Current Ophthalmology is the continuum of Iranian Journal of Ophthalmology published since 1969.
×
引用
GB/T 7714-2015
复制
MLA
复制
APA
复制
导出至
BibTeX EndNote RefMan NoteFirst NoteExpress
×
提示
您的信息不完整,为了账户安全,请先补充。
现在去补充
×
提示
您因"违规操作"
具体请查看互助需知
我知道了
×
提示
确定
请完成安全验证×
copy
已复制链接
快去分享给好友吧!
我知道了
右上角分享
点击右上角分享
0
联系我们:info@booksci.cn Book学术提供免费学术资源搜索服务,方便国内外学者检索中英文文献。致力于提供最便捷和优质的服务体验。 Copyright © 2023 布克学术 All rights reserved.
京ICP备2023020795号-1
ghs 京公网安备 11010802042870号
Book学术文献互助
Book学术文献互助群
群 号:604180095
Book学术官方微信