Mammary Myofibroblastoma - An Elusive Cause of Breast Lump.

Discoveries (Craiova, Romania) Pub Date : 2023-12-31 eCollection Date: 2023-10-01 DOI:10.15190/d.2023.19
Nilay Nishith, Sankalp Sancheti, Puneet Kaur Somal, Aishwarya Sharma, Ravikiran N Pawar
{"title":"Mammary Myofibroblastoma - An Elusive Cause of Breast Lump.","authors":"Nilay Nishith, Sankalp Sancheti, Puneet Kaur Somal, Aishwarya Sharma, Ravikiran N Pawar","doi":"10.15190/d.2023.19","DOIUrl":null,"url":null,"abstract":"<p><p>Mammary myofibroblastoma (MM) is an uncommon, benign mesenchymal neoplasm with a favourable prognosis. Its resemblance to various other benign and malignant lesions of the breast makes precise diagnosis challenging when examining biopsy samples. The rarity of mammary myofibroblastoma in India and worldwide underscores the importance of our case report, as we aim to contribute to the existing literature and expand the knowledge base of this neoplasm. Furthermore, we have delved into the diagnostic complexities associated with this lesion and highlighted the ancillary techniques employed to achieve an accurate and reliable diagnosis.</p>","PeriodicalId":72829,"journal":{"name":"Discoveries (Craiova, Romania)","volume":"11 4","pages":"e180"},"PeriodicalIF":0.0000,"publicationDate":"2023-12-31","publicationTypes":"Journal Article","fieldsOfStudy":null,"isOpenAccess":false,"openAccessPdf":"https://www.ncbi.nlm.nih.gov/pmc/articles/PMC11550795/pdf/","citationCount":"0","resultStr":null,"platform":"Semanticscholar","paperid":null,"PeriodicalName":"Discoveries (Craiova, Romania)","FirstCategoryId":"1085","ListUrlMain":"https://doi.org/10.15190/d.2023.19","RegionNum":0,"RegionCategory":null,"ArticlePicture":[],"TitleCN":null,"AbstractTextCN":null,"PMCID":null,"EPubDate":"2023/10/1 0:00:00","PubModel":"eCollection","JCR":"","JCRName":"","Score":null,"Total":0}
引用次数: 0

Abstract

Mammary myofibroblastoma (MM) is an uncommon, benign mesenchymal neoplasm with a favourable prognosis. Its resemblance to various other benign and malignant lesions of the breast makes precise diagnosis challenging when examining biopsy samples. The rarity of mammary myofibroblastoma in India and worldwide underscores the importance of our case report, as we aim to contribute to the existing literature and expand the knowledge base of this neoplasm. Furthermore, we have delved into the diagnostic complexities associated with this lesion and highlighted the ancillary techniques employed to achieve an accurate and reliable diagnosis.

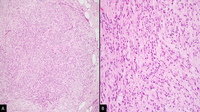
Abstract Image

Abstract Image

乳腺肌纤维母细胞瘤--乳房肿块的一个难以捉摸的病因。
乳腺肌纤维母细胞瘤(MM)是一种不常见的良性间叶肿瘤,预后良好。它与乳腺其他各种良性和恶性病变相似,因此在检查活检样本时很难进行精确诊断。乳腺肌纤维母细胞瘤在印度乃至全世界都很罕见,这就凸显了我们的病例报告的重要性,因为我们的目的是为现有文献做出贡献,并扩大这种肿瘤的知识库。此外,我们还深入探讨了与这种病变相关的诊断复杂性,并强调了为获得准确可靠的诊断而采用的辅助技术。
本文章由计算机程序翻译,如有差异,请以英文原文为准。
求助全文
约1分钟内获得全文 求助全文
来源期刊
自引率
0.00%
发文量
0
×
引用
GB/T 7714-2015
复制
MLA
复制
APA
复制
导出至
BibTeX EndNote RefMan NoteFirst NoteExpress
×
提示
您的信息不完整,为了账户安全,请先补充。
现在去补充
×
提示
您因"违规操作"
具体请查看互助需知
我知道了
×
提示
确定
请完成安全验证×
copy
已复制链接
快去分享给好友吧!
我知道了
右上角分享
点击右上角分享
0
联系我们:info@booksci.cn Book学术提供免费学术资源搜索服务,方便国内外学者检索中英文文献。致力于提供最便捷和优质的服务体验。 Copyright © 2023 布克学术 All rights reserved.
京ICP备2023020795号-1
ghs 京公网安备 11010802042870号
Book学术文献互助
Book学术文献互助群
群 号:604180095
Book学术官方微信