Complete Remission of Dural-Based Leptomeningeal Metastasis in Patient With Non-Small Cell Lung Cancer by Osimertinib.

Jemin Hwang, Beung Chul Ahn, So Hyeon Ji, Ho-Shin Gwak
{"title":"Complete Remission of Dural-Based Leptomeningeal Metastasis in Patient With Non-Small Cell Lung Cancer by Osimertinib.","authors":"Jemin Hwang, Beung Chul Ahn, So Hyeon Ji, Ho-Shin Gwak","doi":"10.14791/btrt.2024.0034","DOIUrl":null,"url":null,"abstract":"<p><p>We report complete remission of dural-based leptomeningeal metastasis (LM) in an 80-year-old female patient with non-small cell lung cancer (NSCLC) by osimertinib. She was diagnosed with NSCLC (adenocarcinoma, T4N3M1a) 8 years ago. Mutation analysis of biopsied tissue revealed exon 19 deletion positive, and gefitinib was prescribed. Follow-up chest CT showed a radiological response, and whole-body positron emission tomography 3 years later revealed the disappearance of the previous high-uptake lesions. The medication was continued for maintenance but stopped 4 years later due to intolerable dermatitis. Two years after discontinuing chemotherapy, the patient had a gait disturbance, and brain MRI revealed a right cerebellar mass (diameter [d]=3 cm) with peritumoral edema, compatible with solitary brain metastasis. Retromastoid suboccipital craniotomy and gross total removal of the dura-attached lesion were performed. As the systemic cancer status evaluation revealed no radiological cancer lesion, only tumor bed radiation therapy was given (4,000 cGy/10 fractions) without re-introducing gefitinib. She was followed with a brain MRI at 6-month intervals, and a brain MRI 2 years postoperatively revealed a dural-based extra-axial mass in the left prepontine cistern (d=2.2 cm). Serial cerebrospinal fluid (CSF) cytology was positive for cancer cells. Upon LM diagnosis, the third-generation receptor tyrosine kinase inhibitor osimertinib was given. Two-month follow-up CSF cytology and five consecutive tests over 14 months demonstrated negative conversion. Five-month follow-up brain MRI revealed near complete remission of dural-based LM, and the response was maintained until the 13-month follow-up brain MRI.</p>","PeriodicalId":72453,"journal":{"name":"Brain tumor research and treatment","volume":"12 4","pages":"245-249"},"PeriodicalIF":0.0000,"publicationDate":"2024-10-01","publicationTypes":"Journal Article","fieldsOfStudy":null,"isOpenAccess":false,"openAccessPdf":"https://www.ncbi.nlm.nih.gov/pmc/articles/PMC11570083/pdf/","citationCount":"0","resultStr":null,"platform":"Semanticscholar","paperid":null,"PeriodicalName":"Brain tumor research and treatment","FirstCategoryId":"1085","ListUrlMain":"https://doi.org/10.14791/btrt.2024.0034","RegionNum":0,"RegionCategory":null,"ArticlePicture":[],"TitleCN":null,"AbstractTextCN":null,"PMCID":null,"EPubDate":"","PubModel":"","JCR":"","JCRName":"","Score":null,"Total":0}
引用次数: 0

Abstract

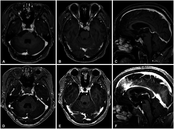
We report complete remission of dural-based leptomeningeal metastasis (LM) in an 80-year-old female patient with non-small cell lung cancer (NSCLC) by osimertinib. She was diagnosed with NSCLC (adenocarcinoma, T4N3M1a) 8 years ago. Mutation analysis of biopsied tissue revealed exon 19 deletion positive, and gefitinib was prescribed. Follow-up chest CT showed a radiological response, and whole-body positron emission tomography 3 years later revealed the disappearance of the previous high-uptake lesions. The medication was continued for maintenance but stopped 4 years later due to intolerable dermatitis. Two years after discontinuing chemotherapy, the patient had a gait disturbance, and brain MRI revealed a right cerebellar mass (diameter [d]=3 cm) with peritumoral edema, compatible with solitary brain metastasis. Retromastoid suboccipital craniotomy and gross total removal of the dura-attached lesion were performed. As the systemic cancer status evaluation revealed no radiological cancer lesion, only tumor bed radiation therapy was given (4,000 cGy/10 fractions) without re-introducing gefitinib. She was followed with a brain MRI at 6-month intervals, and a brain MRI 2 years postoperatively revealed a dural-based extra-axial mass in the left prepontine cistern (d=2.2 cm). Serial cerebrospinal fluid (CSF) cytology was positive for cancer cells. Upon LM diagnosis, the third-generation receptor tyrosine kinase inhibitor osimertinib was given. Two-month follow-up CSF cytology and five consecutive tests over 14 months demonstrated negative conversion. Five-month follow-up brain MRI revealed near complete remission of dural-based LM, and the response was maintained until the 13-month follow-up brain MRI.

Abstract Image

Abstract Image

Abstract Image

奥希替尼使非小细胞肺癌患者硬脑膜转移完全缓解
我们报告了一位80岁的女性非小细胞肺癌(NSCLC)患者通过奥希替尼治疗硬脑膜脑膜转移(LM)完全缓解的病例。她在 8 年前被诊断为非小细胞肺癌(腺癌,T4N3M1a)。活检组织的突变分析显示 19 号外显子缺失为阳性,医生给她开了吉非替尼。随访的胸部 CT 显示有放射反应,3 年后的全身正电子发射断层扫描显示之前的高吸收病灶消失了。患者继续接受药物维持治疗,但 4 年后因无法忍受皮炎而停药。停止化疗两年后,患者出现步态障碍,脑部核磁共振检查发现右侧小脑肿块(直径[d]=3厘米),瘤周水肿,符合单发脑转移。患者接受了后枕骨下开颅手术,彻底切除了硬膜外病灶。由于全身癌症状况评估未发现放射性癌症病灶,因此只进行了肿瘤床放疗(4,000 cGy/10次分次),未再次使用吉非替尼。术后两年的脑部核磁共振检查显示,左侧桥脑前囊有硬膜外肿块(d=2.2 厘米)。连续的脑脊液(CSF)细胞学检查显示癌细胞阳性。LM确诊后,患者接受了第三代受体酪氨酸激酶抑制剂osimertinib治疗。两个月的CSF细胞学随访和14个月的连续五次检测均显示阴性。五个月的脑磁共振随访显示,硬脑膜LM几乎完全缓解,这种反应一直维持到13个月的脑磁共振随访。
本文章由计算机程序翻译,如有差异,请以英文原文为准。
求助全文
约1分钟内获得全文 求助全文
来源期刊
自引率
0.00%
发文量
0
×
引用
GB/T 7714-2015
复制
MLA
复制
APA
复制
导出至
BibTeX EndNote RefMan NoteFirst NoteExpress
×
提示
您的信息不完整,为了账户安全,请先补充。
现在去补充
×
提示
您因"违规操作"
具体请查看互助需知
我知道了
×
提示
确定
请完成安全验证×
copy
已复制链接
快去分享给好友吧!
我知道了
右上角分享
点击右上角分享
0
联系我们:info@booksci.cn Book学术提供免费学术资源搜索服务,方便国内外学者检索中英文文献。致力于提供最便捷和优质的服务体验。 Copyright © 2023 布克学术 All rights reserved.
京ICP备2023020795号-1
ghs 京公网安备 11010802042870号
Book学术文献互助
Book学术文献互助群
群 号:604180095
Book学术官方微信