Mutations in the voltage-gated sodium channel associated with pyrethroid resistance in Aedes albopictus in Yucatan, Mexico.

IF 1.7 4区 医学 Q4 INFECTIOUS DISEASES
Wilbert Antonio Chi-Chim, Julian Everardo Garcia-Rejon, Julio Cesar Tzuc-Dzul, Lourdes Talavera-Aguilar, Rosa Cetina-Trejo, Nohemi Cigarroa-Toledo, Viviana Caamal-Villanueva, Diana Guadalupe Argaez-Sierra, Carlos Marcial Baak-Baak
{"title":"Mutations in the voltage-gated sodium channel associated with pyrethroid resistance in Aedes albopictus in Yucatan, Mexico.","authors":"Wilbert Antonio Chi-Chim, Julian Everardo Garcia-Rejon, Julio Cesar Tzuc-Dzul, Lourdes Talavera-Aguilar, Rosa Cetina-Trejo, Nohemi Cigarroa-Toledo, Viviana Caamal-Villanueva, Diana Guadalupe Argaez-Sierra, Carlos Marcial Baak-Baak","doi":"10.1590/S1678-9946202466062","DOIUrl":null,"url":null,"abstract":"<p><p>Aedes albopictus (Skuse) is a competent vector of dengue and Zika viruses in Mexico. Monitoring the level of resistance of local population is essential due to its epidemiological significance. This study aimed to identify mutations in the voltage-gated sodium channel (VGSC) as one of the mechanisms responsible for pyrethroid insecticide resistance in Ae. albopictus. Immature samples were collected in a rural town in Yucatan, Mexico, from May to October 2021. The pyrethroid insecticide lambda-cyhalothrin was impregnated in CDC bottles and bioassays were conducted on Ae. albopictus populations 3-5 days after emergence. The mosquitoes were susceptible to the insecticide. Females were taken for total DNA extraction. Fragments of domains II, III, and IV of the voltage-gated sodium channel (VGSC) were amplified and sequenced. The presence of synonymous and non-synonymous mutations was found in positions 1532 and 1534 of domain III of the sodium channel gene (VGSC). No mutant alleles in domain IV were detected. A homozygous mutant (ACG) coding for the amino acid threonine (1008Thr) was identified in domain II. Domain III included three heterozygous alleles (P1528S, L1530S, and Ile1410Thr). This last heterozygous allele is reported for the first time in Mexico. Homozygous mutants encoding the amino acids serine/serine and serine/proline in domain III were observed. These have been reported in Aedes aegypti from Mexico, but not yet in Ae. albopictus. This represents new findings for the region, as Ae. albopictus has only been introduced there for approximately five years. In conclusion, non-synonymous mutations were found in Ae. albopictus in a rural area of Yucatan, emphasizing the importance of integrated vector control to prevent Asian tiger mosquitoes from spreading these resistant alleles.</p>","PeriodicalId":54466,"journal":{"name":"Revista Do Instituto De Medicina Tropical De Sao Paulo","volume":"66 ","pages":"e62"},"PeriodicalIF":1.7000,"publicationDate":"2024-11-11","publicationTypes":"Journal Article","fieldsOfStudy":null,"isOpenAccess":false,"openAccessPdf":"https://www.ncbi.nlm.nih.gov/pmc/articles/PMC11556833/pdf/","citationCount":"0","resultStr":null,"platform":"Semanticscholar","paperid":null,"PeriodicalName":"Revista Do Instituto De Medicina Tropical De Sao Paulo","FirstCategoryId":"3","ListUrlMain":"https://doi.org/10.1590/S1678-9946202466062","RegionNum":4,"RegionCategory":"医学","ArticlePicture":[],"TitleCN":null,"AbstractTextCN":null,"PMCID":null,"EPubDate":"2024/1/1 0:00:00","PubModel":"eCollection","JCR":"Q4","JCRName":"INFECTIOUS DISEASES","Score":null,"Total":0}
引用次数: 0

Abstract

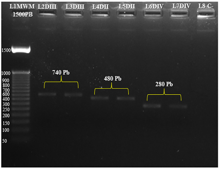
Aedes albopictus (Skuse) is a competent vector of dengue and Zika viruses in Mexico. Monitoring the level of resistance of local population is essential due to its epidemiological significance. This study aimed to identify mutations in the voltage-gated sodium channel (VGSC) as one of the mechanisms responsible for pyrethroid insecticide resistance in Ae. albopictus. Immature samples were collected in a rural town in Yucatan, Mexico, from May to October 2021. The pyrethroid insecticide lambda-cyhalothrin was impregnated in CDC bottles and bioassays were conducted on Ae. albopictus populations 3-5 days after emergence. The mosquitoes were susceptible to the insecticide. Females were taken for total DNA extraction. Fragments of domains II, III, and IV of the voltage-gated sodium channel (VGSC) were amplified and sequenced. The presence of synonymous and non-synonymous mutations was found in positions 1532 and 1534 of domain III of the sodium channel gene (VGSC). No mutant alleles in domain IV were detected. A homozygous mutant (ACG) coding for the amino acid threonine (1008Thr) was identified in domain II. Domain III included three heterozygous alleles (P1528S, L1530S, and Ile1410Thr). This last heterozygous allele is reported for the first time in Mexico. Homozygous mutants encoding the amino acids serine/serine and serine/proline in domain III were observed. These have been reported in Aedes aegypti from Mexico, but not yet in Ae. albopictus. This represents new findings for the region, as Ae. albopictus has only been introduced there for approximately five years. In conclusion, non-synonymous mutations were found in Ae. albopictus in a rural area of Yucatan, emphasizing the importance of integrated vector control to prevent Asian tiger mosquitoes from spreading these resistant alleles.

Abstract Image

Abstract Image

与墨西哥尤卡坦半岛白纹伊蚊对拟除虫菊酯抗性有关的电压门控钠通道突变。
白纹伊蚊(Skuse)是墨西哥登革热和寨卡病毒的主要传播媒介。由于其在流行病学上的重要性,监测当地人群的抗药性水平至关重要。本研究旨在确定电压门控钠通道(VGSC)的突变是导致白纹伊蚊对拟除虫菊酯杀虫剂产生抗药性的机制之一。研究人员于 2021 年 5 月至 10 月在墨西哥尤卡坦州的一个农村小镇采集了未成熟样本。将拟除虫菊酯杀虫剂溴氰菊酯浸渍在 CDC 瓶中,并在白纹伊蚊出现 3-5 天后对其种群进行生物测定。蚊子对杀虫剂敏感。取雌蚊进行总 DNA 提取。对电压门控钠通道(VGSC)结构域 II、III 和 IV 的片段进行扩增和测序。在钠通道基因(VGSC)结构域 III 的第 1532 和 1534 位发现了同义和非同义突变。在结构域 IV 中没有发现突变等位基因。在结构域 II 中发现了一个编码苏氨酸(1008Thr)的同源突变体(ACG)。结构域 III 包括三个杂合等位基因(P1528S、L1530S 和 Ile1410Thr)。最后一个杂合等位基因是墨西哥首次报道的。观察到了编码结构域 III 中丝氨酸/丝氨酸和丝氨酸/脯氨酸的同源突变体。在墨西哥的埃及伊蚊中已有报道,但在白纹伊蚊中尚未发现。这代表了该地区的新发现,因为白纹伊蚊引入该地区仅有大约五年时间。总之,在尤卡坦的一个农村地区发现了白纹伊蚊的非同义突变,这强调了综合病媒控制对防止亚洲虎蚊传播这些抗性等位基因的重要性。
本文章由计算机程序翻译,如有差异,请以英文原文为准。
求助全文
约1分钟内获得全文 求助全文
来源期刊
CiteScore
3.60
自引率
5.30%
发文量
100
审稿时长
6-12 weeks
期刊介绍: The Revista do Instituto de Medicina Tropical de São Paulo (Journal of the São Paulo Institute of Tropical Medicine) is a journal devoted to research on different aspects of tropical infectious diseases. The journal welcomes original work on all infectious diseases, provided that data and results are directly linked to human health. The journal publishes, besides original articles, review articles, case reports, brief communications, and letters to the editor. The journal publishes manuscripts only in English. From 2016 on, the Revista do Instituto de Medicina Tropical de São Paulo (Journal of the São Paulo Institute of Tropical Medicine) is published online only, maintaining the free access. For more information visit: - http://www.scielo.br/rimtsp - http://www.imt.usp.br/revista-imt/
×
引用
GB/T 7714-2015
复制
MLA
复制
APA
复制
导出至
BibTeX EndNote RefMan NoteFirst NoteExpress
×
提示
您的信息不完整,为了账户安全,请先补充。
现在去补充
×
提示
您因"违规操作"
具体请查看互助需知
我知道了
×
提示
确定
请完成安全验证×
copy
已复制链接
快去分享给好友吧!
我知道了
右上角分享
点击右上角分享
0
联系我们:info@booksci.cn Book学术提供免费学术资源搜索服务,方便国内外学者检索中英文文献。致力于提供最便捷和优质的服务体验。 Copyright © 2023 布克学术 All rights reserved.
京ICP备2023020795号-1
ghs 京公网安备 11010802042870号
Book学术文献互助
Book学术文献互助群
群 号:604180095
Book学术官方微信