Hairy Cell Leukemia Following Acute Myeloid Leukemia, Concomitant or Secondary?

IF 1 4区 医学 Q3 MEDICINE, GENERAL & INTERNAL
Zhang Bingyao, Fu Zhaoqiang, Zhang Xuxi, Yang Qian, Qin Youwen
{"title":"Hairy Cell Leukemia Following Acute Myeloid Leukemia, Concomitant or Secondary?","authors":"Zhang Bingyao, Fu Zhaoqiang, Zhang Xuxi, Yang Qian, Qin Youwen","doi":"10.34172/aim.28846","DOIUrl":null,"url":null,"abstract":"<p><p>A 62-year-old man diagnosed with acute myeloid leukemia (AML) showed limited responses to two courses of azacitidine (AZA)+Venetoclax (VEN) therapy. Twenty days after being transferred to our hospital, flow cytometry with broad antigen coverage and mutation analysis confirmed the presence of a second malignancy, hairy cell leukemia (HCL). Following haploidentical combined umbilical cord blood transplantation, the patient achieved complete remission (CR) for both AML and HCL. This CR has been maintained for the past 14 months. Patients with dual hematologic malignancies may not respond well to conventional therapy regimens. Early initiation of hematopoietic stem cell transplantation is beneficial for improving prognosis and extending overall survival.</p>","PeriodicalId":55469,"journal":{"name":"Archives of Iranian Medicine","volume":"27 11","pages":"636-638"},"PeriodicalIF":1.0000,"publicationDate":"2024-11-01","publicationTypes":"Journal Article","fieldsOfStudy":null,"isOpenAccess":false,"openAccessPdf":"https://www.ncbi.nlm.nih.gov/pmc/articles/PMC11558606/pdf/","citationCount":"0","resultStr":null,"platform":"Semanticscholar","paperid":null,"PeriodicalName":"Archives of Iranian Medicine","FirstCategoryId":"3","ListUrlMain":"https://doi.org/10.34172/aim.28846","RegionNum":4,"RegionCategory":"医学","ArticlePicture":[],"TitleCN":null,"AbstractTextCN":null,"PMCID":null,"EPubDate":"","PubModel":"","JCR":"Q3","JCRName":"MEDICINE, GENERAL & INTERNAL","Score":null,"Total":0}
引用次数: 0

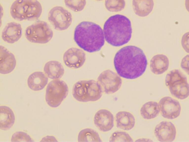
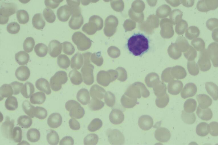
Abstract

A 62-year-old man diagnosed with acute myeloid leukemia (AML) showed limited responses to two courses of azacitidine (AZA)+Venetoclax (VEN) therapy. Twenty days after being transferred to our hospital, flow cytometry with broad antigen coverage and mutation analysis confirmed the presence of a second malignancy, hairy cell leukemia (HCL). Following haploidentical combined umbilical cord blood transplantation, the patient achieved complete remission (CR) for both AML and HCL. This CR has been maintained for the past 14 months. Patients with dual hematologic malignancies may not respond well to conventional therapy regimens. Early initiation of hematopoietic stem cell transplantation is beneficial for improving prognosis and extending overall survival.

Abstract Image

Abstract Image

急性髓性白血病后的毛细胞白血病,并发还是继发?
一名被诊断为急性髓性白血病(AML)的 62 岁男子对两个疗程的阿扎胞苷(AZA)+ Venetoclax(VEN)疗法反应有限。转入我院20天后,广泛抗原覆盖的流式细胞术和突变分析证实了第二种恶性肿瘤--毛细胞白血病(HCL)的存在。在进行了单倍体联合脐带血移植后,患者的急性髓细胞白血病和毛细胞白血病均获得了完全缓解(CR)。在过去的 14 个月中,CR 一直得以维持。双重血液系统恶性肿瘤患者可能对常规治疗方案反应不佳。尽早开始造血干细胞移植有利于改善预后和延长总生存期。
本文章由计算机程序翻译,如有差异,请以英文原文为准。
求助全文
约1分钟内获得全文 求助全文
来源期刊
Archives of Iranian Medicine
Archives of Iranian Medicine 医学-医学:内科
CiteScore
4.20
自引率
0.00%
发文量
67
审稿时长
3-8 weeks
期刊介绍: Aim and Scope: The Archives of Iranian Medicine (AIM) is a monthly peer-reviewed multidisciplinary medical publication. The journal welcomes contributions particularly relevant to the Middle-East region and publishes biomedical experiences and clinical investigations on prevalent diseases in the region as well as analyses of factors that may modulate the incidence, course, and management of diseases and pertinent medical problems. Manuscripts with didactic orientation and subjects exclusively of local interest will not be considered for publication.The 2016 Impact Factor of "Archives of Iranian Medicine" is 1.20.
×
引用
GB/T 7714-2015
复制
MLA
复制
APA
复制
导出至
BibTeX EndNote RefMan NoteFirst NoteExpress
×
提示
您的信息不完整,为了账户安全,请先补充。
现在去补充
×
提示
您因"违规操作"
具体请查看互助需知
我知道了
×
提示
确定
请完成安全验证×
copy
已复制链接
快去分享给好友吧!
我知道了
右上角分享
点击右上角分享
0
联系我们:info@booksci.cn Book学术提供免费学术资源搜索服务,方便国内外学者检索中英文文献。致力于提供最便捷和优质的服务体验。 Copyright © 2023 布克学术 All rights reserved.
京ICP备2023020795号-1
ghs 京公网安备 11010802042870号
Book学术文献互助
Book学术文献互助群
群 号:604180095
Book学术官方微信