Investigating the dynamic relationship of sleep-disordered breathing, orthodontic treatment needs, and dental esthetics in the general population.

IF 2.3 4区 医学 Q3 CARDIAC & CARDIOVASCULAR SYSTEMS
Annals of Thoracic Medicine Pub Date : 2024-10-01 Epub Date: 2024-10-03 DOI:10.4103/atm.atm_53_24
Dipasha K Rao, Bhagyalakshmi Avinash, T M Amulya, B S Prakash, N Raghunath, Vidya G Doddawad
{"title":"Investigating the dynamic relationship of sleep-disordered breathing, orthodontic treatment needs, and dental esthetics in the general population.","authors":"Dipasha K Rao, Bhagyalakshmi Avinash, T M Amulya, B S Prakash, N Raghunath, Vidya G Doddawad","doi":"10.4103/atm.atm_53_24","DOIUrl":null,"url":null,"abstract":"<p><strong>Background: </strong>Sleep-disordered breathing (SDB) is characterized by upper airway dysfunction and is linked to severe health issues. Individuals with SDB have distinct craniofacial morphology for which orthodontists are most suitable for the management due to their dental expertise.</p><p><strong>Aim: </strong>This study aims to discern key differences in dental parameters between individuals with and without SDB.</p><p><strong>Methods: </strong>The present study is a cross-sectional observational study conducted for 12 months. Out of 70 participants, 35 were placed in the SDB group as per the Berlin questionnaire (BQ) and 35 in the control aged 18-22 years. Criteria excluded individuals with preexisting illnesses, missing teeth, tonsillectomy, orthodontic or jaw surgeries, cleft lip/palate, or craniofacial anomalies. Dental assessments included interdental width, palatal vault depth and shape, molar relation, overjet, and overbite. In addition, self-perceived orthodontic treatment needs were evaluated as a secondary measure.</p><p><strong>Results: </strong>In the SDB group, interdental distances were significantly reduced in the canine, first premolars, second premolars, and molar regions by 2, 3, 4, and 1.8 mm, respectively. A noticeable V-shaped arch was observed. Overjet and overbite increased by 42.85% and 31.42%, respectively, with Class 1 malocclusion more prevalent than Class 2. The Berlin questionnaire identified 54.3% as high-risk SDB. The Index of Orthodontic Treatment Need-Esthetic Component (IOTN-AC) revealed that 68.6% of snoring participants required orthodontic treatment.</p><p><strong>Conclusion: </strong>Individuals with SDB exhibit a constricted maxilla and reduced interdental measurements, indicating a moderate risk. The Berlin questionnaire proves valuable in assessing SDB severity. Moreover, individuals displaying signs of SDB often present a high prevalence of orthodontic treatment needs, as indicated by the IOTN-AC.</p>","PeriodicalId":50760,"journal":{"name":"Annals of Thoracic Medicine","volume":"19 4","pages":"284-289"},"PeriodicalIF":2.3000,"publicationDate":"2024-10-01","publicationTypes":"Journal Article","fieldsOfStudy":null,"isOpenAccess":false,"openAccessPdf":"https://www.ncbi.nlm.nih.gov/pmc/articles/PMC11559696/pdf/","citationCount":"0","resultStr":null,"platform":"Semanticscholar","paperid":null,"PeriodicalName":"Annals of Thoracic Medicine","FirstCategoryId":"3","ListUrlMain":"https://doi.org/10.4103/atm.atm_53_24","RegionNum":4,"RegionCategory":"医学","ArticlePicture":[],"TitleCN":null,"AbstractTextCN":null,"PMCID":null,"EPubDate":"2024/10/3 0:00:00","PubModel":"Epub","JCR":"Q3","JCRName":"CARDIAC & CARDIOVASCULAR SYSTEMS","Score":null,"Total":0}
引用次数: 0

Abstract

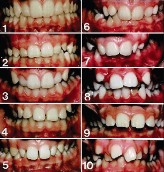
Background: Sleep-disordered breathing (SDB) is characterized by upper airway dysfunction and is linked to severe health issues. Individuals with SDB have distinct craniofacial morphology for which orthodontists are most suitable for the management due to their dental expertise.

Aim: This study aims to discern key differences in dental parameters between individuals with and without SDB.

Methods: The present study is a cross-sectional observational study conducted for 12 months. Out of 70 participants, 35 were placed in the SDB group as per the Berlin questionnaire (BQ) and 35 in the control aged 18-22 years. Criteria excluded individuals with preexisting illnesses, missing teeth, tonsillectomy, orthodontic or jaw surgeries, cleft lip/palate, or craniofacial anomalies. Dental assessments included interdental width, palatal vault depth and shape, molar relation, overjet, and overbite. In addition, self-perceived orthodontic treatment needs were evaluated as a secondary measure.

Results: In the SDB group, interdental distances were significantly reduced in the canine, first premolars, second premolars, and molar regions by 2, 3, 4, and 1.8 mm, respectively. A noticeable V-shaped arch was observed. Overjet and overbite increased by 42.85% and 31.42%, respectively, with Class 1 malocclusion more prevalent than Class 2. The Berlin questionnaire identified 54.3% as high-risk SDB. The Index of Orthodontic Treatment Need-Esthetic Component (IOTN-AC) revealed that 68.6% of snoring participants required orthodontic treatment.

Conclusion: Individuals with SDB exhibit a constricted maxilla and reduced interdental measurements, indicating a moderate risk. The Berlin questionnaire proves valuable in assessing SDB severity. Moreover, individuals displaying signs of SDB often present a high prevalence of orthodontic treatment needs, as indicated by the IOTN-AC.

Abstract Image

Abstract Image

Abstract Image

调查普通人群中睡眠呼吸障碍、正畸治疗需求和牙齿美学之间的动态关系。
背景:睡眠呼吸障碍(SDB)以上呼吸道功能障碍为特征,与严重的健康问题相关。SDB患者的颅面形态与众不同,正畸医生因其牙科专业知识而最适合对其进行管理。目的:本研究旨在发现SDB患者与非SDB患者在牙科参数上的主要差异:本研究是一项横断面观察研究,为期 12 个月。在 70 名参与者中,根据柏林问卷调查(BQ),35 人属于 SDB 组,35 人属于对照组,年龄在 18-22 岁之间。研究标准排除了患有先天性疾病、牙齿缺失、扁桃体切除术、正畸或颌骨手术、唇腭裂或颅面畸形的患者。牙齿评估包括齿间宽度、腭穹深度和形状、臼齿关系、过咬合和过咬合。此外,还对自我感觉的正畸治疗需求进行了评估,作为次要衡量标准:结果:在 SDB 组中,犬齿、第一前磨牙、第二前磨牙和臼齿区域的齿间距离分别明显缩短了 2、3、4 和 1.8 毫米。观察到明显的 V 形牙弓。过牙合和过咬合分别增加了 42.85% 和 31.42%,第一类错合畸形比第二类更为普遍。柏林问卷调查显示,54.3%的人属于高危SDB。正畸治疗需求指数(IOTN-AC)显示,68.6%的打鼾参与者需要进行正畸治疗:结论:SDB 患者表现出上颌骨收缩和牙间隙缩小,这表明他们有中度风险。柏林问卷在评估 SDB 严重程度方面很有价值。此外,正如 IOTN-AC 所显示的那样,显示出 SDB 症状的人通常有较高的正畸治疗需求。
本文章由计算机程序翻译,如有差异,请以英文原文为准。
求助全文
约1分钟内获得全文 求助全文
来源期刊
Annals of Thoracic Medicine
Annals of Thoracic Medicine CARDIAC & CARDIOVASCULAR SYSTEMS-RESPIRATORY SYSTEM
CiteScore
4.10
自引率
4.30%
发文量
19
审稿时长
>12 weeks
期刊介绍: The journal will cover studies related to multidisciplinary specialties of chest medicine, such as adult and pediatrics pulmonology, thoracic surgery, critical care medicine, respiratory care, transplantation, sleep medicine, related basic medical sciences, and more. The journal also features basic science, special reports, case reports, board review , and more. Editorials and communications to the editor that explore controversial issues and encourage further discussion by physicians dealing with chest medicine.
×
引用
GB/T 7714-2015
复制
MLA
复制
APA
复制
导出至
BibTeX EndNote RefMan NoteFirst NoteExpress
×
提示
您的信息不完整,为了账户安全,请先补充。
现在去补充
×
提示
您因"违规操作"
具体请查看互助需知
我知道了
×
提示
确定
请完成安全验证×
copy
已复制链接
快去分享给好友吧!
我知道了
右上角分享
点击右上角分享
0
联系我们:info@booksci.cn Book学术提供免费学术资源搜索服务,方便国内外学者检索中英文文献。致力于提供最便捷和优质的服务体验。 Copyright © 2023 布克学术 All rights reserved.
京ICP备2023020795号-1
ghs 京公网安备 11010802042870号
Book学术文献互助
Book学术文献互助群
群 号:604180095
Book学术官方微信