Myocardial Infarction with Normal Coronary Arteries.

Q2 Medicine
Methodist DeBakey cardiovascular journal Pub Date : 2024-11-05 eCollection Date: 2024-01-01 DOI:10.14797/mdcvj.1495
Albert E Raizner
{"title":"Myocardial Infarction with Normal Coronary Arteries.","authors":"Albert E Raizner","doi":"10.14797/mdcvj.1495","DOIUrl":null,"url":null,"abstract":"<p><p>This Points to Remember column discusses the differential diagnosis of acute myocardial infarction with normal coronary arteries, one example of which is Takotsubo cardiomyopathy. In the case presented below, the diagnosis of Takotsubo cardiomyopathy was based on the characteristic appearance of the left ventricular apical bulging, normal coronary arteries, and the resolution of the wall motion abnormalities within a relatively short period of time.</p>","PeriodicalId":39207,"journal":{"name":"Methodist DeBakey cardiovascular journal","volume":"20 5","pages":"124-127"},"PeriodicalIF":0.0000,"publicationDate":"2024-11-05","publicationTypes":"Journal Article","fieldsOfStudy":null,"isOpenAccess":false,"openAccessPdf":"https://www.ncbi.nlm.nih.gov/pmc/articles/PMC11545920/pdf/","citationCount":"0","resultStr":null,"platform":"Semanticscholar","paperid":null,"PeriodicalName":"Methodist DeBakey cardiovascular journal","FirstCategoryId":"1085","ListUrlMain":"https://doi.org/10.14797/mdcvj.1495","RegionNum":0,"RegionCategory":null,"ArticlePicture":[],"TitleCN":null,"AbstractTextCN":null,"PMCID":null,"EPubDate":"2024/1/1 0:00:00","PubModel":"eCollection","JCR":"Q2","JCRName":"Medicine","Score":null,"Total":0}
引用次数: 0

Abstract

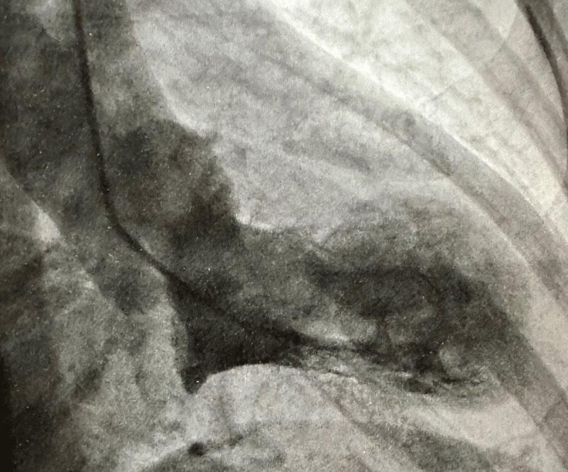
This Points to Remember column discusses the differential diagnosis of acute myocardial infarction with normal coronary arteries, one example of which is Takotsubo cardiomyopathy. In the case presented below, the diagnosis of Takotsubo cardiomyopathy was based on the characteristic appearance of the left ventricular apical bulging, normal coronary arteries, and the resolution of the wall motion abnormalities within a relatively short period of time.

Abstract Image

Abstract Image

冠状动脉正常的心肌梗塞。
本期 "要点记忆 "专栏讨论冠状动脉正常的急性心肌梗死的鉴别诊断,其中一个例子就是 Takotsubo 心肌病。在下面介绍的病例中,Takotsubo 心肌病的诊断依据是左心室心尖隆起的特征性外观、正常的冠状动脉以及在相对较短的时间内室壁运动异常的缓解。
本文章由计算机程序翻译,如有差异,请以英文原文为准。
求助全文
约1分钟内获得全文 求助全文
来源期刊
CiteScore
2.30
自引率
0.00%
发文量
65
×
引用
GB/T 7714-2015
复制
MLA
复制
APA
复制
导出至
BibTeX EndNote RefMan NoteFirst NoteExpress
×
提示
您的信息不完整,为了账户安全,请先补充。
现在去补充
×
提示
您因"违规操作"
具体请查看互助需知
我知道了
×
提示
确定
请完成安全验证×
copy
已复制链接
快去分享给好友吧!
我知道了
右上角分享
点击右上角分享
0
联系我们:info@booksci.cn Book学术提供免费学术资源搜索服务,方便国内外学者检索中英文文献。致力于提供最便捷和优质的服务体验。 Copyright © 2023 布克学术 All rights reserved.
京ICP备2023020795号-1
ghs 京公网安备 11010802042870号
Book学术文献互助
Book学术文献互助群
群 号:604180095
Book学术官方微信