Ileum Obstruction Following Appendix Adhesion Band after Sleeve Surgery: A Case Report and Review of Literature.

IF 0.6 Q4 MEDICINE, RESEARCH & EXPERIMENTAL
Galen Medical Journal Pub Date : 2024-05-15 eCollection Date: 2024-01-01 DOI:10.31661/gmj.v13i.3353
Fezzeh Elyasinia, Hamid Zaferani Arani, Amir Reza Radmard, Ahmadreza Soroush, Fayez Farzamnia, Aydin Yaghobi Notash, Reza Eslamian, Khosrow Najjari, Hossein Zabihi Mahmoudabadi, Mohammad Hadi Niakan
{"title":"Ileum Obstruction Following Appendix Adhesion Band after Sleeve Surgery: A Case Report and Review of Literature.","authors":"Fezzeh Elyasinia, Hamid Zaferani Arani, Amir Reza Radmard, Ahmadreza Soroush, Fayez Farzamnia, Aydin Yaghobi Notash, Reza Eslamian, Khosrow Najjari, Hossein Zabihi Mahmoudabadi, Mohammad Hadi Niakan","doi":"10.31661/gmj.v13i.3353","DOIUrl":null,"url":null,"abstract":"<p><p>Sleeve gastrectomy is a popular surgical procedure for weight loss. Although it is basically a safe surgery; however, it can lead to serious complications such as intestinal obstruction. The present report describes a 55-year-old woman who attended with complications of abdominal pain and vomiting that underwent laparoscopic exploratory intervention and ileum obstruction due to adherent bands of the appendix was considered as final diagnosis.</p>","PeriodicalId":44017,"journal":{"name":"Galen Medical Journal","volume":"13 ","pages":"e3353"},"PeriodicalIF":0.6000,"publicationDate":"2024-05-15","publicationTypes":"Journal Article","fieldsOfStudy":null,"isOpenAccess":false,"openAccessPdf":"https://www.ncbi.nlm.nih.gov/pmc/articles/PMC11549646/pdf/","citationCount":"0","resultStr":null,"platform":"Semanticscholar","paperid":null,"PeriodicalName":"Galen Medical Journal","FirstCategoryId":"1085","ListUrlMain":"https://doi.org/10.31661/gmj.v13i.3353","RegionNum":0,"RegionCategory":null,"ArticlePicture":[],"TitleCN":null,"AbstractTextCN":null,"PMCID":null,"EPubDate":"2024/1/1 0:00:00","PubModel":"eCollection","JCR":"Q4","JCRName":"MEDICINE, RESEARCH & EXPERIMENTAL","Score":null,"Total":0}
引用次数: 0

Abstract

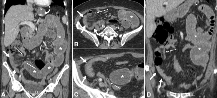
Sleeve gastrectomy is a popular surgical procedure for weight loss. Although it is basically a safe surgery; however, it can lead to serious complications such as intestinal obstruction. The present report describes a 55-year-old woman who attended with complications of abdominal pain and vomiting that underwent laparoscopic exploratory intervention and ileum obstruction due to adherent bands of the appendix was considered as final diagnosis.

Abstract Image

Abstract Image

袖带手术后阑尾粘连带引起的回肠梗阻:病例报告和文献综述。
袖带胃切除术是一种常用的减肥手术。虽然它基本上是一种安全的手术,但也可能导致严重的并发症,如肠梗阻。本报告描述了一名 55 岁女性因腹痛和呕吐并发症而接受腹腔镜探查手术,最终诊断为阑尾粘连导致回肠梗阻。
本文章由计算机程序翻译,如有差异,请以英文原文为准。
求助全文
约1分钟内获得全文 求助全文
来源期刊
Galen Medical Journal
Galen Medical Journal MEDICINE, RESEARCH & EXPERIMENTAL-
自引率
0.00%
发文量
13
期刊介绍: GMJ is open access, peer-reviewed journal in English and supported by Noncommunicable Diseases (NCD) Research Center of Fasa University of Medical Sciences that publishing by Salvia Medical Sciences Ltd. GMJ will consider all types of the following scientific papers for publication: - Editorial’s choice - Original Researches - Review articles - Case reports - Case series - Letter (to editors, to authors, etc) - Short communications - Medical Idea
×
引用
GB/T 7714-2015
复制
MLA
复制
APA
复制
导出至
BibTeX EndNote RefMan NoteFirst NoteExpress
×
提示
您的信息不完整,为了账户安全,请先补充。
现在去补充
×
提示
您因"违规操作"
具体请查看互助需知
我知道了
×
提示
确定
请完成安全验证×
copy
已复制链接
快去分享给好友吧!
我知道了
右上角分享
点击右上角分享
0
联系我们:info@booksci.cn Book学术提供免费学术资源搜索服务,方便国内外学者检索中英文文献。致力于提供最便捷和优质的服务体验。 Copyright © 2023 布克学术 All rights reserved.
京ICP备2023020795号-1
ghs 京公网安备 11010802042870号
Book学术文献互助
Book学术文献互助群
群 号:604180095
Book学术官方微信