Penile Metastasis-Induced Priapism as the First Sign of Lung Cancer: A Case Report and Review of the Literature.

Case Reports in Urology Pub Date : 2024-11-05 eCollection Date: 2024-01-01 DOI:10.1155/2024/1692706
Rawad Abou Zahr, Eliott Nadalin, Sarah Thiry, Raquel Da Silva Maia, Axel Feyaerts, Bertrand Tombal
{"title":"Penile Metastasis-Induced Priapism as the First Sign of Lung Cancer: A Case Report and Review of the Literature.","authors":"Rawad Abou Zahr, Eliott Nadalin, Sarah Thiry, Raquel Da Silva Maia, Axel Feyaerts, Bertrand Tombal","doi":"10.1155/2024/1692706","DOIUrl":null,"url":null,"abstract":"<p><p><b>Background:</b> The penis is a relatively uncommon organ for metastases. Secondary lesions often originate from the bladder, prostate, or rectosigmoid cancers. Only a few cases have described penile lesions secondary to lung cancers, mostly as a later complication. <b>Case Description:</b> We hereby report the case of an 86-year-old male patient who presented with a 3-week-long nonpainful priapism. A penile Doppler ultrasound and a chest and abdominal CT scan were performed, showing a left hilar lung mass as well as lesions in the liver, the adrenal glands, the pancreas, bone structures, and the penis. Penile metastasis is associated with a poor prognosis because of the frequent disseminated malignant lesions in other sites. <b>Conclusion:</b> Malignant priapism should be suspected, especially in patients with no evident risk factors for priapism (hematological diseases, drugs, alcohol, neurological diseases, or metabolic disorders).</p>","PeriodicalId":30323,"journal":{"name":"Case Reports in Urology","volume":"2024 ","pages":"1692706"},"PeriodicalIF":0.0000,"publicationDate":"2024-11-05","publicationTypes":"Journal Article","fieldsOfStudy":null,"isOpenAccess":false,"openAccessPdf":"https://www.ncbi.nlm.nih.gov/pmc/articles/PMC11557170/pdf/","citationCount":"0","resultStr":null,"platform":"Semanticscholar","paperid":null,"PeriodicalName":"Case Reports in Urology","FirstCategoryId":"1085","ListUrlMain":"https://doi.org/10.1155/2024/1692706","RegionNum":0,"RegionCategory":null,"ArticlePicture":[],"TitleCN":null,"AbstractTextCN":null,"PMCID":null,"EPubDate":"2024/1/1 0:00:00","PubModel":"eCollection","JCR":"","JCRName":"","Score":null,"Total":0}
引用次数: 0

Abstract

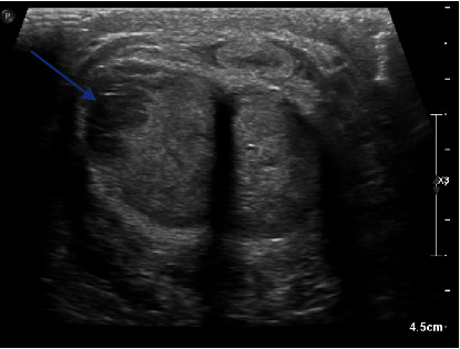
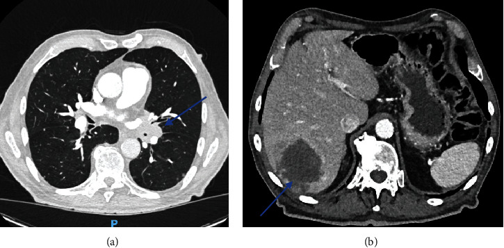
Background: The penis is a relatively uncommon organ for metastases. Secondary lesions often originate from the bladder, prostate, or rectosigmoid cancers. Only a few cases have described penile lesions secondary to lung cancers, mostly as a later complication. Case Description: We hereby report the case of an 86-year-old male patient who presented with a 3-week-long nonpainful priapism. A penile Doppler ultrasound and a chest and abdominal CT scan were performed, showing a left hilar lung mass as well as lesions in the liver, the adrenal glands, the pancreas, bone structures, and the penis. Penile metastasis is associated with a poor prognosis because of the frequent disseminated malignant lesions in other sites. Conclusion: Malignant priapism should be suspected, especially in patients with no evident risk factors for priapism (hematological diseases, drugs, alcohol, neurological diseases, or metabolic disorders).

Abstract Image

Abstract Image

Abstract Image

阴茎转移诱发的尿失禁是肺癌的首发症状:病例报告和文献综述。
背景:阴茎是一个相对少见的转移器官。继发性病变通常来自膀胱癌、前列腺癌或直肠乙状结肠癌。仅有少数病例描述了继发于肺癌的阴茎病变,且多为后期并发症。病例描述:我们在此报告一名 86 岁男性患者的病例,他出现了持续 3 周的无痛性前列腺增生。患者接受了阴茎多普勒超声检查、胸部和腹部 CT 扫描,结果显示左侧肺门肿块以及肝脏、肾上腺、胰腺、骨结构和阴茎的病变。阴茎转移与预后不良有关,因为其他部位的恶性病变常呈播散性。结论应怀疑恶性前列腺炎,尤其是没有明显前列腺炎危险因素(血液病、药物、酒精、神经系统疾病或代谢紊乱)的患者。
本文章由计算机程序翻译,如有差异,请以英文原文为准。
求助全文
约1分钟内获得全文 求助全文
来源期刊
自引率
0.00%
发文量
28
审稿时长
13 weeks
×
引用
GB/T 7714-2015
复制
MLA
复制
APA
复制
导出至
BibTeX EndNote RefMan NoteFirst NoteExpress
×
提示
您的信息不完整,为了账户安全,请先补充。
现在去补充
×
提示
您因"违规操作"
具体请查看互助需知
我知道了
×
提示
确定
请完成安全验证×
copy
已复制链接
快去分享给好友吧!
我知道了
右上角分享
点击右上角分享
0
联系我们:info@booksci.cn Book学术提供免费学术资源搜索服务,方便国内外学者检索中英文文献。致力于提供最便捷和优质的服务体验。 Copyright © 2023 布克学术 All rights reserved.
京ICP备2023020795号-1
ghs 京公网安备 11010802042870号
Book学术文献互助
Book学术文献互助群
群 号:604180095
Book学术官方微信