Intraperitoneal Bleeding After Ultrasound-Guided Transperineal Prostate Biopsy.

Case Reports in Urology Pub Date : 2024-11-06 eCollection Date: 2024-01-01 DOI:10.1155/2024/8819291
Lisa Chapman, Sorena Keihani, Alejandro Sanchez
{"title":"Intraperitoneal Bleeding After Ultrasound-Guided Transperineal Prostate Biopsy.","authors":"Lisa Chapman, Sorena Keihani, Alejandro Sanchez","doi":"10.1155/2024/8819291","DOIUrl":null,"url":null,"abstract":"<p><p>Transperineal prostate biopsy is becoming a popular approach in the diagnosis of prostate cancer. Urethral bleeding and urinary retention are the most common complications. We report a case of intraperitoneal bleeding after transperineal prostate biopsy in a patient with history of focal therapy for prostate cancer. The patient presented with dizziness, abdominal pain, and tenderness a few hours after the procedure. A computed tomography (CT) scan showed intraperitoneal bleeding. He was managed conservatively without needing any interventions or blood transfusion. Intraperitoneal bleeding is a possible, rare, and unexpected complication after transperineal biopsy especially in smaller prostates with prior procedures and scarring.</p>","PeriodicalId":30323,"journal":{"name":"Case Reports in Urology","volume":"2024 ","pages":"8819291"},"PeriodicalIF":0.0000,"publicationDate":"2024-11-06","publicationTypes":"Journal Article","fieldsOfStudy":null,"isOpenAccess":false,"openAccessPdf":"https://www.ncbi.nlm.nih.gov/pmc/articles/PMC11561178/pdf/","citationCount":"0","resultStr":null,"platform":"Semanticscholar","paperid":null,"PeriodicalName":"Case Reports in Urology","FirstCategoryId":"1085","ListUrlMain":"https://doi.org/10.1155/2024/8819291","RegionNum":0,"RegionCategory":null,"ArticlePicture":[],"TitleCN":null,"AbstractTextCN":null,"PMCID":null,"EPubDate":"2024/1/1 0:00:00","PubModel":"eCollection","JCR":"","JCRName":"","Score":null,"Total":0}
引用次数: 0

Abstract

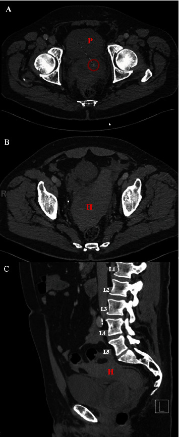
Transperineal prostate biopsy is becoming a popular approach in the diagnosis of prostate cancer. Urethral bleeding and urinary retention are the most common complications. We report a case of intraperitoneal bleeding after transperineal prostate biopsy in a patient with history of focal therapy for prostate cancer. The patient presented with dizziness, abdominal pain, and tenderness a few hours after the procedure. A computed tomography (CT) scan showed intraperitoneal bleeding. He was managed conservatively without needing any interventions or blood transfusion. Intraperitoneal bleeding is a possible, rare, and unexpected complication after transperineal biopsy especially in smaller prostates with prior procedures and scarring.

Abstract Image

Abstract Image

超声引导下经会阴前列腺活检术后腹膜内出血。
经会阴前列腺活检正成为诊断前列腺癌的常用方法。尿道出血和尿潴留是最常见的并发症。我们报告了一例经会阴前列腺活检术后腹腔内出血的病例,患者曾接受过前列腺癌病灶治疗。患者在术后几小时出现头晕、腹痛和触痛。计算机断层扫描(CT)显示腹腔内出血。他接受了保守治疗,无需采取任何干预措施或输血。腹腔内出血是经会阴活检术后可能出现的一种罕见且意想不到的并发症,尤其是对于曾接受过手术且有疤痕的较小前列腺患者。
本文章由计算机程序翻译,如有差异,请以英文原文为准。
求助全文
约1分钟内获得全文 求助全文
来源期刊
自引率
0.00%
发文量
28
审稿时长
13 weeks
×
引用
GB/T 7714-2015
复制
MLA
复制
APA
复制
导出至
BibTeX EndNote RefMan NoteFirst NoteExpress
×
提示
您的信息不完整,为了账户安全,请先补充。
现在去补充
×
提示
您因"违规操作"
具体请查看互助需知
我知道了
×
提示
确定
请完成安全验证×
copy
已复制链接
快去分享给好友吧!
我知道了
右上角分享
点击右上角分享
0
联系我们:info@booksci.cn Book学术提供免费学术资源搜索服务,方便国内外学者检索中英文文献。致力于提供最便捷和优质的服务体验。 Copyright © 2023 布克学术 All rights reserved.
京ICP备2023020795号-1
ghs 京公网安备 11010802042870号
Book学术文献互助
Book学术文献互助群
群 号:604180095
Book学术官方微信