Cerebral Changes Following Carpal Tunnel Syndrome Treated with Guided Plasticity: A Prospective, Randomized, Placebo-Controlled Study.

IF 1 Q4 CLINICAL NEUROLOGY
Journal of Brachial Plexus and Peripheral Nerve Injury Pub Date : 2024-11-14 eCollection Date: 2024-01-01 DOI:10.1055/s-0044-1792169
Magnus Flondell, Peter Mannfolk, Birgitta Rosén, Isabella M Björkman-Burtscher, Anders Björkman
{"title":"Cerebral Changes Following Carpal Tunnel Syndrome Treated with Guided Plasticity: A Prospective, Randomized, Placebo-Controlled Study.","authors":"Magnus Flondell, Peter Mannfolk, Birgitta Rosén, Isabella M Björkman-Burtscher, Anders Björkman","doi":"10.1055/s-0044-1792169","DOIUrl":null,"url":null,"abstract":"<p><p><b>Background</b>  Compression neuropathy, such as carpal tunnel syndrome (CTS), results in changed afferent nerve signaling, which may result in changes in somatosensory brain areas. The purpose of this study was to assess cerebral changes following unilateral CTS and to assess short-term and long-term cerebral effects of guided plasticity treatment using ipsilateral cutaneous forearm deafferentation. <b>Methods</b>  Twenty-four patients with mild-to-moderate unilateral CTS were randomized to treatment with anesthetic cream (EMLA) or placebo. Patient-rated outcomes were assessed using Boston CTS questionnaire and disability of arm, shoulder, and hand questionnaire (QuickDASH). Patients were assessed for tactile discrimination and dexterity. Cortical activation during sensory stimulation was evaluated with functional magnetic resonance imaging at 3T. Assessments were performed at baseline, 90 minutes, and 8 weeks after treatment. <b>Results</b>  Functional magnetic resonance imaging showed that sensory stimulation of the hand with CTS resulted in significantly less cortical activation in the primary somatosensory cortex (S1) than stimulation of the healthy hand. Treatment with cutaneous forearm deafferentation on the side with CTS resulted in increased cortical activation in S1 both after the initial treatment and following 8 weeks of treatment. In addition, QuickDASH and tactile discrimination showed improvement in the EMLA group over time. <b>Conclusions</b>  Stimulation of median nerve-innervated fingers in patients with unilateral CTS results in smaller-than-normal activation in the contralateral S1. Cutaneous forearm anesthesia on the side with CTS results in larger activation in S1, suggesting recruitment of more neurons, and a slight improvement in sensory function.</p>","PeriodicalId":15280,"journal":{"name":"Journal of Brachial Plexus and Peripheral Nerve Injury","volume":"19 1","pages":"e31-e41"},"PeriodicalIF":1.0000,"publicationDate":"2024-11-14","publicationTypes":"Journal Article","fieldsOfStudy":null,"isOpenAccess":false,"openAccessPdf":"https://www.ncbi.nlm.nih.gov/pmc/articles/PMC11563718/pdf/","citationCount":"0","resultStr":null,"platform":"Semanticscholar","paperid":null,"PeriodicalName":"Journal of Brachial Plexus and Peripheral Nerve Injury","FirstCategoryId":"1085","ListUrlMain":"https://doi.org/10.1055/s-0044-1792169","RegionNum":0,"RegionCategory":null,"ArticlePicture":[],"TitleCN":null,"AbstractTextCN":null,"PMCID":null,"EPubDate":"2024/1/1 0:00:00","PubModel":"eCollection","JCR":"Q4","JCRName":"CLINICAL NEUROLOGY","Score":null,"Total":0}
引用次数: 0

Abstract

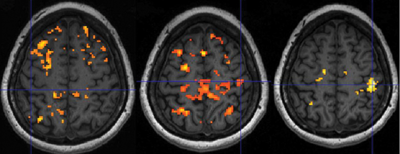
Background  Compression neuropathy, such as carpal tunnel syndrome (CTS), results in changed afferent nerve signaling, which may result in changes in somatosensory brain areas. The purpose of this study was to assess cerebral changes following unilateral CTS and to assess short-term and long-term cerebral effects of guided plasticity treatment using ipsilateral cutaneous forearm deafferentation. Methods  Twenty-four patients with mild-to-moderate unilateral CTS were randomized to treatment with anesthetic cream (EMLA) or placebo. Patient-rated outcomes were assessed using Boston CTS questionnaire and disability of arm, shoulder, and hand questionnaire (QuickDASH). Patients were assessed for tactile discrimination and dexterity. Cortical activation during sensory stimulation was evaluated with functional magnetic resonance imaging at 3T. Assessments were performed at baseline, 90 minutes, and 8 weeks after treatment. Results  Functional magnetic resonance imaging showed that sensory stimulation of the hand with CTS resulted in significantly less cortical activation in the primary somatosensory cortex (S1) than stimulation of the healthy hand. Treatment with cutaneous forearm deafferentation on the side with CTS resulted in increased cortical activation in S1 both after the initial treatment and following 8 weeks of treatment. In addition, QuickDASH and tactile discrimination showed improvement in the EMLA group over time. Conclusions  Stimulation of median nerve-innervated fingers in patients with unilateral CTS results in smaller-than-normal activation in the contralateral S1. Cutaneous forearm anesthesia on the side with CTS results in larger activation in S1, suggesting recruitment of more neurons, and a slight improvement in sensory function.

Abstract Image

Abstract Image

Abstract Image

腕管综合征经引导性可塑性治疗后的大脑变化:前瞻性、随机、安慰剂对照研究
背景腕管综合征(CTS)等压迫性神经病变会导致传入神经信号改变,从而可能导致躯体感觉脑区发生变化。本研究旨在评估单侧 CTS 后的大脑变化,并评估使用同侧皮肤前臂去神经传导引导可塑性治疗对大脑的短期和长期影响。方法 24 名轻度至中度单侧 CTS 患者随机接受麻醉膏(EMLA)或安慰剂治疗。使用波士顿 CTS 问卷和手臂、肩部和手部残疾问卷(QuickDASH)对患者评分结果进行评估。对患者的触觉辨别力和灵活性进行了评估。通过 3T 功能磁共振成像对感觉刺激时的皮层激活情况进行评估。评估分别在基线、90 分钟和治疗后 8 周进行。结果 功能性磁共振成像显示,对患有 CTS 的手部进行感觉刺激后,初级体感皮层(S1)的皮层激活程度明显低于对健康手部的刺激。对患有 CTS 的一侧进行前臂皮肤去神经传导治疗后,S1 的皮质激活度在初次治疗和 8 周治疗后都有所提高。此外,随着时间的推移,EMLA 组的 QuickDASH 和触觉辨别能力也有所改善。结论 对单侧 CTS 患者正中神经支配的手指进行刺激会导致对侧 S1 的激活小于正常。对患有 CTS 的一侧进行前臂皮肤麻醉会导致 S1 激活增加,这表明招募了更多的神经元,感觉功能也会略有改善。
本文章由计算机程序翻译,如有差异,请以英文原文为准。
求助全文
约1分钟内获得全文 求助全文
来源期刊
CiteScore
1.70
自引率
14.30%
发文量
6
审稿时长
12 weeks
期刊介绍: JBPPNI is an open access, peer-reviewed online journal that will encompass all aspects of basic and clinical research findings, in the area of brachial plexus and peripheral nerve injury. Injury in this context refers to congenital, inflammatory, traumatic, degenerative and neoplastic processes, including neurofibromatosis. Papers on diagnostic and imaging aspects of the peripheral nervous system are welcomed as well. The peripheral nervous system is unique in its complexity and scope of influence. There are areas of interest in the anatomy, physiology, metabolism, phylogeny, and limb growth tropism of peripheral nerves.
×
引用
GB/T 7714-2015
复制
MLA
复制
APA
复制
导出至
BibTeX EndNote RefMan NoteFirst NoteExpress
×
提示
您的信息不完整,为了账户安全,请先补充。
现在去补充
×
提示
您因"违规操作"
具体请查看互助需知
我知道了
×
提示
确定
请完成安全验证×
copy
已复制链接
快去分享给好友吧!
我知道了
右上角分享
点击右上角分享
0
联系我们:info@booksci.cn Book学术提供免费学术资源搜索服务,方便国内外学者检索中英文文献。致力于提供最便捷和优质的服务体验。 Copyright © 2023 布克学术 All rights reserved.
京ICP备2023020795号-1
ghs 京公网安备 11010802042870号
Book学术文献互助
Book学术文献互助群
群 号:604180095
Book学术官方微信