A Rare Case of Inflammatory Myofibroblastic Tumor Mimicking Fibrous Adhesions Resulting in Bowel Obstruction.

IF 0.5 Q4 SURGERY
Case Reports in Surgery Pub Date : 2024-11-06 eCollection Date: 2024-01-01 DOI:10.1155/2024/7782678
Stephanie Washburn, Raj Jessica Thomas, Douglas Grider
{"title":"A Rare Case of Inflammatory Myofibroblastic Tumor Mimicking Fibrous Adhesions Resulting in Bowel Obstruction.","authors":"Stephanie Washburn, Raj Jessica Thomas, Douglas Grider","doi":"10.1155/2024/7782678","DOIUrl":null,"url":null,"abstract":"<p><p>Inflammatory myofibroblastic tumor (IMT) is a rare mesenchymal tumors of unknown etiology composed of myofibroblastic cells admixed with inflammatory cells. Presented is a 72-year-old male hospitalized for severe abdominal pain and hematochezia with onset of associated symptoms of fever and sweats a few hours prior to abdominal pain. A computed tomography (CT) demonstrated left colonic thickening interpreted as partial obstruction, gross adhesions, and ischemia. At surgery, marked bowel ischemia from the distal transverse to proximal sigmoid colon was seen with extensive gross adhesions. Histopathology revealed a mesenteric mass chiefly composed of stellate-to-spindled myofibroblastic cells and fibrous adhesions, intermixed with lymphocytes, histiocytes, and plasma cells. The tumor was positive for desmin, smooth muscle actin, and keratin; tumor staging, grade, and postsurgical follow-up were not completed as the patient expired postoperatively. Illustrated is a rare pathologic mimic of ischemic colitis with fibrous adhesions, IMT. Thus, it should not be assumed that fibrous adhesions are always the etiology of obstruction when \"adhesions\" between sections of bowel are noted radiologically or surgically.</p>","PeriodicalId":9600,"journal":{"name":"Case Reports in Surgery","volume":"2024 ","pages":"7782678"},"PeriodicalIF":0.5000,"publicationDate":"2024-11-06","publicationTypes":"Journal Article","fieldsOfStudy":null,"isOpenAccess":false,"openAccessPdf":"https://www.ncbi.nlm.nih.gov/pmc/articles/PMC11561171/pdf/","citationCount":"0","resultStr":null,"platform":"Semanticscholar","paperid":null,"PeriodicalName":"Case Reports in Surgery","FirstCategoryId":"1085","ListUrlMain":"https://doi.org/10.1155/2024/7782678","RegionNum":0,"RegionCategory":null,"ArticlePicture":[],"TitleCN":null,"AbstractTextCN":null,"PMCID":null,"EPubDate":"2024/1/1 0:00:00","PubModel":"eCollection","JCR":"Q4","JCRName":"SURGERY","Score":null,"Total":0}
引用次数: 0

Abstract

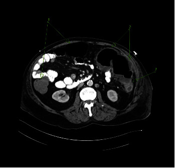
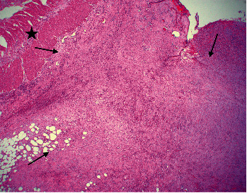
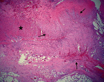
Inflammatory myofibroblastic tumor (IMT) is a rare mesenchymal tumors of unknown etiology composed of myofibroblastic cells admixed with inflammatory cells. Presented is a 72-year-old male hospitalized for severe abdominal pain and hematochezia with onset of associated symptoms of fever and sweats a few hours prior to abdominal pain. A computed tomography (CT) demonstrated left colonic thickening interpreted as partial obstruction, gross adhesions, and ischemia. At surgery, marked bowel ischemia from the distal transverse to proximal sigmoid colon was seen with extensive gross adhesions. Histopathology revealed a mesenteric mass chiefly composed of stellate-to-spindled myofibroblastic cells and fibrous adhesions, intermixed with lymphocytes, histiocytes, and plasma cells. The tumor was positive for desmin, smooth muscle actin, and keratin; tumor staging, grade, and postsurgical follow-up were not completed as the patient expired postoperatively. Illustrated is a rare pathologic mimic of ischemic colitis with fibrous adhesions, IMT. Thus, it should not be assumed that fibrous adhesions are always the etiology of obstruction when "adhesions" between sections of bowel are noted radiologically or surgically.

Abstract Image

Abstract Image

Abstract Image

模仿纤维粘连导致肠梗阻的炎性肌纤维母细胞瘤罕见病例
炎性肌成纤维细胞瘤(IMT)是一种病因不明的罕见间叶肿瘤,由肌成纤维细胞和炎性细胞混合组成。患者是一名72岁的男性,因剧烈腹痛和血尿住院,腹痛前数小时出现发热和出汗等相关症状。计算机断层扫描(CT)显示左侧结肠增厚,可解释为部分梗阻、严重粘连和缺血。手术时发现,从横结肠远端到乙状结肠近端都有明显的肠缺血,并伴有大面积粘连。组织病理学检查发现,肠系膜肿块主要由星状至棘状肌成纤维细胞和纤维粘连组成,夹杂着淋巴细胞、组织细胞和浆细胞。肿瘤的desmin、平滑肌肌动蛋白和角蛋白均呈阳性;由于患者术后死亡,肿瘤的分期、分级和术后随访均未完成。该病例是缺血性纤维粘连性结肠炎(IMT)的罕见病理模拟。因此,在放射学或手术中发现肠段之间有 "粘连 "时,不应认为纤维粘连一定是梗阻的病因。
本文章由计算机程序翻译,如有差异,请以英文原文为准。
求助全文
约1分钟内获得全文 求助全文
来源期刊
自引率
0.00%
发文量
60
审稿时长
13 weeks
×
引用
GB/T 7714-2015
复制
MLA
复制
APA
复制
导出至
BibTeX EndNote RefMan NoteFirst NoteExpress
×
提示
您的信息不完整,为了账户安全,请先补充。
现在去补充
×
提示
您因"违规操作"
具体请查看互助需知
我知道了
×
提示
确定
请完成安全验证×
copy
已复制链接
快去分享给好友吧!
我知道了
右上角分享
点击右上角分享
0
联系我们:info@booksci.cn Book学术提供免费学术资源搜索服务,方便国内外学者检索中英文文献。致力于提供最便捷和优质的服务体验。 Copyright © 2023 布克学术 All rights reserved.
京ICP备2023020795号-1
ghs 京公网安备 11010802042870号
Book学术文献互助
Book学术文献互助群
群 号:604180095
Book学术官方微信