A case of PLA2R-positive membranous nephropathy with subsequent development of IgG4-related disease.

IF 0.7 Q4 UROLOGY & NEPHROLOGY
CEN Case Reports Pub Date : 2025-04-01 Epub Date: 2024-11-08 DOI:10.1007/s13730-024-00941-8
Fumiaki Tanemoto, Imari Mimura, Hiroyuki Abe, Masaomi Nangaku
{"title":"A case of PLA2R-positive membranous nephropathy with subsequent development of IgG4-related disease.","authors":"Fumiaki Tanemoto, Imari Mimura, Hiroyuki Abe, Masaomi Nangaku","doi":"10.1007/s13730-024-00941-8","DOIUrl":null,"url":null,"abstract":"<p><p>Membranous nephropathy (MN) is a common cause of adult-onset nephrotic syndrome. It is also known as a minor but established renal manifestation of Immunoglobulin G4-related disease (IgG4-RD). Previous reports suggest that MN can also be an initial manifestation of IgG4-RD, all of which are phospholipase A2 receptor (PLA2R)-negative MN. We describe a case of PLA2R-positive MN that subsequently developed other manifestations of IgG4-RD. A 60-year-old male with nephrotic syndrome was diagnosed as primary MN with positive staining for PLA2R on the initial renal biopsy, which remained in partial remission with supportive therapy using angiotensin II receptor blocker (ARB) without steroid. About 1 year later, a renal mass was detected during an annual checkup, and contrast-enhanced computed tomography revealed low-density masses in bilateral kidneys and the head of the pancreas. The findings of endoscopic biopsy of the pancreatic mass were consistent with autoimmune pancreatitis (AIP) and the second renal biopsy showed the findings of MN with tubulointerstitial nephritis, both of which led to a diagnosis of IgG4-RD. The second renal biopsy also showed positive PLA2R. The patient received oral glucocorticoid therapy for IgG4-RD, which improved IgG4-related AIP and renal masses and also resulted in complete remission of MN. To our knowledge, this is the first reported case of PLA2R-positive MN with subsequent development of IgG4-RD. It is sometimes difficult to determine whether PLA2R-positive MN occurring with IgG4-RD is primary MN or secondary MN associated with IgG4-RD. The possibility of developing IgG4-RD should be considered even when preceding MN is PLA2R-positive, suggesting of primary MN.</p>","PeriodicalId":9697,"journal":{"name":"CEN Case Reports","volume":" ","pages":"280-290"},"PeriodicalIF":0.7000,"publicationDate":"2025-04-01","publicationTypes":"Journal Article","fieldsOfStudy":null,"isOpenAccess":false,"openAccessPdf":"https://www.ncbi.nlm.nih.gov/pmc/articles/PMC11958855/pdf/","citationCount":"0","resultStr":null,"platform":"Semanticscholar","paperid":null,"PeriodicalName":"CEN Case Reports","FirstCategoryId":"1085","ListUrlMain":"https://doi.org/10.1007/s13730-024-00941-8","RegionNum":0,"RegionCategory":null,"ArticlePicture":[],"TitleCN":null,"AbstractTextCN":null,"PMCID":null,"EPubDate":"2024/11/8 0:00:00","PubModel":"Epub","JCR":"Q4","JCRName":"UROLOGY & NEPHROLOGY","Score":null,"Total":0}
引用次数: 0

Abstract

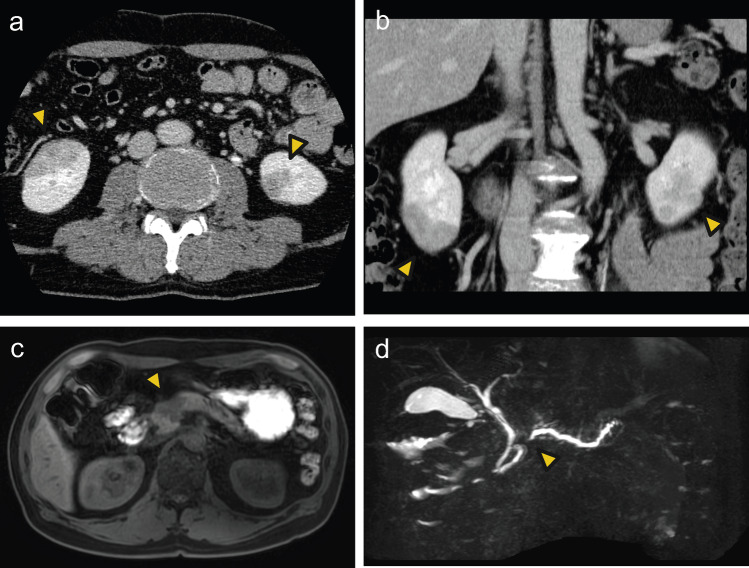
Membranous nephropathy (MN) is a common cause of adult-onset nephrotic syndrome. It is also known as a minor but established renal manifestation of Immunoglobulin G4-related disease (IgG4-RD). Previous reports suggest that MN can also be an initial manifestation of IgG4-RD, all of which are phospholipase A2 receptor (PLA2R)-negative MN. We describe a case of PLA2R-positive MN that subsequently developed other manifestations of IgG4-RD. A 60-year-old male with nephrotic syndrome was diagnosed as primary MN with positive staining for PLA2R on the initial renal biopsy, which remained in partial remission with supportive therapy using angiotensin II receptor blocker (ARB) without steroid. About 1 year later, a renal mass was detected during an annual checkup, and contrast-enhanced computed tomography revealed low-density masses in bilateral kidneys and the head of the pancreas. The findings of endoscopic biopsy of the pancreatic mass were consistent with autoimmune pancreatitis (AIP) and the second renal biopsy showed the findings of MN with tubulointerstitial nephritis, both of which led to a diagnosis of IgG4-RD. The second renal biopsy also showed positive PLA2R. The patient received oral glucocorticoid therapy for IgG4-RD, which improved IgG4-related AIP and renal masses and also resulted in complete remission of MN. To our knowledge, this is the first reported case of PLA2R-positive MN with subsequent development of IgG4-RD. It is sometimes difficult to determine whether PLA2R-positive MN occurring with IgG4-RD is primary MN or secondary MN associated with IgG4-RD. The possibility of developing IgG4-RD should be considered even when preceding MN is PLA2R-positive, suggesting of primary MN.

Abstract Image

Abstract Image

Abstract Image

一例 PLA2R 阳性膜性肾病,随后发展为 IgG4 相关疾病。
膜性肾病(MN)是成人肾病综合征的常见病因。它也被称为免疫球蛋白 G4 相关疾病(IgG4-RD)的一种轻微但已确立的肾脏表现。以前的报道表明,MN 也可能是 IgG4-RD 的初始表现,所有这些病例都是磷脂酶 A2 受体(PLA2R)阴性的 MN。我们描述了一例 PLA2R 阳性 MN,该患者随后出现了 IgG4-RD 的其他表现。一名 60 岁的男性肾病综合征患者被诊断为原发性 MN,初次肾活检时 PLA2R 染色阳性,在使用血管紧张素 II 受体阻滞剂(ARB)和不使用类固醇的支持疗法后,病情仍部分缓解。大约 1 年后,在一次年度体检中发现肾脏肿块,对比增强计算机断层扫描显示双侧肾脏和胰腺头部有低密度肿块。胰腺肿块的内镜活检结果与自身免疫性胰腺炎(AIP)一致,第二次肾活检结果显示为肾小管间质性肾炎(MN),这两项结果都导致了 IgG4-RD 的诊断。第二次肾活检也显示 PLA2R 阳性。该患者接受了口服糖皮质激素治疗 IgG4-RD,从而改善了 IgG4 相关的 AIP 和肾肿块,并使 MN 完全缓解。据我们所知,这是首例报道的 PLA2R 阳性 MN 随后发展为 IgG4-RD 的病例。有时很难确定与 IgG4-RD 同时出现的 PLA2R 阳性 MN 是原发性 MN 还是与 IgG4-RD 相关的继发性 MN。即使之前的 MN 为 PLA2R 阳性,也应考虑发展为 IgG4-RD 的可能性,这表明是原发性 MN。
本文章由计算机程序翻译,如有差异,请以英文原文为准。
求助全文
约1分钟内获得全文 求助全文
来源期刊
CEN Case Reports
CEN Case Reports UROLOGY & NEPHROLOGY-
CiteScore
1.90
自引率
0.00%
发文量
80
期刊介绍: Clinical and Experimental Nephrology (CEN) Case Reports is a peer-reviewed online-only journal, officially published biannually by the Japanese Society of Nephrology (JSN).  The journal publishes original case reports in nephrology and related areas.  The purpose of CEN Case Reports is to provide clinicians and researchers with a forum in which to disseminate their personal experience to a wide readership and to review interesting cases encountered by colleagues all over the world, from whom contributions are welcomed.
×
引用
GB/T 7714-2015
复制
MLA
复制
APA
复制
导出至
BibTeX EndNote RefMan NoteFirst NoteExpress
×
提示
您的信息不完整,为了账户安全,请先补充。
现在去补充
×
提示
您因"违规操作"
具体请查看互助需知
我知道了
×
提示
确定
请完成安全验证×
copy
已复制链接
快去分享给好友吧!
我知道了
右上角分享
点击右上角分享
0
联系我们:info@booksci.cn Book学术提供免费学术资源搜索服务,方便国内外学者检索中英文文献。致力于提供最便捷和优质的服务体验。 Copyright © 2023 布克学术 All rights reserved.
京ICP备2023020795号-1
ghs 京公网安备 11010802042870号
Book学术文献互助
Book学术文献互助群
群 号:604180095
Book学术官方微信