Enoxaparin Failure in Patient With Cerebral Venous Sinus Thrombosis and Prothrombin G20210A Mutation: Case Report.

IF 1 4区 医学 Q4 CLINICAL NEUROLOGY
Adithya Polavarapu, Anita Bhushan, Walter Duarte-Celada, Thomas Windisch, Bharat Bhushan
{"title":"Enoxaparin Failure in Patient With Cerebral Venous Sinus Thrombosis and Prothrombin G20210A Mutation: Case Report.","authors":"Adithya Polavarapu, Anita Bhushan, Walter Duarte-Celada, Thomas Windisch, Bharat Bhushan","doi":"10.1097/NRL.0000000000000591","DOIUrl":null,"url":null,"abstract":"<p><strong>Introduction: </strong>Cerebral venous sinus thrombosis (CVST) is a rare, serious, and complex cerebrovascular disease. The prothrombin G20210A mutation is the second most common inherited thrombophilia and is considered to be one of the etiologies of CVST. The optimal heparinoid medication for treatment remains a topic of debate.</p><p><strong>Case report: </strong>This case report describes a young woman with CVST who did not respond to low-molecular-weight heparin (LMWH). The patient was initially treated with LMWH; however, her symptoms and clot burden in the sagittal sinus worsened, and coagulation studies showed no evidence of therapeutic anticoagulation despite good compliance. Unfractionated heparin was then initiated, and the patient's symptoms improved dramatically within 24 hours, along with the recanalization of the cerebral venous sinuses. Genetic testing revealed a heterozygous mutation in the prothrombin gene (G20210A). This mutation is a known risk factor for CVST. However, it is unclear why the patient did not respond to LMWH but responded appropriately to unfractionated heparin.</p><p><strong>Conclusion: </strong>This case report highlights the potential for LMWH resistance in patients with CVST and prothrombin gene mutations. These findings also emphasize the importance of close monitoring of coagulation parameters and clinical response in patients with CVST receiving LMWH.</p>","PeriodicalId":49758,"journal":{"name":"Neurologist","volume":" ","pages":"175-181"},"PeriodicalIF":1.0000,"publicationDate":"2025-05-01","publicationTypes":"Journal Article","fieldsOfStudy":null,"isOpenAccess":false,"openAccessPdf":"https://www.ncbi.nlm.nih.gov/pmc/articles/PMC12045334/pdf/","citationCount":"0","resultStr":null,"platform":"Semanticscholar","paperid":null,"PeriodicalName":"Neurologist","FirstCategoryId":"3","ListUrlMain":"https://doi.org/10.1097/NRL.0000000000000591","RegionNum":4,"RegionCategory":"医学","ArticlePicture":[],"TitleCN":null,"AbstractTextCN":null,"PMCID":null,"EPubDate":"","PubModel":"","JCR":"Q4","JCRName":"CLINICAL NEUROLOGY","Score":null,"Total":0}
引用次数: 0

Abstract

Introduction: Cerebral venous sinus thrombosis (CVST) is a rare, serious, and complex cerebrovascular disease. The prothrombin G20210A mutation is the second most common inherited thrombophilia and is considered to be one of the etiologies of CVST. The optimal heparinoid medication for treatment remains a topic of debate.

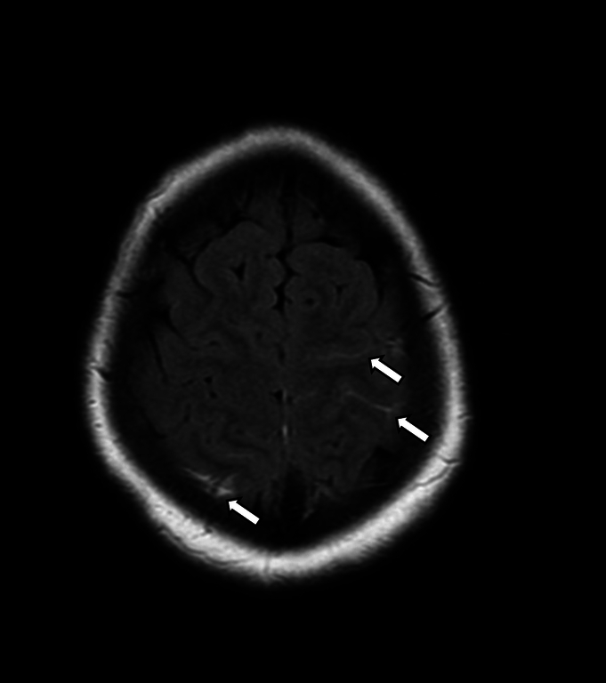
Case report: This case report describes a young woman with CVST who did not respond to low-molecular-weight heparin (LMWH). The patient was initially treated with LMWH; however, her symptoms and clot burden in the sagittal sinus worsened, and coagulation studies showed no evidence of therapeutic anticoagulation despite good compliance. Unfractionated heparin was then initiated, and the patient's symptoms improved dramatically within 24 hours, along with the recanalization of the cerebral venous sinuses. Genetic testing revealed a heterozygous mutation in the prothrombin gene (G20210A). This mutation is a known risk factor for CVST. However, it is unclear why the patient did not respond to LMWH but responded appropriately to unfractionated heparin.

Conclusion: This case report highlights the potential for LMWH resistance in patients with CVST and prothrombin gene mutations. These findings also emphasize the importance of close monitoring of coagulation parameters and clinical response in patients with CVST receiving LMWH.

Abstract Image

Abstract Image

Abstract Image

脑静脉窦血栓和凝血酶原 G20210A 突变患者的依诺肝素治疗失败:病例报告。
简介脑静脉窦血栓形成(CVST)是一种罕见、严重和复杂的脑血管疾病。凝血酶原 G20210A 突变是第二种最常见的遗传性血栓性疾病,被认为是 CVST 的病因之一。病例报告:本病例报告描述了一名患有 CVST 的年轻女性,她对低分子量肝素(LMWH)没有反应。患者最初接受了 LMWH 治疗;然而,她的症状和矢状窦中的血块负荷恶化了,尽管依从性良好,但凝血研究显示没有治疗性抗凝证据。随后开始使用非分叶肝素,患者的症状在24小时内明显改善,脑静脉窦也重新通畅。基因检测显示,患者的凝血酶原基因存在杂合突变(G20210A)。这种突变是导致 CVST 的已知风险因素。然而,目前还不清楚为什么患者对 LMWH 没有反应,但对非分叶肝素却有适当反应:本病例报告强调了 CVST 和凝血酶原基因突变患者对 LMWH 耐药的可能性。这些发现还强调了密切监测接受 LMWH 治疗的 CVST 患者的凝血指标和临床反应的重要性。
本文章由计算机程序翻译,如有差异,请以英文原文为准。
求助全文
约1分钟内获得全文 求助全文
来源期刊
Neurologist
Neurologist 医学-临床神经学
CiteScore
1.90
自引率
0.00%
发文量
151
审稿时长
2 months
期刊介绍: The Neurologist publishes articles on topics of current interest to physicians treating patients with neurological diseases. The core of the journal is review articles focusing on clinically relevant issues. The journal also publishes case reports or case series which review the literature and put observations in perspective, as well as letters to the editor. Special features include the popular "10 Most Commonly Asked Questions" and the "Patient and Family Fact Sheet," a handy tear-out page that can be copied to hand out to patients and their caregivers.
×
引用
GB/T 7714-2015
复制
MLA
复制
APA
复制
导出至
BibTeX EndNote RefMan NoteFirst NoteExpress
×
提示
您的信息不完整,为了账户安全,请先补充。
现在去补充
×
提示
您因"违规操作"
具体请查看互助需知
我知道了
×
提示
确定
请完成安全验证×
copy
已复制链接
快去分享给好友吧!
我知道了
右上角分享
点击右上角分享
0
联系我们:info@booksci.cn Book学术提供免费学术资源搜索服务,方便国内外学者检索中英文文献。致力于提供最便捷和优质的服务体验。 Copyright © 2023 布克学术 All rights reserved.
京ICP备2023020795号-1
ghs 京公网安备 11010802042870号
Book学术文献互助
Book学术文献互助群
群 号:604180095
Book学术官方微信