How we manage multiple myeloma with clonal hematopoiesis of indeterminate potential (CHIP): a case report.

4区 医学
Annals of translational medicine Pub Date : 2024-10-20 Epub Date: 2024-08-16 DOI:10.21037/atm-23-1945
Ludovic Saba, Lewis Nasr, Jorge Manrique-Succar, Julia Diacovo, Chakra Chaulagain
{"title":"How we manage multiple myeloma with clonal hematopoiesis of indeterminate potential (CHIP): a case report.","authors":"Ludovic Saba, Lewis Nasr, Jorge Manrique-Succar, Julia Diacovo, Chakra Chaulagain","doi":"10.21037/atm-23-1945","DOIUrl":null,"url":null,"abstract":"<p><strong>Background: </strong>Clonal hematopoiesis of indeterminate potential (CHIP) is characterized by genetic alterations associated with hematologic neoplasms, posing clinical challenges in managing concurrent hematological malignancies. CHIP may complicate the treatment landscape due to its potential to influence disease progression and treatment response. We report a 73-year-old male with multiple myeloma (MM) harboring a CHIP PPM1D mutation, elucidating the complexities and therapeutic considerations in such cases.</p><p><strong>Case description: </strong>After four cycles of cyclophosphamide, bortezomib, and dexamethasone therapy, he achieved a partial response, followed by complete hematologic response (CR) post eight cycles of lenalidomide, dexamethasone, and bortezomib therapy. Despite this, upfront autologous hematopoietic stem cell transplantation (HSCT) was initially deemed unsuitable due to positive PPM1D CHIP status. HSCT proceeded after aggressive relapse with clonal evolution but yielded short-lived response. Following failure of >4 lines of therapy, he received chimeric antigen receptor T (CAR-T) cell therapy (ciltacabtagene autoleucel) for salvage. This approach successfully induced remission, which was maintained for 6 months.</p><p><strong>Conclusions: </strong>This case report highlights MM management complexities in CHIP presence, suggesting potential utility of HSCT and CAR-T cell therapy. Prospective studies are necessary to evaluate the safety and efficacy of these therapies in myeloma patients with concurrent CHIP, aiming to optimize treatment strategies and improve outcomes in this challenging clinical context.</p>","PeriodicalId":8216,"journal":{"name":"Annals of translational medicine","volume":"12 5","pages":"96"},"PeriodicalIF":0.0000,"publicationDate":"2024-10-20","publicationTypes":"Journal Article","fieldsOfStudy":null,"isOpenAccess":false,"openAccessPdf":"https://www.ncbi.nlm.nih.gov/pmc/articles/PMC11534749/pdf/","citationCount":"0","resultStr":null,"platform":"Semanticscholar","paperid":null,"PeriodicalName":"Annals of translational medicine","FirstCategoryId":"3","ListUrlMain":"https://doi.org/10.21037/atm-23-1945","RegionNum":4,"RegionCategory":"医学","ArticlePicture":[],"TitleCN":null,"AbstractTextCN":null,"PMCID":null,"EPubDate":"2024/8/16 0:00:00","PubModel":"Epub","JCR":"","JCRName":"","Score":null,"Total":0}
引用次数: 0

Abstract

Background: Clonal hematopoiesis of indeterminate potential (CHIP) is characterized by genetic alterations associated with hematologic neoplasms, posing clinical challenges in managing concurrent hematological malignancies. CHIP may complicate the treatment landscape due to its potential to influence disease progression and treatment response. We report a 73-year-old male with multiple myeloma (MM) harboring a CHIP PPM1D mutation, elucidating the complexities and therapeutic considerations in such cases.

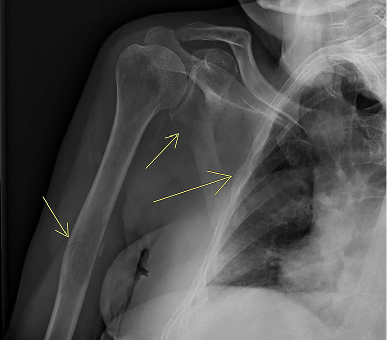
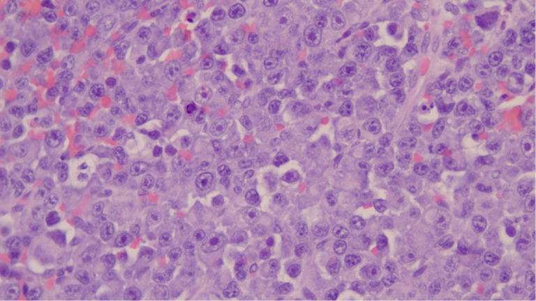
Case description: After four cycles of cyclophosphamide, bortezomib, and dexamethasone therapy, he achieved a partial response, followed by complete hematologic response (CR) post eight cycles of lenalidomide, dexamethasone, and bortezomib therapy. Despite this, upfront autologous hematopoietic stem cell transplantation (HSCT) was initially deemed unsuitable due to positive PPM1D CHIP status. HSCT proceeded after aggressive relapse with clonal evolution but yielded short-lived response. Following failure of >4 lines of therapy, he received chimeric antigen receptor T (CAR-T) cell therapy (ciltacabtagene autoleucel) for salvage. This approach successfully induced remission, which was maintained for 6 months.

Conclusions: This case report highlights MM management complexities in CHIP presence, suggesting potential utility of HSCT and CAR-T cell therapy. Prospective studies are necessary to evaluate the safety and efficacy of these therapies in myeloma patients with concurrent CHIP, aiming to optimize treatment strategies and improve outcomes in this challenging clinical context.

Abstract Image

Abstract Image

我们如何处理多发性骨髓瘤伴不确定潜能克隆性造血(CHIP):病例报告。
背景:具有不确定潜能的克隆性造血(CHIP)的特点是与血液肿瘤相关的基因改变,这给并发血液恶性肿瘤的临床治疗带来了挑战。CHIP可能会影响疾病的进展和治疗反应,从而使治疗变得复杂。我们报告了一名携带 CHIP PPM1D 突变的 73 岁男性多发性骨髓瘤(MM)患者,阐明了此类病例的复杂性和治疗注意事项:在接受四个周期的环磷酰胺、硼替佐米和地塞米松治疗后,他获得了部分应答,随后在接受八个周期的来那度胺、地塞米松和硼替佐米治疗后获得了完全血液学应答(CR)。尽管如此,由于PPM1D CHIP状态阳性,前期自体造血干细胞移植(HSCT)最初被认为是不合适的。在出现克隆演变的侵袭性复发后,进行了造血干细胞移植,但获得了短暂的反应。在超过 4 种疗法失败后,他接受了嵌合抗原受体 T(CAR-T)细胞疗法(ciltacabtagene autoleucel)进行挽救。这种方法成功诱导了缓解,并维持了6个月:本病例报告强调了CHIP患者中MM管理的复杂性,提示造血干细胞移植和CAR-T细胞疗法的潜在作用。有必要进行前瞻性研究,以评估这些疗法对并发CHIP的骨髓瘤患者的安全性和有效性,从而优化治疗策略,改善这种具有挑战性的临床情况下的治疗效果。
本文章由计算机程序翻译,如有差异,请以英文原文为准。
求助全文
约1分钟内获得全文 求助全文
来源期刊
自引率
0.00%
发文量
769
期刊介绍: The Annals of Translational Medicine (Ann Transl Med; ATM; Print ISSN 2305-5839; Online ISSN 2305-5847) is an international, peer-reviewed Open Access journal featuring original and observational investigations in the broad fields of laboratory, clinical, and public health research, aiming to provide practical up-to-date information in significant research from all subspecialties of medicine and to broaden the readers’ vision and horizon from bench to bed and bed to bench. It is published quarterly (April 2013- Dec. 2013), monthly (Jan. 2014 - Feb. 2015), biweekly (March 2015-) and openly distributed worldwide. Annals of Translational Medicine is indexed in PubMed in Sept 2014 and in SCIE in 2018. Specific areas of interest include, but not limited to, multimodality therapy, epidemiology, biomarkers, imaging, biology, pathology, and technical advances related to medicine. Submissions describing preclinical research with potential for application to human disease, and studies describing research obtained from preliminary human experimentation with potential to further the understanding of biological mechanism underlying disease are encouraged. Also warmly welcome are studies describing public health research pertinent to clinic, disease diagnosis and prevention, or healthcare policy.
 With a focus on interdisciplinary academic cooperation, ATM aims to expedite the translation of scientific discovery into new or improved standards of management and health outcomes practice.
×
引用
GB/T 7714-2015
复制
MLA
复制
APA
复制
导出至
BibTeX EndNote RefMan NoteFirst NoteExpress
×
提示
您的信息不完整,为了账户安全,请先补充。
现在去补充
×
提示
您因"违规操作"
具体请查看互助需知
我知道了
×
提示
确定
请完成安全验证×
copy
已复制链接
快去分享给好友吧!
我知道了
右上角分享
点击右上角分享
0
联系我们:info@booksci.cn Book学术提供免费学术资源搜索服务,方便国内外学者检索中英文文献。致力于提供最便捷和优质的服务体验。 Copyright © 2023 布克学术 All rights reserved.
京ICP备2023020795号-1
ghs 京公网安备 11010802042870号
Book学术文献互助
Book学术文献互助群
群 号:604180095
Book学术官方微信