Comparative evaluation of hyaluronic acid-based dressing versus hydrocolloid dressing in rat dermal wound healing.

Q2 Medicine
Archives of Craniofacial Surgery Pub Date : 2024-10-01 Epub Date: 2024-10-20 DOI:10.7181/acfs.2024.00381
Hye Mi Lee, Eun Jung Jang, Ki Hun Choi, Young Cheon Na
{"title":"Comparative evaluation of hyaluronic acid-based dressing versus hydrocolloid dressing in rat dermal wound healing.","authors":"Hye Mi Lee, Eun Jung Jang, Ki Hun Choi, Young Cheon Na","doi":"10.7181/acfs.2024.00381","DOIUrl":null,"url":null,"abstract":"<p><strong>Background: </strong>Wound healing is a complex process influenced by a variety of environmental factors. Dressing materials play a critical role in creating barriers against contaminants, maintaining optimal moisture levels, and absorbing wound exudate. Therefore, selecting materials tailored to wound characteristics is crucial for enhancing outcomes. Hyaluronic acid (HA) is a natural biocompatible polymer that supports healing by regulating inflammation and promoting tissue repair. This study compared HA- and hydrocolloid-based hydrogels in a rat model to optimize wound care strategies.</p><p><strong>Methods: </strong>Full-thickness dermal wounds (diameter, 8 mm) were created on the dorsal skin of 12 Sprague-Dawley rats under sevoflurane anesthesia. The wounds were treated with HA/silver sulfadiazine gel (group A), hydrocolloid gel (group B), or left untreated (control), all covered with a transparent dressing. Biopsy specimens on days 3, 7, and 21 were used to assess histological parameters: inflammatory cell infiltration, fibroblast infiltration, collagen deposition, neovascularization, and epithelial thickness, using a semi-quantitative scoring system. Histological analyses were conducted blindly, and statistical analyses were performed using the Kruskal-Wallis test (p< 0.05).</p><p><strong>Results: </strong>On day 3, group A showed significantly higher inflammatory cell infiltration and collagen deposition than other groups, indicating extracellular matrix formation. By day 7, angiogenesis was highest in group A, followed by group B and controls. By day 21, all wounds had completely healed. Epithelial layer thickness, reflecting inflammation and fibroblast maturity, was significantly higher in group A.</p><p><strong>Conclusion: </strong>This study compared HA-based hydrogel and hydrocolloid-based dressings through histological analyses to elucidate wound healing mechanics. HA-based hydrogel dressings significantly enhanced wound recovery. However, generalizing these outcomes requires future studies to expand the range of effective wound treatment materials. These findings underscore the potential of HA-based dressings to enhance clinical outcomes in wound management, suggesting avenues for improving therapeutic strategies.</p>","PeriodicalId":52238,"journal":{"name":"Archives of Craniofacial Surgery","volume":"25 5","pages":"224-229"},"PeriodicalIF":0.0000,"publicationDate":"2024-10-01","publicationTypes":"Journal Article","fieldsOfStudy":null,"isOpenAccess":false,"openAccessPdf":"https://www.ncbi.nlm.nih.gov/pmc/articles/PMC11540488/pdf/","citationCount":"0","resultStr":null,"platform":"Semanticscholar","paperid":null,"PeriodicalName":"Archives of Craniofacial Surgery","FirstCategoryId":"1085","ListUrlMain":"https://doi.org/10.7181/acfs.2024.00381","RegionNum":0,"RegionCategory":null,"ArticlePicture":[],"TitleCN":null,"AbstractTextCN":null,"PMCID":null,"EPubDate":"2024/10/20 0:00:00","PubModel":"Epub","JCR":"Q2","JCRName":"Medicine","Score":null,"Total":0}
引用次数: 0

Abstract

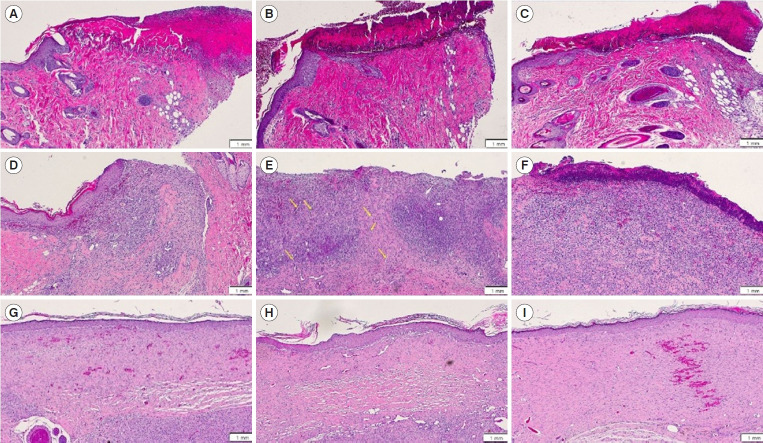
Background: Wound healing is a complex process influenced by a variety of environmental factors. Dressing materials play a critical role in creating barriers against contaminants, maintaining optimal moisture levels, and absorbing wound exudate. Therefore, selecting materials tailored to wound characteristics is crucial for enhancing outcomes. Hyaluronic acid (HA) is a natural biocompatible polymer that supports healing by regulating inflammation and promoting tissue repair. This study compared HA- and hydrocolloid-based hydrogels in a rat model to optimize wound care strategies.

Methods: Full-thickness dermal wounds (diameter, 8 mm) were created on the dorsal skin of 12 Sprague-Dawley rats under sevoflurane anesthesia. The wounds were treated with HA/silver sulfadiazine gel (group A), hydrocolloid gel (group B), or left untreated (control), all covered with a transparent dressing. Biopsy specimens on days 3, 7, and 21 were used to assess histological parameters: inflammatory cell infiltration, fibroblast infiltration, collagen deposition, neovascularization, and epithelial thickness, using a semi-quantitative scoring system. Histological analyses were conducted blindly, and statistical analyses were performed using the Kruskal-Wallis test (p< 0.05).

Results: On day 3, group A showed significantly higher inflammatory cell infiltration and collagen deposition than other groups, indicating extracellular matrix formation. By day 7, angiogenesis was highest in group A, followed by group B and controls. By day 21, all wounds had completely healed. Epithelial layer thickness, reflecting inflammation and fibroblast maturity, was significantly higher in group A.

Conclusion: This study compared HA-based hydrogel and hydrocolloid-based dressings through histological analyses to elucidate wound healing mechanics. HA-based hydrogel dressings significantly enhanced wound recovery. However, generalizing these outcomes requires future studies to expand the range of effective wound treatment materials. These findings underscore the potential of HA-based dressings to enhance clinical outcomes in wound management, suggesting avenues for improving therapeutic strategies.

Abstract Image

Abstract Image

透明质酸敷料与水胶体敷料在大鼠真皮层伤口愈合中的比较评估。
背景:伤口愈合是一个受各种环境因素影响的复杂过程。敷料在建立抗污染物屏障、保持最佳湿度水平和吸收伤口渗出物方面起着至关重要的作用。因此,选择适合伤口特点的材料对于提高疗效至关重要。透明质酸(HA)是一种天然的生物相容性聚合物,可通过调节炎症和促进组织修复来支持伤口愈合。本研究比较了大鼠模型中基于 HA 和水胶体的水凝胶,以优化伤口护理策略:方法:在七氟烷麻醉下,在 12 只 Sprague-Dawley 大鼠的背侧皮肤上创建全厚真皮伤口(直径 8 毫米)。伤口分别用 HA/磺胺嘧啶银凝胶(A 组)、水胶体凝胶(B 组)处理或不处理(对照组),所有伤口均用透明敷料覆盖。第 3、7 和 21 天的活检标本用于评估组织学参数:炎症细胞浸润、成纤维细胞浸润、胶原沉积、新生血管和上皮厚度,采用的是半定量评分系统。组织学分析采用盲法,统计分析采用 Kruskal-Wallis 检验(P< 0.05):第 3 天,A 组的炎性细胞浸润和胶原沉积明显高于其他组,表明细胞外基质已经形成。第 7 天,A 组血管生成最多,其次是 B 组和对照组。到第 21 天,所有伤口完全愈合。反映炎症和成纤维细胞成熟度的上皮层厚度在 A 组明显较高:本研究通过组织学分析比较了基于 HA 的水凝胶和基于水胶体的敷料,以阐明伤口愈合机制。基于 HA 的水凝胶敷料能明显促进伤口恢复。不过,要推广这些结果,还需要未来的研究来扩大有效伤口治疗材料的范围。这些发现强调了基于 HA 的敷料在提高伤口管理临床效果方面的潜力,为改进治疗策略提供了途径。
本文章由计算机程序翻译,如有差异,请以英文原文为准。
求助全文
约1分钟内获得全文 求助全文
来源期刊
Archives of Craniofacial Surgery
Archives of Craniofacial Surgery Medicine-Otorhinolaryngology
CiteScore
2.90
自引率
0.00%
发文量
44
×
引用
GB/T 7714-2015
复制
MLA
复制
APA
复制
导出至
BibTeX EndNote RefMan NoteFirst NoteExpress
×
提示
您的信息不完整,为了账户安全,请先补充。
现在去补充
×
提示
您因"违规操作"
具体请查看互助需知
我知道了
×
提示
确定
请完成安全验证×
copy
已复制链接
快去分享给好友吧!
我知道了
右上角分享
点击右上角分享
0
联系我们:info@booksci.cn Book学术提供免费学术资源搜索服务,方便国内外学者检索中英文文献。致力于提供最便捷和优质的服务体验。 Copyright © 2023 布克学术 All rights reserved.
京ICP备2023020795号-1
ghs 京公网安备 11010802042870号
Book学术文献互助
Book学术文献互助群
群 号:604180095
Book学术官方微信