The Protective Activity of Withania somnifera Against Mercuric Chloride (HgCl2)-Induced Renal Toxicity in Male Rats.

IF 1.4 Q3 UROLOGY & NEPHROLOGY
International Journal of Nephrology Pub Date : 2024-10-28 eCollection Date: 2024-01-01 DOI:10.1155/2024/8023989
Haddad A El Rabey, Samar M Rezk, Aseel Abusaber, Rwaah Khlabi, Ayah H Alhawiti, Romana M Algorayed, Nadia Bakry
{"title":"The Protective Activity of <i>Withania somnifera</i> Against Mercuric Chloride (HgCl<sub>2</sub>)-Induced Renal Toxicity in Male Rats.","authors":"Haddad A El Rabey, Samar M Rezk, Aseel Abusaber, Rwaah Khlabi, Ayah H Alhawiti, Romana M Algorayed, Nadia Bakry","doi":"10.1155/2024/8023989","DOIUrl":null,"url":null,"abstract":"<p><p>The purpose of this study was to test the protective effect of <i>Withania somnifera</i> (WS) against the harmful effects of mercuric chloride (HgCl<sub>2</sub>)-induced kidney failure at the histological, biochemical, and immune levels in Wistar rats. The study assessed the biochemical and immunological changes in five groups (<i>n</i> = 6): Group 1 (G1) was the negative control, and the other rats received a single subcutaneous dose of HgCl<sub>2</sub> (2.5 mg/kg in 0.5 mL of 0.9% saline solution) and randomly divided into 4 groups. Group 2 (G2) was the positive control and left without treatment. Groups 3, 4, and 5 (G3, G4, and G5) were treated with different doses of WS root powder for 30 days. The HgCl<sub>2</sub>-positive group showed significant signs of renal toxicity as reflected by increased levels of kidney function parameters (blood urea nitrogen, urea, and creatinine), inflammatory biomarkers, immunological indices (SDF-1, IL-6, NGAL, and KIM-1), and oxidative stress (SOD, TAC, CAT, GSH, and MDA). The positive group rats also showed drastic pathological changes in renal tissues. Different doses of WS treatment significantly reduced the levels of all biochemical markers and decreased pathological damage to the kidney tissues. The antioxidant, phenolic, and flavonoid constituents of WS root powder helped protect rats' kidneys against HgCl<sub>2</sub>-induced kidney toxicity in male rats.</p>","PeriodicalId":14177,"journal":{"name":"International Journal of Nephrology","volume":"2024 ","pages":"8023989"},"PeriodicalIF":1.4000,"publicationDate":"2024-10-28","publicationTypes":"Journal Article","fieldsOfStudy":null,"isOpenAccess":false,"openAccessPdf":"https://www.ncbi.nlm.nih.gov/pmc/articles/PMC11535192/pdf/","citationCount":"0","resultStr":null,"platform":"Semanticscholar","paperid":null,"PeriodicalName":"International Journal of Nephrology","FirstCategoryId":"1085","ListUrlMain":"https://doi.org/10.1155/2024/8023989","RegionNum":0,"RegionCategory":null,"ArticlePicture":[],"TitleCN":null,"AbstractTextCN":null,"PMCID":null,"EPubDate":"2024/1/1 0:00:00","PubModel":"eCollection","JCR":"Q3","JCRName":"UROLOGY & NEPHROLOGY","Score":null,"Total":0}
引用次数: 0

Abstract

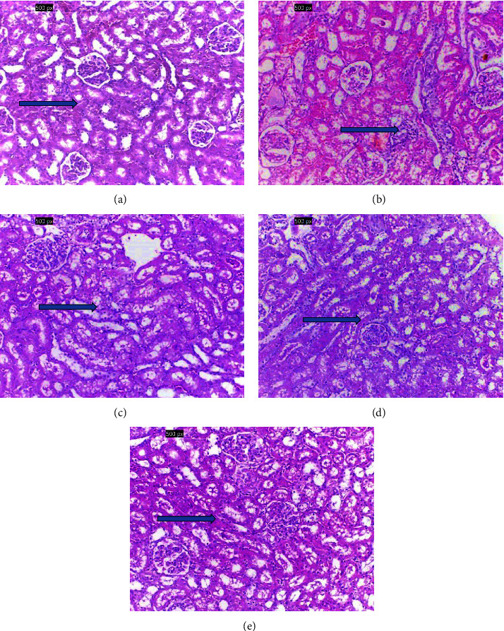
The purpose of this study was to test the protective effect of Withania somnifera (WS) against the harmful effects of mercuric chloride (HgCl2)-induced kidney failure at the histological, biochemical, and immune levels in Wistar rats. The study assessed the biochemical and immunological changes in five groups (n = 6): Group 1 (G1) was the negative control, and the other rats received a single subcutaneous dose of HgCl2 (2.5 mg/kg in 0.5 mL of 0.9% saline solution) and randomly divided into 4 groups. Group 2 (G2) was the positive control and left without treatment. Groups 3, 4, and 5 (G3, G4, and G5) were treated with different doses of WS root powder for 30 days. The HgCl2-positive group showed significant signs of renal toxicity as reflected by increased levels of kidney function parameters (blood urea nitrogen, urea, and creatinine), inflammatory biomarkers, immunological indices (SDF-1, IL-6, NGAL, and KIM-1), and oxidative stress (SOD, TAC, CAT, GSH, and MDA). The positive group rats also showed drastic pathological changes in renal tissues. Different doses of WS treatment significantly reduced the levels of all biochemical markers and decreased pathological damage to the kidney tissues. The antioxidant, phenolic, and flavonoid constituents of WS root powder helped protect rats' kidneys against HgCl2-induced kidney toxicity in male rats.

Abstract Image

Abstract Image

睡茄对氯化汞(HgCl2)引起的雄性大鼠肾毒性的保护作用
本研究旨在从组织学、生化和免疫学层面测试薇甘菊(WS)对氯化汞(HgCl2)诱导的 Wistar 大鼠肾衰竭的保护作用。研究评估了五组(n = 6)大鼠的生化和免疫学变化:第 1 组(G1)为阴性对照组,其他大鼠接受单剂量氯化汞皮下注射(2.5 毫克/千克溶于 0.5 毫升 0.9% 生理盐水),并随机分为 4 组。第 2 组(G2)为阳性对照,不做任何处理。第 3、4 和 5 组(G3、G4 和 G5)使用不同剂量的 WS 根粉治疗 30 天。HgCl2 阳性组的肾功能参数(血尿素氮、尿素和肌酐)、炎症生物标志物、免疫学指标(SDF-1、IL-6、NGAL 和 KIM-1)和氧化应激(SOD、TAC、CAT、GSH 和 MDA)水平升高,反映了肾毒性的显著迹象。阳性组大鼠的肾组织也出现了急剧的病理变化。不同剂量的 WS 治疗明显降低了所有生化指标的水平,减少了肾组织的病理损伤。WS 根粉中的抗氧化剂、酚类和类黄酮成分有助于保护雄性大鼠的肾脏免受 HgCl2 引起的肾毒性的影响。
本文章由计算机程序翻译,如有差异,请以英文原文为准。
求助全文
约1分钟内获得全文 求助全文
来源期刊
International Journal of Nephrology
International Journal of Nephrology UROLOGY & NEPHROLOGY-
CiteScore
3.40
自引率
4.80%
发文量
44
审稿时长
17 weeks
期刊介绍: International Journal of Nephrology is a peer-reviewed, Open Access journal that publishes original research articles, review articles, and clinical studies focusing on the prevention, diagnosis, and management of kidney diseases and associated disorders. The journal welcomes submissions related to cell biology, developmental biology, genetics, immunology, pathology, pathophysiology of renal disease and progression, clinical nephrology, dialysis, and transplantation.
×
引用
GB/T 7714-2015
复制
MLA
复制
APA
复制
导出至
BibTeX EndNote RefMan NoteFirst NoteExpress
×
提示
您的信息不完整,为了账户安全,请先补充。
现在去补充
×
提示
您因"违规操作"
具体请查看互助需知
我知道了
×
提示
确定
请完成安全验证×
copy
已复制链接
快去分享给好友吧!
我知道了
右上角分享
点击右上角分享
0
联系我们:info@booksci.cn Book学术提供免费学术资源搜索服务,方便国内外学者检索中英文文献。致力于提供最便捷和优质的服务体验。 Copyright © 2023 布克学术 All rights reserved.
京ICP备2023020795号-1
ghs 京公网安备 11010802042870号
Book学术文献互助
Book学术文献互助群
群 号:604180095
Book学术官方微信