Change in Plantar Pressure and Plain Radiography in Pediatric Flexible Flatfoot: A Retrospective Cohort Study.

IF 2.9 Q1 REHABILITATION
Annals of Rehabilitation Medicine-ARM Pub Date : 2024-10-01 Epub Date: 2024-10-31 DOI:10.5535/arm.240041
Sungjoon Kim, Yong Gyun Kim, Jun Yup Kim, Si-Bog Park, Kyu Hoon Lee
{"title":"Change in Plantar Pressure and Plain Radiography in Pediatric Flexible Flatfoot: A Retrospective Cohort Study.","authors":"Sungjoon Kim, Yong Gyun Kim, Jun Yup Kim, Si-Bog Park, Kyu Hoon Lee","doi":"10.5535/arm.240041","DOIUrl":null,"url":null,"abstract":"<p><strong>Objective: </strong>To investigate longitudinal changes in plantar pressure examinations and plain radiographs and to assess the correlations between these two modalities in pediatric patients with flexible flatfoot (FFF).</p><p><strong>Methods: </strong>Pediatric patients diagnosed with FFF were analyzed in this retrospective cohort study. Medical records were reviewed to collect data on plain radiographs and plantar pressure examinations. Changes in radiographic angles and plantar pressure parameters were analyzed over a follow-up period exceeding 1 year. Statistical analyses included paired t-test, Wilcoxon signed rank test, and Spearman's correlation analysis.</p><p><strong>Results: </strong>A total of 52 subjects was included in the plantar pressure analysis, with a mean age of 9.9 years at the first visit and a median follow-up duration of 52 months. The lateral tarso-first metatarsal angle decreased by 1.3° (p<0.001) and calcaneal inclination angle increased by 2.5° (p<0.001) in these patients. The percentage value of midfoot width (WMF) divided by forefoot width (WFF) decreased by an average of 9.8% p (p<0.001), and the maximal pressure on the medial midfoot (MMF) decreased by 1.6 N/cm2 (p<0.001). However, no correlations were found between plantar pressure and radiographic changes.</p><p><strong>Conclusion: </strong>During follow-up of patients with FFF, the maximal pressure on the MMF and the ratio of WMF to WFF decreased in successive plantar pressure examinations. Changes observed in plantar pressure and plain radiographs were not consistent, indicating that these two testing modalities can complement each other.</p>","PeriodicalId":47738,"journal":{"name":"Annals of Rehabilitation Medicine-ARM","volume":"48 5","pages":"352-359"},"PeriodicalIF":2.9000,"publicationDate":"2024-10-01","publicationTypes":"Journal Article","fieldsOfStudy":null,"isOpenAccess":false,"openAccessPdf":"https://www.ncbi.nlm.nih.gov/pmc/articles/PMC11540455/pdf/","citationCount":"0","resultStr":null,"platform":"Semanticscholar","paperid":null,"PeriodicalName":"Annals of Rehabilitation Medicine-ARM","FirstCategoryId":"1085","ListUrlMain":"https://doi.org/10.5535/arm.240041","RegionNum":0,"RegionCategory":null,"ArticlePicture":[],"TitleCN":null,"AbstractTextCN":null,"PMCID":null,"EPubDate":"2024/10/31 0:00:00","PubModel":"Epub","JCR":"Q1","JCRName":"REHABILITATION","Score":null,"Total":0}
引用次数: 0

Abstract

Objective: To investigate longitudinal changes in plantar pressure examinations and plain radiographs and to assess the correlations between these two modalities in pediatric patients with flexible flatfoot (FFF).

Methods: Pediatric patients diagnosed with FFF were analyzed in this retrospective cohort study. Medical records were reviewed to collect data on plain radiographs and plantar pressure examinations. Changes in radiographic angles and plantar pressure parameters were analyzed over a follow-up period exceeding 1 year. Statistical analyses included paired t-test, Wilcoxon signed rank test, and Spearman's correlation analysis.

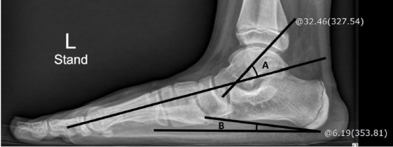
Results: A total of 52 subjects was included in the plantar pressure analysis, with a mean age of 9.9 years at the first visit and a median follow-up duration of 52 months. The lateral tarso-first metatarsal angle decreased by 1.3° (p<0.001) and calcaneal inclination angle increased by 2.5° (p<0.001) in these patients. The percentage value of midfoot width (WMF) divided by forefoot width (WFF) decreased by an average of 9.8% p (p<0.001), and the maximal pressure on the medial midfoot (MMF) decreased by 1.6 N/cm2 (p<0.001). However, no correlations were found between plantar pressure and radiographic changes.

Conclusion: During follow-up of patients with FFF, the maximal pressure on the MMF and the ratio of WMF to WFF decreased in successive plantar pressure examinations. Changes observed in plantar pressure and plain radiographs were not consistent, indicating that these two testing modalities can complement each other.

Abstract Image

Abstract Image

Abstract Image

小儿灵活型扁平足患者足底压力和平片的变化:回顾性队列研究
目的研究小儿柔性扁平足患者足底压力检查和平片的纵向变化,并评估这两种检查方式之间的相关性:方法: 在这项回顾性队列研究中,对确诊为柔性平足症的儿科患者进行了分析。研究人员查阅了病历,收集了平片和足底压力检查的数据。在超过一年的随访期间,分析了X光角度和足底压力参数的变化。统计分析包括配对t检验、Wilcoxon符号秩检验和Spearman相关分析:共有 52 名受试者参与了足底压力分析,首次就诊时的平均年龄为 9.9 岁,中位随访时间为 52 个月。外侧跗骨与第一跖骨的夹角减少了 1.3°(p):在对 FFF 患者进行随访期间,在连续的足底压力检查中,MMF 的最大压力和 WMF 与 WFF 的比率均有所下降。足底压力和普通X光片观察到的变化并不一致,这表明这两种检测方式可以相互补充。
本文章由计算机程序翻译,如有差异,请以英文原文为准。
求助全文
约1分钟内获得全文 求助全文
来源期刊
CiteScore
2.50
自引率
7.70%
发文量
32
审稿时长
30 weeks
×
引用
GB/T 7714-2015
复制
MLA
复制
APA
复制
导出至
BibTeX EndNote RefMan NoteFirst NoteExpress
×
提示
您的信息不完整,为了账户安全,请先补充。
现在去补充
×
提示
您因"违规操作"
具体请查看互助需知
我知道了
×
提示
确定
请完成安全验证×
copy
已复制链接
快去分享给好友吧!
我知道了
右上角分享
点击右上角分享
0
联系我们:info@booksci.cn Book学术提供免费学术资源搜索服务,方便国内外学者检索中英文文献。致力于提供最便捷和优质的服务体验。 Copyright © 2023 布克学术 All rights reserved.
京ICP备2023020795号-1
ghs 京公网安备 11010802042870号
Book学术文献互助
Book学术文献互助群
群 号:604180095
Book学术官方微信