Gallbladder schistosomiasis.

Q4 Medicine
Autopsy and Case Reports Pub Date : 2024-10-08 eCollection Date: 2024-01-01 DOI:10.4322/acr.2024.516
Gabriela Del Angel-Millán, José Jukemura, Júlia Bragion Bicudo, Ricardo Jureidini, André Luís Montagnini, Vanderlei Segatelli, Thiago Costa Ribeiro, Guilherme Naccache Namur, Thiago Nogueira Costa, Lucas Cata Preta Stolzemburg, Emilio Elias Abdo, Ulysses Ribeiro, Paulo Herman, Estela Regina Ramos Figueira
{"title":"Gallbladder schistosomiasis.","authors":"Gabriela Del Angel-Millán, José Jukemura, Júlia Bragion Bicudo, Ricardo Jureidini, André Luís Montagnini, Vanderlei Segatelli, Thiago Costa Ribeiro, Guilherme Naccache Namur, Thiago Nogueira Costa, Lucas Cata Preta Stolzemburg, Emilio Elias Abdo, Ulysses Ribeiro, Paulo Herman, Estela Regina Ramos Figueira","doi":"10.4322/acr.2024.516","DOIUrl":null,"url":null,"abstract":"<p><p>Schistosomiasis is an infectious disease caused by parasitic flatworms of the genus Schistosoma. The species <i>Schistosoma mansoni</i> is associated with hepatosplenic disease. Schistosomiasis involving the gallbladder alone is highly unusual, with a few cases reported. Herein, we present the case of a woman from a region with endemic schistosomiasis who presented with a painless solid lesion and wall thickening of the gallbladder. She underwent an uneventful laparoscopic cholecystectomy. Microscopic examination of the surgical specimen revealed <i>Schistosoma mansoni</i> eggs associated with granulomatous reaction, leading to the diagnosis of schistosomiasis of the gallbladder, prompting subsequent treatment with praziquantel and follow-up. This case illustrates the importance of suspicion for this diagnosis in endemic areas, as it can be misdiagnosed with malignancy if not examined microscopically. Complications and treatment strategies are poorly characterized for the few cases of schistosomiasis; reporting this case can serve as a helpful reminder of a rare presentation of this disease.</p>","PeriodicalId":53117,"journal":{"name":"Autopsy and Case Reports","volume":"14 ","pages":"e2024516"},"PeriodicalIF":0.0000,"publicationDate":"2024-10-08","publicationTypes":"Journal Article","fieldsOfStudy":null,"isOpenAccess":false,"openAccessPdf":"https://www.ncbi.nlm.nih.gov/pmc/articles/PMC11529890/pdf/","citationCount":"0","resultStr":null,"platform":"Semanticscholar","paperid":null,"PeriodicalName":"Autopsy and Case Reports","FirstCategoryId":"1085","ListUrlMain":"https://doi.org/10.4322/acr.2024.516","RegionNum":0,"RegionCategory":null,"ArticlePicture":[],"TitleCN":null,"AbstractTextCN":null,"PMCID":null,"EPubDate":"2024/1/1 0:00:00","PubModel":"eCollection","JCR":"Q4","JCRName":"Medicine","Score":null,"Total":0}
引用次数: 0

Abstract

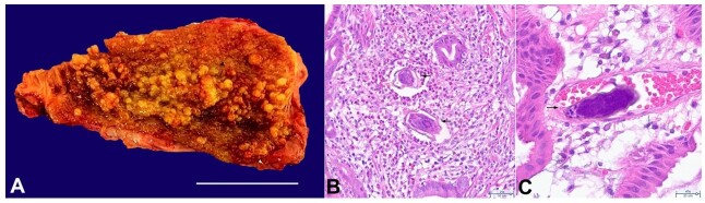
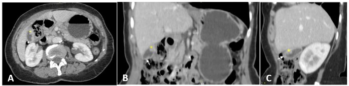
Schistosomiasis is an infectious disease caused by parasitic flatworms of the genus Schistosoma. The species Schistosoma mansoni is associated with hepatosplenic disease. Schistosomiasis involving the gallbladder alone is highly unusual, with a few cases reported. Herein, we present the case of a woman from a region with endemic schistosomiasis who presented with a painless solid lesion and wall thickening of the gallbladder. She underwent an uneventful laparoscopic cholecystectomy. Microscopic examination of the surgical specimen revealed Schistosoma mansoni eggs associated with granulomatous reaction, leading to the diagnosis of schistosomiasis of the gallbladder, prompting subsequent treatment with praziquantel and follow-up. This case illustrates the importance of suspicion for this diagnosis in endemic areas, as it can be misdiagnosed with malignancy if not examined microscopically. Complications and treatment strategies are poorly characterized for the few cases of schistosomiasis; reporting this case can serve as a helpful reminder of a rare presentation of this disease.

Abstract Image

Abstract Image

胆囊血吸虫病。
血吸虫病是一种由血吸虫属扁形寄生虫引起的传染病。曼氏血吸虫与肝脾疾病有关。单纯累及胆囊的血吸虫病非常罕见,仅有少数病例报道。在此,我们介绍了一例来自血吸虫病流行地区的女性病例,她出现了无痛性实变和胆囊壁增厚。她顺利地接受了腹腔镜胆囊切除术。手术标本显微镜检查发现曼氏血吸虫虫卵,并伴有肉芽肿反应,诊断为胆囊血吸虫病,随后给予吡喹酮治疗并随访。该病例说明,在血吸虫病流行地区,怀疑这一诊断非常重要,因为如果不进行显微镜检查,可能会被误诊为恶性肿瘤。在为数不多的血吸虫病病例中,并发症和治疗策略的特点并不明显;报告本病例有助于提醒人们注意这种疾病的罕见表现。
本文章由计算机程序翻译,如有差异,请以英文原文为准。
求助全文
约1分钟内获得全文 求助全文
来源期刊
Autopsy and Case Reports
Autopsy and Case Reports Medicine-Internal Medicine
CiteScore
1.20
自引率
0.00%
发文量
60
审稿时长
9 weeks
×
引用
GB/T 7714-2015
复制
MLA
复制
APA
复制
导出至
BibTeX EndNote RefMan NoteFirst NoteExpress
×
提示
您的信息不完整,为了账户安全,请先补充。
现在去补充
×
提示
您因"违规操作"
具体请查看互助需知
我知道了
×
提示
确定
请完成安全验证×
copy
已复制链接
快去分享给好友吧!
我知道了
右上角分享
点击右上角分享
0
联系我们:info@booksci.cn Book学术提供免费学术资源搜索服务,方便国内外学者检索中英文文献。致力于提供最便捷和优质的服务体验。 Copyright © 2023 布克学术 All rights reserved.
京ICP备2023020795号-1
ghs 京公网安备 11010802042870号
Book学术文献互助
Book学术文献互助群
群 号:604180095
Book学术官方微信