Disseminated Intracranial and Spinal Neurenteric Cysts: A Case Report and Literature Review.

IF 0.9 Q4 CLINICAL NEUROLOGY
Case Reports in Neurological Medicine Pub Date : 2024-10-25 eCollection Date: 2024-01-01 DOI:10.1155/2024/9673413
Jan Kuschick Feher, Luis A Marin-Castañeda, Fernando S Juárez-Tovar, Roger Carrillo-Mezo, Gabriela Rosas, Martha Lilia Tena-Suck, Agnès Fleury
{"title":"Disseminated Intracranial and Spinal Neurenteric Cysts: A Case Report and Literature Review.","authors":"Jan Kuschick Feher, Luis A Marin-Castañeda, Fernando S Juárez-Tovar, Roger Carrillo-Mezo, Gabriela Rosas, Martha Lilia Tena-Suck, Agnès Fleury","doi":"10.1155/2024/9673413","DOIUrl":null,"url":null,"abstract":"<p><p>Neurenteric cysts (NECs) are rare congenital, benign lesions of the central nervous system (CNS), predominantly located within the spinal cord. However, they may also occur less frequently within the brainstem, fourth ventricle, or cerebellopontine angle (CPA). Originating from anomalous interactions between embryonic layers, NECs are recognized for their potential to compress adjacent structures. We report a unique case of disseminated NECs exhibiting few to absent symptoms, which represents an unusual presentation of this disease, with only six similar reports in the literature. A 22-year-old female presented to our institute with chronic headaches resistant to nonsteroidal anti-inflammatory drugs (NSAIDs). Initially treated for intracranial hypertension (ICH) secondary to a cyst in the quadrigeminal cistern at the age of 17 via neuroendoscopic surgery and subsequent ventriculoperitoneal shunting, she experienced transient relief. However, follow-up at 22 years of age revealed multiple cysts in the basal and spinal cisterns, with MRI findings suggestive of neurocysticercosis. Despite treatment with albendazole and corticosteroids, subsequent MRIs showed no change in the size or number of the cysts. Six years later, symptoms had worsened, previously identified cysts had grown, and the detection of new cysts prompted surgical intervention. Histopathological examination confirmed the presence of NECs. This case highlights the diagnostic challenges posed by NECs, especially in regions endemic for neurocysticercosis, where clinical and radiological findings may initially suggest this condition. It underscores the importance of considering NECs in the differential diagnosis of cystic lesions in the CNS, even in the absence of typical symptoms of spinal cord compression. The recurrence and spread of NECs post-treatment demand a comprehensive management approach, encompassing surgical intervention and close monitoring.</p>","PeriodicalId":9615,"journal":{"name":"Case Reports in Neurological Medicine","volume":"2024 ","pages":"9673413"},"PeriodicalIF":0.9000,"publicationDate":"2024-10-25","publicationTypes":"Journal Article","fieldsOfStudy":null,"isOpenAccess":false,"openAccessPdf":"https://www.ncbi.nlm.nih.gov/pmc/articles/PMC11530287/pdf/","citationCount":"0","resultStr":null,"platform":"Semanticscholar","paperid":null,"PeriodicalName":"Case Reports in Neurological Medicine","FirstCategoryId":"1085","ListUrlMain":"https://doi.org/10.1155/2024/9673413","RegionNum":0,"RegionCategory":null,"ArticlePicture":[],"TitleCN":null,"AbstractTextCN":null,"PMCID":null,"EPubDate":"2024/1/1 0:00:00","PubModel":"eCollection","JCR":"Q4","JCRName":"CLINICAL NEUROLOGY","Score":null,"Total":0}
引用次数: 0

Abstract

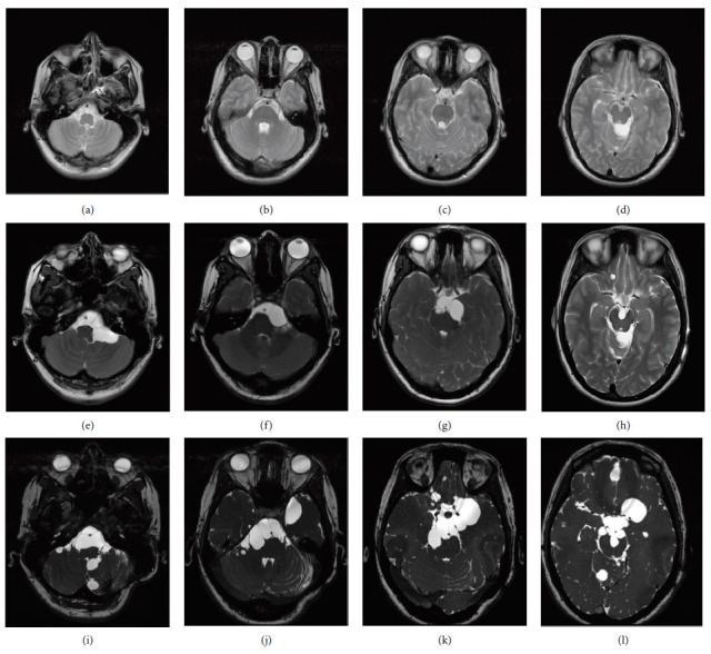
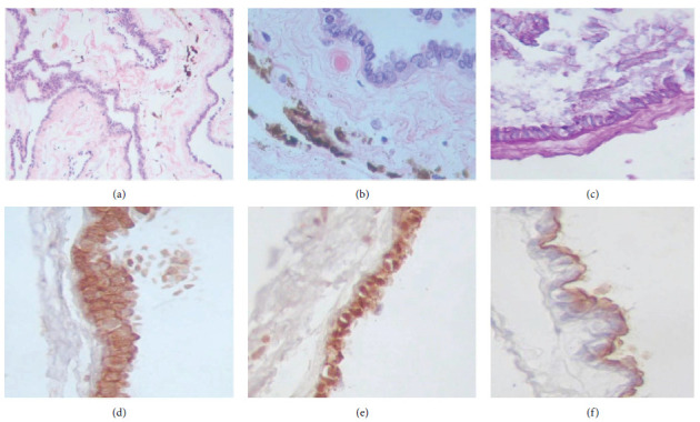
Neurenteric cysts (NECs) are rare congenital, benign lesions of the central nervous system (CNS), predominantly located within the spinal cord. However, they may also occur less frequently within the brainstem, fourth ventricle, or cerebellopontine angle (CPA). Originating from anomalous interactions between embryonic layers, NECs are recognized for their potential to compress adjacent structures. We report a unique case of disseminated NECs exhibiting few to absent symptoms, which represents an unusual presentation of this disease, with only six similar reports in the literature. A 22-year-old female presented to our institute with chronic headaches resistant to nonsteroidal anti-inflammatory drugs (NSAIDs). Initially treated for intracranial hypertension (ICH) secondary to a cyst in the quadrigeminal cistern at the age of 17 via neuroendoscopic surgery and subsequent ventriculoperitoneal shunting, she experienced transient relief. However, follow-up at 22 years of age revealed multiple cysts in the basal and spinal cisterns, with MRI findings suggestive of neurocysticercosis. Despite treatment with albendazole and corticosteroids, subsequent MRIs showed no change in the size or number of the cysts. Six years later, symptoms had worsened, previously identified cysts had grown, and the detection of new cysts prompted surgical intervention. Histopathological examination confirmed the presence of NECs. This case highlights the diagnostic challenges posed by NECs, especially in regions endemic for neurocysticercosis, where clinical and radiological findings may initially suggest this condition. It underscores the importance of considering NECs in the differential diagnosis of cystic lesions in the CNS, even in the absence of typical symptoms of spinal cord compression. The recurrence and spread of NECs post-treatment demand a comprehensive management approach, encompassing surgical intervention and close monitoring.

Abstract Image

Abstract Image

Abstract Image

播散性颅内和脊神经囊肿:病例报告和文献综述。
神经细胞囊肿(NECs)是中枢神经系统(CNS)罕见的先天性良性病变,主要位于脊髓内。不过,它们也可能较少发生在脑干、第四脑室或小脑角(CPA)。NEC起源于胚胎层之间的异常相互作用,因其可能压迫邻近结构而被公认。我们报告了一例独特的播散性 NECs 病例,患者几乎没有任何症状,这是该疾病的一种不寻常表现,文献中仅有六例类似报告。一名 22 岁的女性因慢性头痛来我院就诊,对非甾体抗炎药(NSAIDs)产生抗药性。她在17岁时因四叉神经窦囊肿继发颅内高压(ICH),最初通过神经内窥镜手术和随后的脑室腹腔分流术进行治疗,症状得到短暂缓解。然而,22 岁时的随访发现,基底和脊髓贮水池有多个囊肿,核磁共振成像结果提示为神经囊虫病。尽管她接受了阿苯达唑和皮质类固醇治疗,但随后的核磁共振成像显示囊肿的大小和数量均无变化。六年后,症状恶化,之前发现的囊肿又增大了,而且发现了新的囊肿,于是进行了手术治疗。组织病理学检查证实了 NECs 的存在。该病例凸显了NECs给诊断带来的挑战,尤其是在神经囊虫病流行的地区,临床和放射学检查结果最初都可能提示这种疾病。它强调了在中枢神经系统囊性病变的鉴别诊断中考虑 NECs 的重要性,即使没有脊髓受压的典型症状。NECs在治疗后会复发和扩散,因此需要采取综合治疗方法,包括手术干预和密切监测。
本文章由计算机程序翻译,如有差异,请以英文原文为准。
求助全文
约1分钟内获得全文 求助全文
来源期刊
自引率
0.00%
发文量
26
审稿时长
11 weeks
×
引用
GB/T 7714-2015
复制
MLA
复制
APA
复制
导出至
BibTeX EndNote RefMan NoteFirst NoteExpress
×
提示
您的信息不完整,为了账户安全,请先补充。
现在去补充
×
提示
您因"违规操作"
具体请查看互助需知
我知道了
×
提示
确定
请完成安全验证×
copy
已复制链接
快去分享给好友吧!
我知道了
右上角分享
点击右上角分享
0
联系我们:info@booksci.cn Book学术提供免费学术资源搜索服务,方便国内外学者检索中英文文献。致力于提供最便捷和优质的服务体验。 Copyright © 2023 布克学术 All rights reserved.
京ICP备2023020795号-1
ghs 京公网安备 11010802042870号
Book学术文献互助
Book学术文献互助群
群 号:604180095
Book学术官方微信