Large Spontaneous Subcutaneous Abscess Formation due to Finegoldia magna in a Diabetic Patient: A Case Report.

IF 0.8 Q4 DERMATOLOGY
Case Reports in Dermatology Pub Date : 2024-08-23 eCollection Date: 2024-01-01 DOI:10.1159/000540636
Toshiyuki Sato, Mayuka Tomita, Atsuhiro Kohno, Satomi Chujo, Yuma Waki, Yoshimasa Nobeyama, Masaaki Kawase, Akihiko Asahina
{"title":"Large Spontaneous Subcutaneous Abscess Formation due to <i>Finegoldia magna</i> in a Diabetic Patient: A Case Report.","authors":"Toshiyuki Sato, Mayuka Tomita, Atsuhiro Kohno, Satomi Chujo, Yuma Waki, Yoshimasa Nobeyama, Masaaki Kawase, Akihiko Asahina","doi":"10.1159/000540636","DOIUrl":null,"url":null,"abstract":"<p><strong>Introduction: </strong><i>Finegoldia magna</i> is a member of the Gram-positive anaerobic cocci group and constitutes the flora of the skin and other parts of the body. It sometimes colonizes diabetic foot and rarely infects skin or soft tissue of non-immunocompromised patients.</p><p><strong>Case presentation: </strong>Here, we report the case of a severe subcutaneous abscess on the back caused by <i>F</i>. <i>magna</i> involving an immunocompromised patient with poorly controlled diabetes. A 48-year-old woman with diabetes mellitus and anemia associated with uterine fibroids was referred to us with a 1-month history of a skin manifestation on her back, with a body temperature of 35.9°C and blood pressure of 115/73 mm Hg. The manifestation involved a subcutaneous mass of 36 × 45 cm with a foul odor, partly covered with necrotic tissue, which had the appearance of a tortoiseshell-like pattern. Blood examination revealed C-reactive protein of 21.4 mg/dL and hemoglobin A1c of 9.1%. Contrast-enhanced computed tomography showed a subcutaneous abscess with internal emphysema. Emergency debridement was performed, resulting in drainage of foul-smelling gray-green pus. <i>F</i>. <i>magna</i> was detected in the pus and skin tissue.</p><p><strong>Conclusion: </strong>Skin and soft tissue infectious disease caused by <i>F</i>. <i>magna</i> is extremely rare, but the disease tends to become severe once developing in an immunocompromised patient, such as a patient with poorly controlled diabetes. Therefore, physicians should consider <i>F</i>. <i>magna</i> as a causative agent when poorly controlled diabetic patients suffer from severe infectious cutaneous manifestations.</p>","PeriodicalId":9619,"journal":{"name":"Case Reports in Dermatology","volume":"16 1","pages":"202-209"},"PeriodicalIF":0.8000,"publicationDate":"2024-08-23","publicationTypes":"Journal Article","fieldsOfStudy":null,"isOpenAccess":false,"openAccessPdf":"https://www.ncbi.nlm.nih.gov/pmc/articles/PMC11521465/pdf/","citationCount":"0","resultStr":null,"platform":"Semanticscholar","paperid":null,"PeriodicalName":"Case Reports in Dermatology","FirstCategoryId":"1085","ListUrlMain":"https://doi.org/10.1159/000540636","RegionNum":0,"RegionCategory":null,"ArticlePicture":[],"TitleCN":null,"AbstractTextCN":null,"PMCID":null,"EPubDate":"2024/1/1 0:00:00","PubModel":"eCollection","JCR":"Q4","JCRName":"DERMATOLOGY","Score":null,"Total":0}
引用次数: 0

Abstract

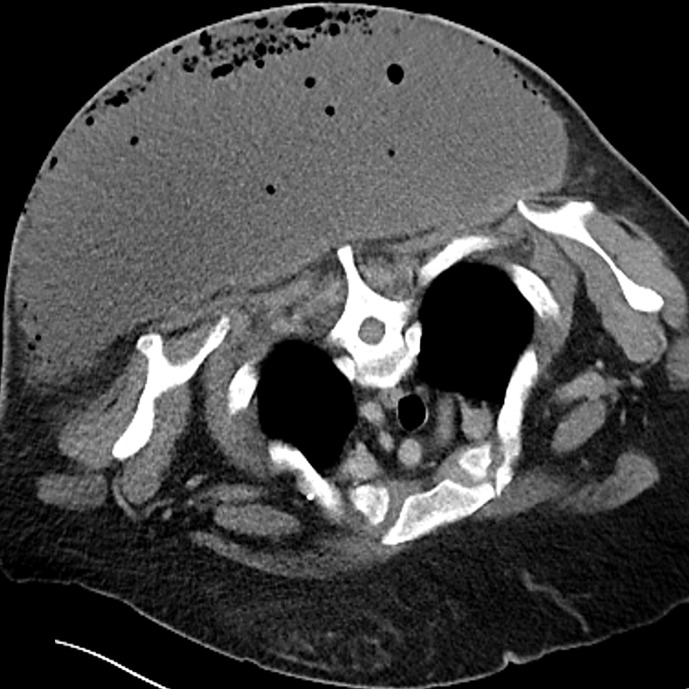
Introduction: Finegoldia magna is a member of the Gram-positive anaerobic cocci group and constitutes the flora of the skin and other parts of the body. It sometimes colonizes diabetic foot and rarely infects skin or soft tissue of non-immunocompromised patients.

Case presentation: Here, we report the case of a severe subcutaneous abscess on the back caused by F. magna involving an immunocompromised patient with poorly controlled diabetes. A 48-year-old woman with diabetes mellitus and anemia associated with uterine fibroids was referred to us with a 1-month history of a skin manifestation on her back, with a body temperature of 35.9°C and blood pressure of 115/73 mm Hg. The manifestation involved a subcutaneous mass of 36 × 45 cm with a foul odor, partly covered with necrotic tissue, which had the appearance of a tortoiseshell-like pattern. Blood examination revealed C-reactive protein of 21.4 mg/dL and hemoglobin A1c of 9.1%. Contrast-enhanced computed tomography showed a subcutaneous abscess with internal emphysema. Emergency debridement was performed, resulting in drainage of foul-smelling gray-green pus. F. magna was detected in the pus and skin tissue.

Conclusion: Skin and soft tissue infectious disease caused by F. magna is extremely rare, but the disease tends to become severe once developing in an immunocompromised patient, such as a patient with poorly controlled diabetes. Therefore, physicians should consider F. magna as a causative agent when poorly controlled diabetic patients suffer from severe infectious cutaneous manifestations.

Abstract Image

Abstract Image

Abstract Image

糖尿病患者因细金丝桃而自发形成大面积皮下脓肿:病例报告。
简介细金葡菌(Finegoldia magna)属于革兰氏阳性厌氧球菌,是皮肤和身体其他部位的菌群成员。它有时会定植于糖尿病足,但很少感染非免疫力低下患者的皮肤或软组织:在此,我们报告了一例由 magna 真菌引起的背部严重皮下脓肿病例,该病例涉及一名免疫力低下的糖尿病患者。一名患有糖尿病和贫血并伴有子宫肌瘤的 48 岁女性转诊至我院,她的背部皮肤症状已有 1 个月的病史,体温为 35.9°C,血压为 115/73 mm Hg。症状表现为 36 × 45 厘米的皮下肿块,有恶臭,部分被坏死组织覆盖,外观呈玳瑁状。血液检查显示,C 反应蛋白为 21.4 毫克/分升,血红蛋白 A1c 为 9.1%。对比增强计算机断层扫描显示,患者皮下有脓肿,并伴有内部气肿。紧急清创后,排出了恶臭的灰绿色脓液。在脓液和皮肤组织中检测到蛆虫:结论:由巨大芽孢杆菌引起的皮肤和软组织感染性疾病极为罕见,但一旦在免疫力低下的患者(如糖尿病控制不佳的患者)中发病,病情往往会变得严重。因此,当病情控制不佳的糖尿病患者出现严重的皮肤感染表现时,医生应将麦地那龙线虫视为致病菌。
本文章由计算机程序翻译,如有差异,请以英文原文为准。
求助全文
约1分钟内获得全文 求助全文
来源期刊
CiteScore
1.60
自引率
0.00%
发文量
57
审稿时长
9 weeks
×
引用
GB/T 7714-2015
复制
MLA
复制
APA
复制
导出至
BibTeX EndNote RefMan NoteFirst NoteExpress
×
提示
您的信息不完整,为了账户安全,请先补充。
现在去补充
×
提示
您因"违规操作"
具体请查看互助需知
我知道了
×
提示
确定
请完成安全验证×
copy
已复制链接
快去分享给好友吧!
我知道了
右上角分享
点击右上角分享
0
联系我们:info@booksci.cn Book学术提供免费学术资源搜索服务,方便国内外学者检索中英文文献。致力于提供最便捷和优质的服务体验。 Copyright © 2023 布克学术 All rights reserved.
京ICP备2023020795号-1
ghs 京公网安备 11010802042870号
Book学术文献互助
Book学术文献互助群
群 号:604180095
Book学术官方微信