Local application of melatonin associated or not to xenogeneic material, in critical defects of rat calvaria.

Karen L Dalla Costa, Juliana Lacerda Dias, Izaura M Crunivel Araújo, Andrei Braga Monteiro, José A Coelho Junior, Rogerio Scipioni Junior, Marcelo Sperandio, Julio C Joly, Daiane C Peruzzo
{"title":"Local application of melatonin associated or not to xenogeneic material, in critical defects of rat calvaria.","authors":"Karen L Dalla Costa, Juliana Lacerda Dias, Izaura M Crunivel Araújo, Andrei Braga Monteiro, José A Coelho Junior, Rogerio Scipioni Junior, Marcelo Sperandio, Julio C Joly, Daiane C Peruzzo","doi":"10.54589/aol.37/2/123","DOIUrl":null,"url":null,"abstract":"<p><p>Melatonin (MLT) is a hormone that can stimulate bone formation and inhibit bone resorption, among other functions. Aim: To evaluate the effect on new bone formation of MLT applied locally to critical defects created in the calvaria of rats, compared to the effect of Bio-Oss® xenogeneic bone substitute (BO), by analyzing histomorphometry, microtomography and gene expression. Materials and Method: Two critical defects (5.0 mm in diameter) were created in the calvaria of 36 adults male Wistar rats. The rats were divided randomly into two groups: a test group, in which one of the defects was filled with MLT, and the other with MLT with Bio-Oss® (MLTBO), and a control group, in which one of the defects was filled only with the clot (C), and the other with BO. The rats were euthanized 30 days after surgery. Samples of the calvaria containing the critical defects were collected for analysis by histomorphometry, microtomography, and the expression of the genes for type I collagen (COL-I), osteopontin (OPN) and bone morphogenetic protein 2 (BMP-2). Results: A qualitative improvement was observed in bone healing when MLT was used, though there was no statistical difference in the quantification of newly formed bone (p>0.05). Micro-CT showed that bone volume was significantly smaller in absence of BO (p=0.006). Bone trabeculae thickness (p=0.590) and number (p=0.150) were not significantly affected by MLT. Regarding the expression of the genes COL-I, OPN and BMP-2, no significant differences were observed between the MLT, BO and MLTBO groups. Conclusion: Topical application of MLT resulted in a qualitative improvement in bone healing, although it did not affect bone formation quantitatively. In the absence of BO, less bone volume and less bone trabecular thickness were observed.</p>","PeriodicalId":93853,"journal":{"name":"Acta odontologica latinoamericana : AOL","volume":"37 2","pages":"123-133"},"PeriodicalIF":0.0000,"publicationDate":"2024-09-30","publicationTypes":"Journal Article","fieldsOfStudy":null,"isOpenAccess":false,"openAccessPdf":"https://www.ncbi.nlm.nih.gov/pmc/articles/PMC11590004/pdf/","citationCount":"0","resultStr":null,"platform":"Semanticscholar","paperid":null,"PeriodicalName":"Acta odontologica latinoamericana : AOL","FirstCategoryId":"1085","ListUrlMain":"https://doi.org/10.54589/aol.37/2/123","RegionNum":0,"RegionCategory":null,"ArticlePicture":[],"TitleCN":null,"AbstractTextCN":null,"PMCID":null,"EPubDate":"","PubModel":"","JCR":"","JCRName":"","Score":null,"Total":0}
引用次数: 0

Abstract

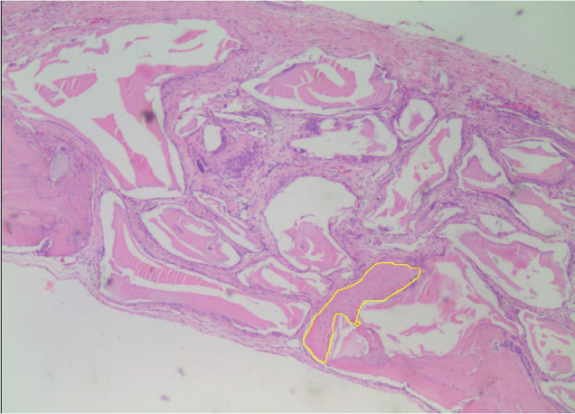
Melatonin (MLT) is a hormone that can stimulate bone formation and inhibit bone resorption, among other functions. Aim: To evaluate the effect on new bone formation of MLT applied locally to critical defects created in the calvaria of rats, compared to the effect of Bio-Oss® xenogeneic bone substitute (BO), by analyzing histomorphometry, microtomography and gene expression. Materials and Method: Two critical defects (5.0 mm in diameter) were created in the calvaria of 36 adults male Wistar rats. The rats were divided randomly into two groups: a test group, in which one of the defects was filled with MLT, and the other with MLT with Bio-Oss® (MLTBO), and a control group, in which one of the defects was filled only with the clot (C), and the other with BO. The rats were euthanized 30 days after surgery. Samples of the calvaria containing the critical defects were collected for analysis by histomorphometry, microtomography, and the expression of the genes for type I collagen (COL-I), osteopontin (OPN) and bone morphogenetic protein 2 (BMP-2). Results: A qualitative improvement was observed in bone healing when MLT was used, though there was no statistical difference in the quantification of newly formed bone (p>0.05). Micro-CT showed that bone volume was significantly smaller in absence of BO (p=0.006). Bone trabeculae thickness (p=0.590) and number (p=0.150) were not significantly affected by MLT. Regarding the expression of the genes COL-I, OPN and BMP-2, no significant differences were observed between the MLT, BO and MLTBO groups. Conclusion: Topical application of MLT resulted in a qualitative improvement in bone healing, although it did not affect bone formation quantitatively. In the absence of BO, less bone volume and less bone trabecular thickness were observed.

Abstract Image

Abstract Image

Abstract Image

在大鼠小腿关键缺损处局部应用与异种材料相关或不相关的褪黑激素。
褪黑素(MLT)是一种激素,除其他功能外,还能刺激骨形成和抑制骨吸收。目的:通过分析组织形态学、显微层析成像和基因表达,评估在大鼠腓肠肌严重缺损局部应用褪黑激素对新骨形成的影响,并与 Bio-Oss® 异种骨替代物(BO)的效果进行比较。材料与方法:在 36 只成年雄性 Wistar 大鼠的腓肠肌上创建两个临界缺损(直径 5.0 毫米)。大鼠被随机分为两组:试验组,其中一个缺损用 MLT 填充,另一个缺损用 MLT 加 Bio-Oss® (MLTBO)填充;对照组,其中一个缺损只用凝块(C)填充,另一个缺损用 BO 填充。大鼠在手术后 30 天安乐死。收集包含关键缺损的小腿样本,通过组织形态学、显微层析成像以及 I 型胶原蛋白(COL-I)、骨生成素(OPN)和骨形态发生蛋白 2(BMP-2)基因的表达进行分析。结果显示使用 MLT 后,骨愈合的质量有所改善,但新形成骨的数量没有统计学差异(P>0.05)。显微 CT 显示,在没有使用 BO 的情况下,骨量明显减少(p=0.006)。骨小梁厚度(p=0.590)和数量(p=0.150)受 MLT 的影响不大。在基因 COL-I、OPN 和 BMP-2 的表达方面,MLT 组、BO 组和 MLTBO 组之间没有发现明显差异。结论局部使用 MLT 可改善骨愈合的质量,但不会影响骨形成的数量。在没有使用 BO 的情况下,观察到的骨量和骨小梁厚度均有所减少。
本文章由计算机程序翻译,如有差异,请以英文原文为准。
求助全文
约1分钟内获得全文 求助全文
来源期刊
CiteScore
1.00
自引率
0.00%
发文量
0
×
引用
GB/T 7714-2015
复制
MLA
复制
APA
复制
导出至
BibTeX EndNote RefMan NoteFirst NoteExpress
×
提示
您的信息不完整,为了账户安全,请先补充。
现在去补充
×
提示
您因"违规操作"
具体请查看互助需知
我知道了
×
提示
确定
请完成安全验证×
copy
已复制链接
快去分享给好友吧!
我知道了
右上角分享
点击右上角分享
0
联系我们:info@booksci.cn Book学术提供免费学术资源搜索服务,方便国内外学者检索中英文文献。致力于提供最便捷和优质的服务体验。 Copyright © 2023 布克学术 All rights reserved.
京ICP备2023020795号-1
ghs 京公网安备 11010802042870号
Book学术文献互助
Book学术文献互助群
群 号:604180095
Book学术官方微信