Seizure-like Symptoms Induced by Hypomagnesemia in a Patient with Incomplete Small Bowel Obstruction; A Case Report.

IF 0.6 Q4 MEDICINE, RESEARCH & EXPERIMENTAL
Galen Medical Journal Pub Date : 2024-05-01 eCollection Date: 2024-01-01 DOI:10.31661/gmj.v13i.3350
Jiyan Weng, Wenjun Chen, Mingjin Zhu
{"title":"Seizure-like Symptoms Induced by Hypomagnesemia in a Patient with Incomplete Small Bowel Obstruction; A Case Report.","authors":"Jiyan Weng, Wenjun Chen, Mingjin Zhu","doi":"10.31661/gmj.v13i.3350","DOIUrl":null,"url":null,"abstract":"<p><strong>Background: </strong>Seizure-like symptoms are rare in older patients without brain damage. Small bowel obstruction is a common clinical disorder for older patients that can cause electrolyte disturbances and nutritional disorders. Hypomagnesemia is a frequently overlooked electrolyte disorder. Moreover, magnesium deficiency can lead to severe seizure-like symptoms.</p><p><strong>Case report: </strong>An 85-year-old man was admitted to the hospital with weakness and slow movement. Shortly after hospitalization, he experienced incomplete small bowel obstruction; thus, parenteral nutrition and intravenous esomeprazole were administered. When intestinal obstruction was relieved, the patient suddenly experienced seizure-like symptoms three times, and 24-h electroencephalogram did not capture any epileptiform pattern. After excluding other causes, we considered serum magnesium deficiency as a diagnosis. Low serum magnesium levels were related to a shortage of absorption due to small bowel obstruction, excess excretion of renal dysfunction, and the use of proton pump inhibitor. However, the exact mechanism underlying the hypomagnesemia-induced seizure-like activity remained unclear. After adjusting the nutritional support and magnesium supplementation, the patient's serum magnesium level returned to normal, and he was free of seizure-like activity.</p><p><strong>Conclusion: </strong>Hypomagnesemia is often asymptomatic, but it can lead to severe seizure-like symptoms. It is important to pay attention to the serum magnesium level and nutritional intake in patients with an incomplete small bowel obstruction.</p>","PeriodicalId":44017,"journal":{"name":"Galen Medical Journal","volume":"13 ","pages":"e3350"},"PeriodicalIF":0.6000,"publicationDate":"2024-05-01","publicationTypes":"Journal Article","fieldsOfStudy":null,"isOpenAccess":false,"openAccessPdf":"https://www.ncbi.nlm.nih.gov/pmc/articles/PMC11521567/pdf/","citationCount":"0","resultStr":null,"platform":"Semanticscholar","paperid":null,"PeriodicalName":"Galen Medical Journal","FirstCategoryId":"1085","ListUrlMain":"https://doi.org/10.31661/gmj.v13i.3350","RegionNum":0,"RegionCategory":null,"ArticlePicture":[],"TitleCN":null,"AbstractTextCN":null,"PMCID":null,"EPubDate":"2024/1/1 0:00:00","PubModel":"eCollection","JCR":"Q4","JCRName":"MEDICINE, RESEARCH & EXPERIMENTAL","Score":null,"Total":0}
引用次数: 0

Abstract

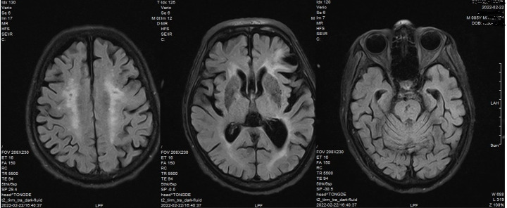
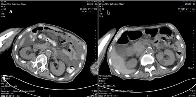
Background: Seizure-like symptoms are rare in older patients without brain damage. Small bowel obstruction is a common clinical disorder for older patients that can cause electrolyte disturbances and nutritional disorders. Hypomagnesemia is a frequently overlooked electrolyte disorder. Moreover, magnesium deficiency can lead to severe seizure-like symptoms.

Case report: An 85-year-old man was admitted to the hospital with weakness and slow movement. Shortly after hospitalization, he experienced incomplete small bowel obstruction; thus, parenteral nutrition and intravenous esomeprazole were administered. When intestinal obstruction was relieved, the patient suddenly experienced seizure-like symptoms three times, and 24-h electroencephalogram did not capture any epileptiform pattern. After excluding other causes, we considered serum magnesium deficiency as a diagnosis. Low serum magnesium levels were related to a shortage of absorption due to small bowel obstruction, excess excretion of renal dysfunction, and the use of proton pump inhibitor. However, the exact mechanism underlying the hypomagnesemia-induced seizure-like activity remained unclear. After adjusting the nutritional support and magnesium supplementation, the patient's serum magnesium level returned to normal, and he was free of seizure-like activity.

Conclusion: Hypomagnesemia is often asymptomatic, but it can lead to severe seizure-like symptoms. It is important to pay attention to the serum magnesium level and nutritional intake in patients with an incomplete small bowel obstruction.

Abstract Image

Abstract Image

不完全性小肠梗阻患者低镁血症诱发的癫痫样症状;病例报告。
背景:在没有脑损伤的老年患者中,类似癫痫发作的症状很少见。小肠梗阻是老年患者常见的临床疾病,可导致电解质紊乱和营养失调。低镁血症是一种经常被忽视的电解质紊乱。此外,缺镁可导致严重的癫痫样症状:一名 85 岁的老人因虚弱和行动迟缓入院。入院后不久,他出现了不完全的小肠梗阻,因此接受了肠外营养和静脉注射埃索美拉唑。肠梗阻缓解后,患者突然出现了三次癫痫样症状,24 小时脑电图未捕捉到任何癫痫样模式。在排除了其他病因后,我们考虑将血清镁缺乏症作为诊断依据。血清镁水平低与小肠梗阻导致的吸收不足、肾功能障碍导致的排泄过多以及使用质子泵抑制剂有关。然而,低镁血症诱发癫痫样活动的确切机制仍不清楚。在调整营养支持和镁补充剂后,患者的血清镁水平恢复正常,并摆脱了癫痫样活动:结论:低镁血症通常无症状,但可导致严重的癫痫样症状。结论:低镁血症通常无症状,但会导致严重的癫痫样症状。对于不完全性小肠梗阻患者,关注血清镁水平和营养摄入非常重要。
本文章由计算机程序翻译,如有差异,请以英文原文为准。
求助全文
约1分钟内获得全文 求助全文
来源期刊
Galen Medical Journal
Galen Medical Journal MEDICINE, RESEARCH & EXPERIMENTAL-
自引率
0.00%
发文量
13
期刊介绍: GMJ is open access, peer-reviewed journal in English and supported by Noncommunicable Diseases (NCD) Research Center of Fasa University of Medical Sciences that publishing by Salvia Medical Sciences Ltd. GMJ will consider all types of the following scientific papers for publication: - Editorial’s choice - Original Researches - Review articles - Case reports - Case series - Letter (to editors, to authors, etc) - Short communications - Medical Idea
×
引用
GB/T 7714-2015
复制
MLA
复制
APA
复制
导出至
BibTeX EndNote RefMan NoteFirst NoteExpress
×
提示
您的信息不完整,为了账户安全,请先补充。
现在去补充
×
提示
您因"违规操作"
具体请查看互助需知
我知道了
×
提示
确定
请完成安全验证×
copy
已复制链接
快去分享给好友吧!
我知道了
右上角分享
点击右上角分享
0
联系我们:info@booksci.cn Book学术提供免费学术资源搜索服务,方便国内外学者检索中英文文献。致力于提供最便捷和优质的服务体验。 Copyright © 2023 布克学术 All rights reserved.
京ICP备2023020795号-1
ghs 京公网安备 11010802042870号
Book学术文献互助
Book学术文献互助群
群 号:604180095
Book学术官方微信