GATA3 Immunohistochemical Staining in Classical Hodgkin Lymphoma and Its Diagnostic Utility in Differential Diagnosis

IF 1.3 4区 医学 Q3 HEMATOLOGY
Turkish Journal of Hematology Pub Date : 2025-02-28 Epub Date: 2024-10-31 DOI:10.4274/tjh.galenos.2024.2024.0237
Ali Yılmaz Altay, Begüm Yeni Erdem, Gülçin Yegen
{"title":"GATA3 Immunohistochemical Staining in Classical Hodgkin Lymphoma and Its Diagnostic Utility in Differential Diagnosis","authors":"Ali Yılmaz Altay, Begüm Yeni Erdem, Gülçin Yegen","doi":"10.4274/tjh.galenos.2024.2024.0237","DOIUrl":null,"url":null,"abstract":"<p><strong>Objective: </strong>Classical Hodgkin lymphoma (CHL) is a common lymphoid neoplasm with a wide range of differential diagnoses. Although it has a specific immunophenotype, aberrant expression of antigens can cause problems at its diagnosis. In this study we evaluated the usefulness of GATA3 in the differential diagnosis of CHL.</p><p><strong>Materials and methods: </strong>One hundred cases of CHL and a control group of 106 lymphoma cases, which included anaplastic large-cell lymphoma both positive and negative for anaplastic lymphoma kinase (ALK), Epstein-Barr virus (EBV)-positive large B-cell lymphoma, T-cell/histiocyte-rich B-cell lymphoma, primary mediastinal large B-cell lymphoma, nodular lymphocyte-predominant Hodgkin lymphoma, and mediastinal gray-zone lymphoma, were included in the study. GATA3 immunohistochemistry was applied to all cases and nuclear expression was accepted as positive. Expression status of GATA3 was compared between the CHL group and the control group, as well as among each lymphoma subtype. In addition, whether the biopsy type affected diagnostic performance was assessed. For CHL, the relationship with EBV status and GATA3 expression was evaluated.</p><p><strong>Results: </strong>GATA3 expression was significantly higher in CHL cases compared to the control group (p<0.001). When compared among individual subgroups, GATA3 was found to be useful in the differential diagnosis of all except for ALK-negative anaplastic large-cell lymphoma (p=0.678) and mediastinal gray-zone lymphoma (p=0.327). GATA3 expression was significantly higher in EBV-negative CHL (p=0.02). In core-needle biopsies, the diagnostic performance was limited (p=0.178).</p><p><strong>Conclusion: </strong>GATA3 is a useful marker for differentiating CHL from B-cell non-Hodgkin lymphomas but its efficiency is limited in ALK-negative anaplastic large-cell lymphoma and mediastinal gray-zone lymphoma. Due to heterogeneous reactions, its diagnostic value is limited in core-needle biopsies.</p>","PeriodicalId":23362,"journal":{"name":"Turkish Journal of Hematology","volume":" ","pages":"9-14"},"PeriodicalIF":1.3000,"publicationDate":"2025-02-28","publicationTypes":"Journal Article","fieldsOfStudy":null,"isOpenAccess":false,"openAccessPdf":"https://www.ncbi.nlm.nih.gov/pmc/articles/PMC11869154/pdf/","citationCount":"0","resultStr":null,"platform":"Semanticscholar","paperid":null,"PeriodicalName":"Turkish Journal of Hematology","FirstCategoryId":"3","ListUrlMain":"https://doi.org/10.4274/tjh.galenos.2024.2024.0237","RegionNum":4,"RegionCategory":"医学","ArticlePicture":[],"TitleCN":null,"AbstractTextCN":null,"PMCID":null,"EPubDate":"2024/10/31 0:00:00","PubModel":"Epub","JCR":"Q3","JCRName":"HEMATOLOGY","Score":null,"Total":0}
引用次数: 0

Abstract

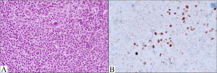
Objective: Classical Hodgkin lymphoma (CHL) is a common lymphoid neoplasm with a wide range of differential diagnoses. Although it has a specific immunophenotype, aberrant expression of antigens can cause problems at its diagnosis. In this study we evaluated the usefulness of GATA3 in the differential diagnosis of CHL.

Materials and methods: One hundred cases of CHL and a control group of 106 lymphoma cases, which included anaplastic large-cell lymphoma both positive and negative for anaplastic lymphoma kinase (ALK), Epstein-Barr virus (EBV)-positive large B-cell lymphoma, T-cell/histiocyte-rich B-cell lymphoma, primary mediastinal large B-cell lymphoma, nodular lymphocyte-predominant Hodgkin lymphoma, and mediastinal gray-zone lymphoma, were included in the study. GATA3 immunohistochemistry was applied to all cases and nuclear expression was accepted as positive. Expression status of GATA3 was compared between the CHL group and the control group, as well as among each lymphoma subtype. In addition, whether the biopsy type affected diagnostic performance was assessed. For CHL, the relationship with EBV status and GATA3 expression was evaluated.

Results: GATA3 expression was significantly higher in CHL cases compared to the control group (p<0.001). When compared among individual subgroups, GATA3 was found to be useful in the differential diagnosis of all except for ALK-negative anaplastic large-cell lymphoma (p=0.678) and mediastinal gray-zone lymphoma (p=0.327). GATA3 expression was significantly higher in EBV-negative CHL (p=0.02). In core-needle biopsies, the diagnostic performance was limited (p=0.178).

Conclusion: GATA3 is a useful marker for differentiating CHL from B-cell non-Hodgkin lymphomas but its efficiency is limited in ALK-negative anaplastic large-cell lymphoma and mediastinal gray-zone lymphoma. Due to heterogeneous reactions, its diagnostic value is limited in core-needle biopsies.

Abstract Image

Abstract Image

经典霍奇金淋巴瘤中的 GATA3 免疫组织化学染色及其在鉴别诊断中的作用
目的:典型霍奇金淋巴瘤(CHL)是一种常见的淋巴肿瘤,鉴别诊断范围很广。虽然它有特异的免疫表型,但抗原的异常表达会给诊断带来困难。在这项研究中,我们评估了 GATA3 在鉴别诊断典型霍奇金淋巴瘤中的作用:100例CHL病例和106例对照组淋巴瘤病例,包括无性大细胞淋巴瘤(ALK(+)和(-))、EB病毒(+)大B细胞淋巴瘤、T细胞/组织细胞丰富的B细胞淋巴瘤、原发性纵隔大B细胞淋巴瘤、结节性淋巴细胞占优势的霍奇金淋巴瘤和纵隔灰区淋巴瘤。所有病例均采用了 GATA3 免疫组化,其核表达均为阳性。GATA3 的表达状况在 CHL 组和对照组之间以及各淋巴瘤亚型之间进行了比较。此外,还评估了活检类型是否会影响诊断效果。还评估了CHL与EBV状态和GATA3表达的关系:结果:与对照组相比,GATA3 在 CHL 病例中的表达明显升高(p结论:GATA3 是诊断淋巴瘤的有用标记物:GATA3是区分CHL和B细胞非霍奇金淋巴瘤的有效标志物,但其在ALK(-)ALCL和纵隔灰区淋巴瘤中的作用有限。由于反应不均,核心针活检的诊断价值有限。
本文章由计算机程序翻译,如有差异,请以英文原文为准。
求助全文
约1分钟内获得全文 求助全文
来源期刊
CiteScore
2.90
自引率
3.80%
发文量
45
审稿时长
1 months
期刊介绍: The Turkish Journal of Hematology is published quarterly (March, June, September, and December) by the Turkish Society of Hematology. It is an independent, non-profit peer-reviewed international English-language periodical encompassing subjects relevant to hematology. The Editorial Board of The Turkish Journal of Hematology adheres to the principles of the World Association of Medical Editors (WAME), International Council of Medical Journal Editors (ICMJE), Committee on Publication Ethics (COPE), Consolidated Standards of Reporting Trials (CONSORT) and Strengthening the Reporting of Observational Studies in Epidemiology (STROBE). The aim of The Turkish Journal of Hematology is to publish original hematological research of the highest scientific quality and clinical relevance. Additionally, educational material, reviews on basic developments, editorial short notes, images in hematology, and letters from hematology specialists and clinicians covering their experience and comments on hematology and related medical fields as well as social subjects are published. As of December 2015, The Turkish Journal of Hematology does not accept case reports. Important new findings or data about interesting hematological cases may be submitted as a brief report.
×
引用
GB/T 7714-2015
复制
MLA
复制
APA
复制
导出至
BibTeX EndNote RefMan NoteFirst NoteExpress
×
提示
您的信息不完整,为了账户安全,请先补充。
现在去补充
×
提示
您因"违规操作"
具体请查看互助需知
我知道了
×
提示
确定
请完成安全验证×
copy
已复制链接
快去分享给好友吧!
我知道了
右上角分享
点击右上角分享
0
联系我们:info@booksci.cn Book学术提供免费学术资源搜索服务,方便国内外学者检索中英文文献。致力于提供最便捷和优质的服务体验。 Copyright © 2023 布克学术 All rights reserved.
京ICP备2023020795号-1
ghs 京公网安备 11010802042870号
Book学术文献互助
Book学术文献互助群
群 号:604180095
Book学术官方微信