Evaluation of Injectate Distribution of the Middle Mental Nerve Block Within the Mandibular Canal in a Cadaveric Canine Model.

IF 0.9 4区 农林科学 Q3 VETERINARY SCIENCES
Journal of Veterinary Dentistry Pub Date : 2025-01-01 Epub Date: 2024-10-30 DOI:10.1177/08987564241293188
Angus Fechney, David E Clarke
{"title":"Evaluation of Injectate Distribution of the Middle Mental Nerve Block Within the Mandibular Canal in a Cadaveric Canine Model.","authors":"Angus Fechney, David E Clarke","doi":"10.1177/08987564241293188","DOIUrl":null,"url":null,"abstract":"<p><p>Awareness among veterinarians has increased regarding the need for comprehensive pain relief, but many companion animal veterinarians do not administer regional analgesia pre-emptively during dental procedures. The middle mental nerve (MMN) block desensitizes the ipsilateral mandibular incisor and canine teeth as well as soft tissues rostral to the delivery site. There is little published information on the efficacy of the MMN block in dogs. The objective of this study was to determine injectate distribution within the mandibular canal using a radiopaque contrast media/methylene blue solution. Half a milliliter of solution was injected within the opening of the middle mental foramen using a standard hypodermic syringe and a 25G x 25 mm needle. The course of the injectate was traced both via computed tomography (CT) and, in some cadavers, gross dissection. Post-treatment CT revealed that in 90% of the cases, the contrast diffused at least as far caudally as the mesial root of the third premolar tooth. The injectate was not identified within the canal of 5% of cadaveric mandibles examined. Although the solution used diffused caudally within the mandibular canal when injected using recommended clinical techniques, this may not completely represent the extent of clinical effects experienced in live patients. This technique also confirmed that the needle does not need to be advanced into the mandibular canal to achieve adequate diffusion to at least the mesial root of the third premolar tooth.</p>","PeriodicalId":17584,"journal":{"name":"Journal of Veterinary Dentistry","volume":" ","pages":"41-47"},"PeriodicalIF":0.9000,"publicationDate":"2025-01-01","publicationTypes":"Journal Article","fieldsOfStudy":null,"isOpenAccess":false,"openAccessPdf":"https://www.ncbi.nlm.nih.gov/pmc/articles/PMC11610205/pdf/","citationCount":"0","resultStr":null,"platform":"Semanticscholar","paperid":null,"PeriodicalName":"Journal of Veterinary Dentistry","FirstCategoryId":"97","ListUrlMain":"https://doi.org/10.1177/08987564241293188","RegionNum":4,"RegionCategory":"农林科学","ArticlePicture":[],"TitleCN":null,"AbstractTextCN":null,"PMCID":null,"EPubDate":"2024/10/30 0:00:00","PubModel":"Epub","JCR":"Q3","JCRName":"VETERINARY SCIENCES","Score":null,"Total":0}
引用次数: 0

Abstract

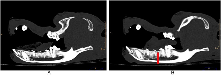
Awareness among veterinarians has increased regarding the need for comprehensive pain relief, but many companion animal veterinarians do not administer regional analgesia pre-emptively during dental procedures. The middle mental nerve (MMN) block desensitizes the ipsilateral mandibular incisor and canine teeth as well as soft tissues rostral to the delivery site. There is little published information on the efficacy of the MMN block in dogs. The objective of this study was to determine injectate distribution within the mandibular canal using a radiopaque contrast media/methylene blue solution. Half a milliliter of solution was injected within the opening of the middle mental foramen using a standard hypodermic syringe and a 25G x 25 mm needle. The course of the injectate was traced both via computed tomography (CT) and, in some cadavers, gross dissection. Post-treatment CT revealed that in 90% of the cases, the contrast diffused at least as far caudally as the mesial root of the third premolar tooth. The injectate was not identified within the canal of 5% of cadaveric mandibles examined. Although the solution used diffused caudally within the mandibular canal when injected using recommended clinical techniques, this may not completely represent the extent of clinical effects experienced in live patients. This technique also confirmed that the needle does not need to be advanced into the mandibular canal to achieve adequate diffusion to at least the mesial root of the third premolar tooth.

Abstract Image

Abstract Image

Abstract Image

在犬尸体模型中评估下颌中神经阻滞剂在下颌窦内的注射分布。
兽医对全面止痛必要性的认识有所提高,但许多伴侣动物兽医并没有在牙科手术中预先实施区域镇痛。中间精神神经(MMN)阻滞可使同侧下颌切牙和犬齿以及分娩部位前侧的软组织脱敏。目前有关狗的中精神神经阻滞疗效的公开信息很少。本研究的目的是使用不透射线的造影剂/亚甲蓝溶液确定注射剂在下颌管内的分布情况。使用标准皮下注射器和 25G x 25 毫米针头,将半毫升溶液注入中间心孔开口处。通过计算机断层扫描(CT)和对一些尸体的大体解剖追踪注射液的走向。治疗后的 CT 显示,在 90% 的病例中,造影剂至少扩散到第三前磨牙中根的尾部。在 5%的尸体下颌骨检查中,未在牙槽内发现注射剂。虽然使用推荐的临床技术注射时,所用溶液在下颌骨管内向尾部扩散,但这可能并不完全代表活体患者的临床效果。这项技术还证实,无需将针头推进下颌管,就能实现至少向第三前磨牙中侧根的充分扩散。
本文章由计算机程序翻译,如有差异,请以英文原文为准。
求助全文
约1分钟内获得全文 求助全文
来源期刊
Journal of Veterinary Dentistry
Journal of Veterinary Dentistry VETERINARY SCIENCES-
CiteScore
1.00
自引率
10.00%
发文量
59
期刊介绍: The Journal of Veterinary Dentistry (JOVD) is the official peer-reviewed publication of the Foundation for Veterinary Dentistry. The JOVD provides a continuing education forum for veterinary dental scientists, veterinarians, dentists, and veterinary/dental technicians and hygienists who are engaged in veterinary dental practice. JOVD articles provide practical and scientifically sound information covering not only the medical and surgical aspects, but also specific categories as they relate to clinical practice.
×
引用
GB/T 7714-2015
复制
MLA
复制
APA
复制
导出至
BibTeX EndNote RefMan NoteFirst NoteExpress
×
提示
您的信息不完整,为了账户安全,请先补充。
现在去补充
×
提示
您因"违规操作"
具体请查看互助需知
我知道了
×
提示
确定
请完成安全验证×
copy
已复制链接
快去分享给好友吧!
我知道了
右上角分享
点击右上角分享
0
联系我们:info@booksci.cn Book学术提供免费学术资源搜索服务,方便国内外学者检索中英文文献。致力于提供最便捷和优质的服务体验。 Copyright © 2023 布克学术 All rights reserved.
京ICP备2023020795号-1
ghs 京公网安备 11010802042870号
Book学术文献互助
Book学术文献互助群
群 号:604180095
Book学术官方微信