Median Pancreatectomy for Frantz Tumor: Management of a Splenic Artery Aneurysm by Radiological Embolization.

IF 0.5 Q4 SURGERY
Case Reports in Surgery Pub Date : 2024-10-23 eCollection Date: 2024-01-01 DOI:10.1155/2024/6188288
Boubker Idrissi Kaitouni, Hamza Ouzzaouit, Talha Laalou, Hamza Sekkat, Mohamed Mahi, Ittimade Nassar, Omar El Aoufir, Youness Bakkali, Mouna Mhamdi Alaoui, Farid Sabbah, Mohammed Raiss, Abdelmalek Hrora
{"title":"Median Pancreatectomy for Frantz Tumor: Management of a Splenic Artery Aneurysm by Radiological Embolization.","authors":"Boubker Idrissi Kaitouni, Hamza Ouzzaouit, Talha Laalou, Hamza Sekkat, Mohamed Mahi, Ittimade Nassar, Omar El Aoufir, Youness Bakkali, Mouna Mhamdi Alaoui, Farid Sabbah, Mohammed Raiss, Abdelmalek Hrora","doi":"10.1155/2024/6188288","DOIUrl":null,"url":null,"abstract":"<p><p>Iatrogenic aneurysms of the splenic artery constitute a rare yet potentially severe complication arising from diverse medical or surgical interventions. The clinical complexity and challenging management strategies associated with these aneurysms pose significant difficulties for clinicians. This circumstance is exemplified in our case report, detailing an iatrogenic aneurysm of the splenic artery that emerged secondary to a pancreatic fistula following a median pancreatectomy performed for a Frantz tumor. The intricate clinical presentation of this case underscores the considerable management challenges posed by such iatrogenic complications.</p>","PeriodicalId":9600,"journal":{"name":"Case Reports in Surgery","volume":"2024 ","pages":"6188288"},"PeriodicalIF":0.5000,"publicationDate":"2024-10-23","publicationTypes":"Journal Article","fieldsOfStudy":null,"isOpenAccess":false,"openAccessPdf":"https://www.ncbi.nlm.nih.gov/pmc/articles/PMC11524693/pdf/","citationCount":"0","resultStr":null,"platform":"Semanticscholar","paperid":null,"PeriodicalName":"Case Reports in Surgery","FirstCategoryId":"1085","ListUrlMain":"https://doi.org/10.1155/2024/6188288","RegionNum":0,"RegionCategory":null,"ArticlePicture":[],"TitleCN":null,"AbstractTextCN":null,"PMCID":null,"EPubDate":"2024/1/1 0:00:00","PubModel":"eCollection","JCR":"Q4","JCRName":"SURGERY","Score":null,"Total":0}
引用次数: 0

Abstract

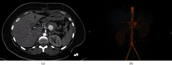
Iatrogenic aneurysms of the splenic artery constitute a rare yet potentially severe complication arising from diverse medical or surgical interventions. The clinical complexity and challenging management strategies associated with these aneurysms pose significant difficulties for clinicians. This circumstance is exemplified in our case report, detailing an iatrogenic aneurysm of the splenic artery that emerged secondary to a pancreatic fistula following a median pancreatectomy performed for a Frantz tumor. The intricate clinical presentation of this case underscores the considerable management challenges posed by such iatrogenic complications.

Abstract Image

Abstract Image

Abstract Image

胰腺正中切除术治疗弗朗茨肿瘤:通过放射学栓塞治疗脾动脉瘤。
脾动脉先天性动脉瘤是一种罕见但可能因各种医疗或手术干预而引起的严重并发症。与这些动脉瘤相关的临床复杂性和具有挑战性的管理策略给临床医生带来了极大的困难。我们的病例报告就是这种情况的例证,该病例详细描述了因弗朗茨肿瘤行胰腺正中切除术后,继发于胰瘘而出现的脾动脉先天性动脉瘤。该病例错综复杂的临床表现凸显了此类先天性并发症给治疗带来的巨大挑战。
本文章由计算机程序翻译,如有差异,请以英文原文为准。
求助全文
约1分钟内获得全文 求助全文
来源期刊
自引率
0.00%
发文量
60
审稿时长
13 weeks
×
引用
GB/T 7714-2015
复制
MLA
复制
APA
复制
导出至
BibTeX EndNote RefMan NoteFirst NoteExpress
×
提示
您的信息不完整,为了账户安全,请先补充。
现在去补充
×
提示
您因"违规操作"
具体请查看互助需知
我知道了
×
提示
确定
请完成安全验证×
copy
已复制链接
快去分享给好友吧!
我知道了
右上角分享
点击右上角分享
0
联系我们:info@booksci.cn Book学术提供免费学术资源搜索服务,方便国内外学者检索中英文文献。致力于提供最便捷和优质的服务体验。 Copyright © 2023 布克学术 All rights reserved.
京ICP备2023020795号-1
ghs 京公网安备 11010802042870号
Book学术文献互助
Book学术文献互助群
群 号:604180095
Book学术官方微信