Correlation of IGF2 levels with sperm quality, inflammation, and DNA damage in infertile patients.

IF 2.7
Asian journal of andrology Pub Date : 2025-03-01 Epub Date: 2024-10-29 DOI:10.4103/aja202487
Jing-Gen Wu, Cai-Ping Zhou, Wei-Wei Gui, Zhong-Yan Liang, Feng-Bin Zhang, Ying-Ge Fu, Rui Li, Fang Wu, Xi-Hua Lin
{"title":"Correlation of IGF2 levels with sperm quality, inflammation, and DNA damage in infertile patients.","authors":"Jing-Gen Wu, Cai-Ping Zhou, Wei-Wei Gui, Zhong-Yan Liang, Feng-Bin Zhang, Ying-Ge Fu, Rui Li, Fang Wu, Xi-Hua Lin","doi":"10.4103/aja202487","DOIUrl":null,"url":null,"abstract":"<p><strong>Abstract: </strong>Insulin-like growth factor 2 (IGF2) is a critical endocrine mediator implicated in male reproductive physiology. To investigate the correlation between IGF2 protein levels and various aspects of male infertility, specifically focusing on sperm quality, inflammation, and DNA damage, a cohort of 320 male participants was recruited from the Women's Hospital, Zhejiang University School of Medicine (Hangzhou, China) between 1 st January 2024 and 1 st March 2024. The relationship between IGF2 protein concentrations and sperm parameters was assessed, and Spearman correlation and linear regression analysis were employed to evaluate the independent associations between IGF2 protein levels and risk factors for infertility. Enzyme-linked immunosorbent assay (ELISA) was used to measure IGF2 protein levels in seminal plasma, alongside markers of inflammation (tumor necrosis factor-alpha [TNF-α] and interleukin-1β [IL-1β]). The relationship between seminal plasma IGF2 protein levels and DNA damage marker phosphorylated histone H2AX (γ-H2AX) was also explored. Our findings reveal that IGF2 protein expression decreased notably in patients with asthenospermia and teratospermia. Correlation analysis revealed nuanced associations between IGF2 protein levels and specific sperm parameters, and low IGF2 protein concentrations correlated with increased inflammation and DNA damage in sperm. The observed correlations between IGF2 protein levels and specific sperm parameters, along with its connection to inflammation and DNA damage, underscore the importance of IGF2 in the broader context of male reproductive health. These findings lay the groundwork for future research and potential therapeutic interventions targeting IGF2-related pathways to enhance male fertility.</p>","PeriodicalId":93889,"journal":{"name":"Asian journal of andrology","volume":" ","pages":"204-210"},"PeriodicalIF":2.7000,"publicationDate":"2025-03-01","publicationTypes":"Journal Article","fieldsOfStudy":null,"isOpenAccess":false,"openAccessPdf":"https://www.ncbi.nlm.nih.gov/pmc/articles/PMC11949453/pdf/","citationCount":"0","resultStr":null,"platform":"Semanticscholar","paperid":null,"PeriodicalName":"Asian journal of andrology","FirstCategoryId":"1085","ListUrlMain":"https://doi.org/10.4103/aja202487","RegionNum":0,"RegionCategory":null,"ArticlePicture":[],"TitleCN":null,"AbstractTextCN":null,"PMCID":null,"EPubDate":"2024/10/29 0:00:00","PubModel":"Epub","JCR":"","JCRName":"","Score":null,"Total":0}
引用次数: 0

Abstract

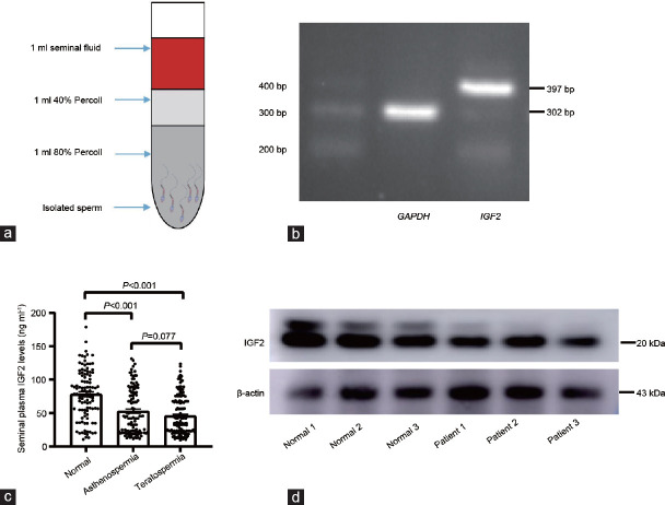
Abstract: Insulin-like growth factor 2 (IGF2) is a critical endocrine mediator implicated in male reproductive physiology. To investigate the correlation between IGF2 protein levels and various aspects of male infertility, specifically focusing on sperm quality, inflammation, and DNA damage, a cohort of 320 male participants was recruited from the Women's Hospital, Zhejiang University School of Medicine (Hangzhou, China) between 1 st January 2024 and 1 st March 2024. The relationship between IGF2 protein concentrations and sperm parameters was assessed, and Spearman correlation and linear regression analysis were employed to evaluate the independent associations between IGF2 protein levels and risk factors for infertility. Enzyme-linked immunosorbent assay (ELISA) was used to measure IGF2 protein levels in seminal plasma, alongside markers of inflammation (tumor necrosis factor-alpha [TNF-α] and interleukin-1β [IL-1β]). The relationship between seminal plasma IGF2 protein levels and DNA damage marker phosphorylated histone H2AX (γ-H2AX) was also explored. Our findings reveal that IGF2 protein expression decreased notably in patients with asthenospermia and teratospermia. Correlation analysis revealed nuanced associations between IGF2 protein levels and specific sperm parameters, and low IGF2 protein concentrations correlated with increased inflammation and DNA damage in sperm. The observed correlations between IGF2 protein levels and specific sperm parameters, along with its connection to inflammation and DNA damage, underscore the importance of IGF2 in the broader context of male reproductive health. These findings lay the groundwork for future research and potential therapeutic interventions targeting IGF2-related pathways to enhance male fertility.

Abstract Image

Abstract Image

Abstract Image

不育患者体内 IGF2 水平与精子质量、炎症和 DNA 损伤的相关性。
胰岛素样生长因子2(IGF2)是一种与男性生殖生理有关的重要内分泌介质。为了研究 IGF2 蛋白水平与男性不育症各方面的相关性,特别是精子质量、炎症和 DNA 损伤,研究人员在 2024 年 1 月 1 日至 2024 年 3 月 1 日期间从浙江大学医学院附属女子医院(中国杭州)招募了 320 名男性参与者。评估了IGF2蛋白浓度与精子参数之间的关系,并采用斯皮尔曼相关分析和线性回归分析评估了IGF2蛋白水平与不育症风险因素之间的独立关联。采用酶联免疫吸附试验(ELISA)测定精浆中的IGF2蛋白水平,同时测定炎症指标(肿瘤坏死因子-α [TNF-α] 和白细胞介素-1β [IL-1β])。研究还探讨了精浆IGF2蛋白水平与DNA损伤标志物磷酸化组蛋白H2AX(γ-H2AX)之间的关系。我们的研究结果表明,IGF2蛋白的表达在无精子症和畸形精子症患者中明显下降。相关性分析表明,IGF2 蛋白水平与精子的特定参数之间存在微妙的联系,低浓度的 IGF2 蛋白与精子中炎症和 DNA 损伤的增加有关。观察到的IGF2蛋白水平与特定精子参数之间的相关性,以及它与炎症和DNA损伤之间的联系,强调了IGF2在男性生殖健康大背景下的重要性。这些发现为未来的研究和针对 IGF2 相关途径的潜在治疗干预奠定了基础,从而提高男性的生育能力。
本文章由计算机程序翻译,如有差异,请以英文原文为准。
求助全文
约1分钟内获得全文 求助全文
来源期刊
自引率
0.00%
发文量
0
×
引用
GB/T 7714-2015
复制
MLA
复制
APA
复制
导出至
BibTeX EndNote RefMan NoteFirst NoteExpress
×
提示
您的信息不完整,为了账户安全,请先补充。
现在去补充
×
提示
您因"违规操作"
具体请查看互助需知
我知道了
×
提示
确定
请完成安全验证×
copy
已复制链接
快去分享给好友吧!
我知道了
右上角分享
点击右上角分享
0
联系我们:info@booksci.cn Book学术提供免费学术资源搜索服务,方便国内外学者检索中英文文献。致力于提供最便捷和优质的服务体验。 Copyright © 2023 布克学术 All rights reserved.
京ICP备2023020795号-1
ghs 京公网安备 11010802042870号
Book学术文献互助
Book学术文献互助群
群 号:604180095
Book学术官方微信