Endodontic Management of Dentinogenesis Imperfecta Using Guided Endodontics: A Case Report.

Q3 Dentistry
Mohammadreza Rahmatian, Ali Kazemi, Omid Dianat, Yaser Safi
{"title":"Endodontic Management of Dentinogenesis Imperfecta Using Guided Endodontics: A Case Report.","authors":"Mohammadreza Rahmatian, Ali Kazemi, Omid Dianat, Yaser Safi","doi":"10.22037/iej.v19i4.45902","DOIUrl":null,"url":null,"abstract":"<p><p>Pulp canal calcification (PCC) is common in patients with dentinogenesis imperfecta (DGI). We present endodontic management of multiple anterior and posterior teeth with PCCs in a patient with DGI type II using guided endodontics. A 26-year-old female patient was diagnosed with DGI type II. Clinical examination revealed palatal cusp fracture in tooth #13, microcracks in tooth #14, and a sinus tract in the maxillary right buccal vestibule related to tooth #13. Periapical radiographs revealed PCCs in all teeth, and periapical radiolucencies in several teeth. Due to difficult negotiation of canal orifices, guided endodontic approach was planned. Cone-beam computed tomography (CBCT) was requested and obtained. Intraoral scanning was performed, and CBCT and intraoral scanning data were superimposed. A template was designed and 3D printed. The root canal orifices were successfully negotiated and endodontic treatments were successfully accomplished. At the 1-year follow-up, the endodontically treated teeth were asymptomatic, and periapical lesions were healing.</p>","PeriodicalId":14534,"journal":{"name":"Iranian Endodontic Journal","volume":"19 4","pages":"308-312"},"PeriodicalIF":0.0000,"publicationDate":"2024-01-01","publicationTypes":"Journal Article","fieldsOfStudy":null,"isOpenAccess":false,"openAccessPdf":"https://www.ncbi.nlm.nih.gov/pmc/articles/PMC11512706/pdf/","citationCount":"0","resultStr":null,"platform":"Semanticscholar","paperid":null,"PeriodicalName":"Iranian Endodontic Journal","FirstCategoryId":"1085","ListUrlMain":"https://doi.org/10.22037/iej.v19i4.45902","RegionNum":0,"RegionCategory":null,"ArticlePicture":[],"TitleCN":null,"AbstractTextCN":null,"PMCID":null,"EPubDate":"","PubModel":"","JCR":"Q3","JCRName":"Dentistry","Score":null,"Total":0}
引用次数: 0

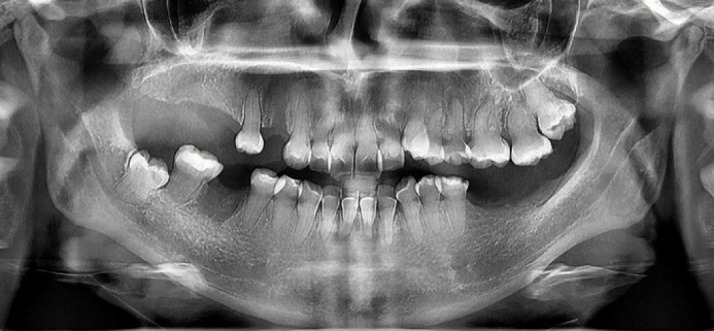
Abstract

Pulp canal calcification (PCC) is common in patients with dentinogenesis imperfecta (DGI). We present endodontic management of multiple anterior and posterior teeth with PCCs in a patient with DGI type II using guided endodontics. A 26-year-old female patient was diagnosed with DGI type II. Clinical examination revealed palatal cusp fracture in tooth #13, microcracks in tooth #14, and a sinus tract in the maxillary right buccal vestibule related to tooth #13. Periapical radiographs revealed PCCs in all teeth, and periapical radiolucencies in several teeth. Due to difficult negotiation of canal orifices, guided endodontic approach was planned. Cone-beam computed tomography (CBCT) was requested and obtained. Intraoral scanning was performed, and CBCT and intraoral scanning data were superimposed. A template was designed and 3D printed. The root canal orifices were successfully negotiated and endodontic treatments were successfully accomplished. At the 1-year follow-up, the endodontically treated teeth were asymptomatic, and periapical lesions were healing.

Abstract Image

Abstract Image

Abstract Image

使用引导式根管治疗牙本质发育不全:病例报告
牙本质发育不全(DGI)患者的牙髓管钙化(PCC)很常见。我们采用引导根管治疗法对一名 DGI II 型患者的多颗前牙和后牙的 PCC 进行了根管治疗。一名 26 岁的女性患者被诊断为 DGI II 型。临床检查发现,13 号牙齿腭尖骨折,14 号牙齿有微裂缝,上颌右侧颊前庭有与 13 号牙齿相关的窦道。根尖周炎 X 光片显示所有牙齿都有 PCC,有几颗牙齿根尖周炎放射。由于牙管孔难以协商,计划采用引导下的牙髓治疗方法。申请并获得了锥形束计算机断层扫描(CBCT)。进行了口内扫描,并将 CBCT 和口内扫描数据叠加在一起。设计并三维打印了一个模板。根管口协商成功,根管治疗顺利完成。在 1 年的随访中,经过根管治疗的牙齿没有任何症状,根尖周病变正在愈合。
本文章由计算机程序翻译,如有差异,请以英文原文为准。
求助全文
约1分钟内获得全文 求助全文
来源期刊
Iranian Endodontic Journal
Iranian Endodontic Journal Dentistry-Dentistry (all)
CiteScore
1.30
自引率
0.00%
发文量
0
审稿时长
12 weeks
期刊介绍: The Iranian Endodontic Journal (IEJ) is an international peer-reviewed biomedical publication, the aim of which is to provide a scientific medium of communication for researchers throughout the globe. IEJ aims to publish the highest quality articles, both clinical and scientific, on all aspects of Endodontics. The journal is an official Journal of the Iranian Center for Endodontic Research (ICER) and the Iranian Association of Endodontists (IAE). The Journal welcomes articles related to the scientific or applied aspects of endodontics e.g. original researches, systematic reviews, meta-analyses, review articles, clinical trials, case series/reports, hypotheses, letters to the editor, etc. From the beginning (i.e. since 2006), the IEJ was the first open access endodontic journal in the world, which gave readers free and instant access to published articles and enabling them faster discovery of the latest endodontic research.
×
引用
GB/T 7714-2015
复制
MLA
复制
APA
复制
导出至
BibTeX EndNote RefMan NoteFirst NoteExpress
×
提示
您的信息不完整,为了账户安全,请先补充。
现在去补充
×
提示
您因"违规操作"
具体请查看互助需知
我知道了
×
提示
确定
请完成安全验证×
copy
已复制链接
快去分享给好友吧!
我知道了
右上角分享
点击右上角分享
0
联系我们:info@booksci.cn Book学术提供免费学术资源搜索服务,方便国内外学者检索中英文文献。致力于提供最便捷和优质的服务体验。 Copyright © 2023 布克学术 All rights reserved.
京ICP备2023020795号-1
ghs 京公网安备 11010802042870号
Book学术文献互助
Book学术文献互助群
群 号:604180095
Book学术官方微信