Undifferentiated Pleomorphic Sarcoma with Reactive Eccrine Syringofibroadenoma: A Case Report.

IF 1.7 Q3 DERMATOLOGY
Navinda Donsakul, Suthep Jerasutus, Ittipon Tubtieng, Ravion Assavanatenapa, Voraphol Vejjabhinanta
{"title":"Undifferentiated Pleomorphic Sarcoma with Reactive Eccrine Syringofibroadenoma: A Case Report.","authors":"Navinda Donsakul, Suthep Jerasutus, Ittipon Tubtieng, Ravion Assavanatenapa, Voraphol Vejjabhinanta","doi":"10.3390/dermatopathology11040030","DOIUrl":null,"url":null,"abstract":"<p><p>Undifferentiated pleomorphic sarcoma (UPS) is an aggressive soft tissue sarcoma with a poor prognosis. The patients are usually found to have metastasis when the primary tumor is diagnosed. Eccrine syringofibroadenoma (ESFA) is a rare cutaneous adnexal lesion of eccrine duct origin. There are five subtypes, one of which is reactive ESFA, known to occur in reaction to an inflammatory or neoplastic process. In this article, we report a case of the co-existence of both UPS and ESFA in a 70-year-old male patient, presenting with a painless, erythematous, irregular surface nodule with a peripherally extended brownish hyperkeratotic plaque on the right palm. The histologic findings revealed an ill-defined dermal tumor of atypical epithelioid and spindle-shaped cells with large pleomorphic hyperchromatic nuclei and abundant eosinophilic cytoplasm. Some of those cells were multinucleated giant cells in the stroma with vascular proliferation and mixed inflammatory cell infiltrate. The tumor cells, which were only positive for vimentin, supported the diagnosis of undifferentiated pleomorphic sarcoma (UPS). Meanwhile, the overlying epidermis demonstrated hyperkeratosis, papillated epidermal hyperplasia, and proliferation of anastomosing slender cords and strands of cuboid cells within loose fibrovascular stroma. These findings are the characteristics of eccrine syringofibroadenoma (ESFA). We describe here a patient in whom reactive ESFA occurred on and surrounded the UPS tumor.</p>","PeriodicalId":42885,"journal":{"name":"Dermatopathology","volume":"11 4","pages":"286-292"},"PeriodicalIF":1.7000,"publicationDate":"2024-10-20","publicationTypes":"Journal Article","fieldsOfStudy":null,"isOpenAccess":false,"openAccessPdf":"https://www.ncbi.nlm.nih.gov/pmc/articles/PMC11503294/pdf/","citationCount":"0","resultStr":null,"platform":"Semanticscholar","paperid":null,"PeriodicalName":"Dermatopathology","FirstCategoryId":"1085","ListUrlMain":"https://doi.org/10.3390/dermatopathology11040030","RegionNum":0,"RegionCategory":null,"ArticlePicture":[],"TitleCN":null,"AbstractTextCN":null,"PMCID":null,"EPubDate":"","PubModel":"","JCR":"Q3","JCRName":"DERMATOLOGY","Score":null,"Total":0}
引用次数: 0

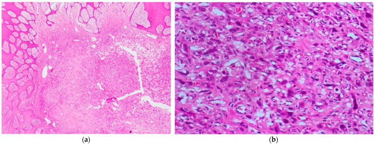
Abstract

Undifferentiated pleomorphic sarcoma (UPS) is an aggressive soft tissue sarcoma with a poor prognosis. The patients are usually found to have metastasis when the primary tumor is diagnosed. Eccrine syringofibroadenoma (ESFA) is a rare cutaneous adnexal lesion of eccrine duct origin. There are five subtypes, one of which is reactive ESFA, known to occur in reaction to an inflammatory or neoplastic process. In this article, we report a case of the co-existence of both UPS and ESFA in a 70-year-old male patient, presenting with a painless, erythematous, irregular surface nodule with a peripherally extended brownish hyperkeratotic plaque on the right palm. The histologic findings revealed an ill-defined dermal tumor of atypical epithelioid and spindle-shaped cells with large pleomorphic hyperchromatic nuclei and abundant eosinophilic cytoplasm. Some of those cells were multinucleated giant cells in the stroma with vascular proliferation and mixed inflammatory cell infiltrate. The tumor cells, which were only positive for vimentin, supported the diagnosis of undifferentiated pleomorphic sarcoma (UPS). Meanwhile, the overlying epidermis demonstrated hyperkeratosis, papillated epidermal hyperplasia, and proliferation of anastomosing slender cords and strands of cuboid cells within loose fibrovascular stroma. These findings are the characteristics of eccrine syringofibroadenoma (ESFA). We describe here a patient in whom reactive ESFA occurred on and surrounded the UPS tumor.

Abstract Image

Abstract Image

Abstract Image

未分化多形性肉瘤伴有反应性蜕膜鞘膜纤维腺瘤:一份病例报告。
未分化多形性肉瘤(UPS)是一种侵袭性软组织肉瘤,预后较差。患者在确诊原发肿瘤时通常会发现有转移。生殖腺鞘状纤维腺瘤(ESFA)是一种罕见的起源于生殖腺管的皮肤附件病变。ESFA 有五种亚型,其中一种是反应性 ESFA,已知是在炎症或肿瘤过程中发生的。在本文中,我们报告了一例同时患有 UPS 和 ESFA 的 70 岁男性患者的病例。患者右掌出现一个无痛、红斑、表面不规则的结节,周边有延伸的褐色角化过度斑块。组织学检查结果显示,这是一种界限不清的真皮肿瘤,由不典型的上皮样和纺锤形细胞组成,具有大的多形性高色素核和丰富的嗜酸性细胞质。其中一些细胞是基质中的多核巨细胞,伴有血管增生和混合性炎症细胞浸润。肿瘤细胞中只有波形蛋白呈阳性,支持未分化多形性肉瘤(UPS)的诊断。同时,上覆的表皮表现为角化过度、乳头状表皮增生,以及在疏松的纤维血管基质中增生的吻合细绳和立方体细胞股。这些发现是肾上腺鞘状纤维腺瘤(ESFA)的特征。我们在此描述一名患者,他的反应性 ESFA 发生在 UPS 肿瘤上并包围着 UPS 肿瘤。
本文章由计算机程序翻译,如有差异,请以英文原文为准。
求助全文
约1分钟内获得全文 求助全文
来源期刊
Dermatopathology
Dermatopathology DERMATOLOGY-
自引率
5.30%
发文量
39
审稿时长
11 weeks
×
引用
GB/T 7714-2015
复制
MLA
复制
APA
复制
导出至
BibTeX EndNote RefMan NoteFirst NoteExpress
×
提示
您的信息不完整,为了账户安全,请先补充。
现在去补充
×
提示
您因"违规操作"
具体请查看互助需知
我知道了
×
提示
确定
请完成安全验证×
copy
已复制链接
快去分享给好友吧!
我知道了
右上角分享
点击右上角分享
0
联系我们:info@booksci.cn Book学术提供免费学术资源搜索服务,方便国内外学者检索中英文文献。致力于提供最便捷和优质的服务体验。 Copyright © 2023 布克学术 All rights reserved.
京ICP备2023020795号-1
ghs 京公网安备 11010802042870号
Book学术文献互助
Book学术文献互助群
群 号:604180095
Book学术官方微信