Detection of Fibroadipose Tissue Infiltration with Cardiac Computed Tomography: A Case of Arrhythmogenic Cardiomyopathy.

IF 1 Q4 CARDIAC & CARDIOVASCULAR SYSTEMS
Journal of Cardiovascular Echography Pub Date : 2024-07-01 Epub Date: 2024-09-21 DOI:10.4103/jcecho.jcecho_33_24
Eleonora Lassandro, Maria Teresa Savo, Marika Martini, Serena Pinci
{"title":"Detection of Fibroadipose Tissue Infiltration with Cardiac Computed Tomography: A Case of Arrhythmogenic Cardiomyopathy.","authors":"Eleonora Lassandro, Maria Teresa Savo, Marika Martini, Serena Pinci","doi":"10.4103/jcecho.jcecho_33_24","DOIUrl":null,"url":null,"abstract":"<p><p>In the evaluation of cardiomyopathies, cardiac computed tomography (CCT) is predominantly used for assessing congenital or acquired coronary artery diseases as a potential etiology underlying the observed myocardial abnormalities. However, its utility is expected to expand. We present a case of an asymptomatic patient with claustrophobia who sought medical attention due to frequent ventricular beats. The resting electrocardiogram revealed repolarization abnormalities characterized by flattened T-waves in the lateral leads and low QRS voltages in the peripheral leads, whereas transthoracic echocardiography was normal. CCT accurately identified hypodense areas indicative of fibrofatty infiltration within the inferolateral and anterior walls of the left ventricle. Furthermore, late iodine contrast-phase imaging revealed subepicardial late enhancement striae in the same regions. These imaging findings were pivotal in establishing a diagnosis of left-dominant arrhythmogenic cardiomyopathy. This clinical vignette underscores the potential of CCT in tissue characterization, particularly when cardiac magnetic resonance imaging is contraindicated or unavailable.</p>","PeriodicalId":15191,"journal":{"name":"Journal of Cardiovascular Echography","volume":"34 3","pages":"137-139"},"PeriodicalIF":1.0000,"publicationDate":"2024-07-01","publicationTypes":"Journal Article","fieldsOfStudy":null,"isOpenAccess":false,"openAccessPdf":"https://www.ncbi.nlm.nih.gov/pmc/articles/PMC11495310/pdf/","citationCount":"0","resultStr":null,"platform":"Semanticscholar","paperid":null,"PeriodicalName":"Journal of Cardiovascular Echography","FirstCategoryId":"1085","ListUrlMain":"https://doi.org/10.4103/jcecho.jcecho_33_24","RegionNum":0,"RegionCategory":null,"ArticlePicture":[],"TitleCN":null,"AbstractTextCN":null,"PMCID":null,"EPubDate":"2024/9/21 0:00:00","PubModel":"Epub","JCR":"Q4","JCRName":"CARDIAC & CARDIOVASCULAR SYSTEMS","Score":null,"Total":0}
引用次数: 0

Abstract

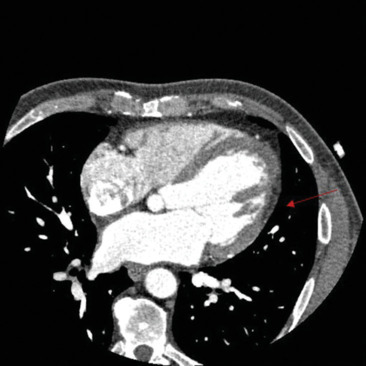
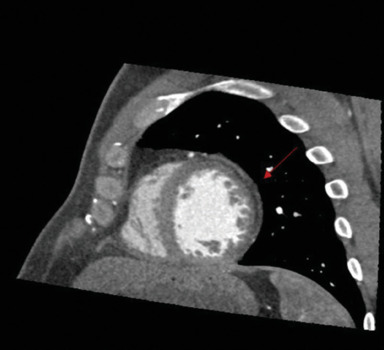
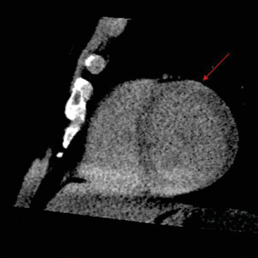
In the evaluation of cardiomyopathies, cardiac computed tomography (CCT) is predominantly used for assessing congenital or acquired coronary artery diseases as a potential etiology underlying the observed myocardial abnormalities. However, its utility is expected to expand. We present a case of an asymptomatic patient with claustrophobia who sought medical attention due to frequent ventricular beats. The resting electrocardiogram revealed repolarization abnormalities characterized by flattened T-waves in the lateral leads and low QRS voltages in the peripheral leads, whereas transthoracic echocardiography was normal. CCT accurately identified hypodense areas indicative of fibrofatty infiltration within the inferolateral and anterior walls of the left ventricle. Furthermore, late iodine contrast-phase imaging revealed subepicardial late enhancement striae in the same regions. These imaging findings were pivotal in establishing a diagnosis of left-dominant arrhythmogenic cardiomyopathy. This clinical vignette underscores the potential of CCT in tissue characterization, particularly when cardiac magnetic resonance imaging is contraindicated or unavailable.

Abstract Image

Abstract Image

Abstract Image

用心脏计算机断层扫描检测纤维脂肪组织浸润:一个心律失常性心肌病病例
在评估心肌病时,心脏计算机断层扫描(CCT)主要用于评估先天性或后天性冠状动脉疾病,作为观察到的心肌异常的潜在病因。然而,CCT 的应用范围有望扩大。我们介绍了一例患有幽闭恐惧症的无症状患者的病例,该患者因频繁的心室搏动而就医。静息心电图显示再极化异常,其特征是侧导联的 T 波变平,外周导联的 QRS 电压较低,而经胸超声心动图正常。CCT 能准确识别左心室下外侧壁和前壁纤维脂肪浸润的低密度区。此外,晚期碘对比相成像显示,在相同区域存在心外膜下晚期增强条纹。这些成像结果对确诊左侧心律失常性心肌病起到了关键作用。这一临床案例强调了 CCT 在组织特征描述方面的潜力,尤其是在心脏磁共振成像被禁用或无法使用的情况下。
本文章由计算机程序翻译,如有差异,请以英文原文为准。
求助全文
约1分钟内获得全文 求助全文
来源期刊
Journal of Cardiovascular Echography
Journal of Cardiovascular Echography CARDIAC & CARDIOVASCULAR SYSTEMS-
CiteScore
1.40
自引率
12.50%
发文量
27
×
引用
GB/T 7714-2015
复制
MLA
复制
APA
复制
导出至
BibTeX EndNote RefMan NoteFirst NoteExpress
×
提示
您的信息不完整,为了账户安全,请先补充。
现在去补充
×
提示
您因"违规操作"
具体请查看互助需知
我知道了
×
提示
确定
请完成安全验证×
copy
已复制链接
快去分享给好友吧!
我知道了
右上角分享
点击右上角分享
0
联系我们:info@booksci.cn Book学术提供免费学术资源搜索服务,方便国内外学者检索中英文文献。致力于提供最便捷和优质的服务体验。 Copyright © 2023 布克学术 All rights reserved.
京ICP备2023020795号-1
ghs 京公网安备 11010802042870号
Book学术文献互助
Book学术文献互助群
群 号:604180095
Book学术官方微信