Terson's Syndrome with Roth Spot-Resembling Features and Third Nerve Palsy without Radiologically Diagnosed Subarachnoid Haemorrhage.

IF 1.8 Q2 Medicine
Olga E Makri, Iasonas K Tsekouras, Stylianos N Mastronikolis, Vasileios E Panagiotopoulos, Constantine Constantoyannis, Constantinos D Georgakopoulos
{"title":"Terson's Syndrome with Roth Spot-Resembling Features and Third Nerve Palsy without Radiologically Diagnosed Subarachnoid Haemorrhage.","authors":"Olga E Makri, Iasonas K Tsekouras, Stylianos N Mastronikolis, Vasileios E Panagiotopoulos, Constantine Constantoyannis, Constantinos D Georgakopoulos","doi":"10.3390/vision8040061","DOIUrl":null,"url":null,"abstract":"<p><p>We report an unusual case of pupil-involving third nerve palsy associated with Terson's syndrome that resulted in the diagnosis of a right posterior communicating artery aneurysm. Interestingly, Terson's syndrome presented with Roth spot-resembling features, accompanied by third nerve palsy in a patient without any disturbance of consciousness. To our knowledge, the association of Terson's syndrome with third nerve palsy has not been described before in the absence of radiologically diagnosed subarachnoid haemorrhage. We present the case of a 48-year-old woman who presented in the Department of Emergencies of the University Hospital of Patras with right-sided complete-pupil-involving third nerve palsy combined with bilateral Terson's syndrome. More precisely, fundoscopy revealed multiple scattered intra- and pre-retinal haemorrhages in both eyes, while some retinal haemorrhages had a white-centred pattern resembling Roth spots. Neurological examination revealed no nuchal rigidity or any other neurological signs. The Glasgow coma scale score was 15/15. A cerebral computed tomography angiography revealed a 5 mm aneurysm of the right posterior communicating artery and the patient underwent a microvascular clipping operation after craniotomy. The significant contribution of the ophthalmological consultation to the appropriate and timely diagnosis and management of a life-threatening condition is highlighted.</p>","PeriodicalId":36586,"journal":{"name":"Vision (Switzerland)","volume":"8 4","pages":""},"PeriodicalIF":1.8000,"publicationDate":"2024-10-07","publicationTypes":"Journal Article","fieldsOfStudy":null,"isOpenAccess":false,"openAccessPdf":"https://www.ncbi.nlm.nih.gov/pmc/articles/PMC11503416/pdf/","citationCount":"0","resultStr":null,"platform":"Semanticscholar","paperid":null,"PeriodicalName":"Vision (Switzerland)","FirstCategoryId":"1085","ListUrlMain":"https://doi.org/10.3390/vision8040061","RegionNum":0,"RegionCategory":null,"ArticlePicture":[],"TitleCN":null,"AbstractTextCN":null,"PMCID":null,"EPubDate":"","PubModel":"","JCR":"Q2","JCRName":"Medicine","Score":null,"Total":0}
引用次数: 0

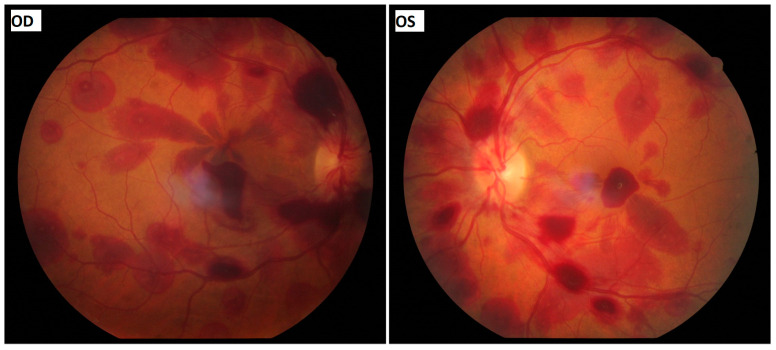
Abstract

We report an unusual case of pupil-involving third nerve palsy associated with Terson's syndrome that resulted in the diagnosis of a right posterior communicating artery aneurysm. Interestingly, Terson's syndrome presented with Roth spot-resembling features, accompanied by third nerve palsy in a patient without any disturbance of consciousness. To our knowledge, the association of Terson's syndrome with third nerve palsy has not been described before in the absence of radiologically diagnosed subarachnoid haemorrhage. We present the case of a 48-year-old woman who presented in the Department of Emergencies of the University Hospital of Patras with right-sided complete-pupil-involving third nerve palsy combined with bilateral Terson's syndrome. More precisely, fundoscopy revealed multiple scattered intra- and pre-retinal haemorrhages in both eyes, while some retinal haemorrhages had a white-centred pattern resembling Roth spots. Neurological examination revealed no nuchal rigidity or any other neurological signs. The Glasgow coma scale score was 15/15. A cerebral computed tomography angiography revealed a 5 mm aneurysm of the right posterior communicating artery and the patient underwent a microvascular clipping operation after craniotomy. The significant contribution of the ophthalmological consultation to the appropriate and timely diagnosis and management of a life-threatening condition is highlighted.

Abstract Image

Abstract Image

特森综合征伴有类似罗斯斑点的特征和第三神经麻痹,但无放射学诊断的蛛网膜下腔出血。
我们报告了一例不寻常的瞳孔牵涉第三神经麻痹并伴有特森综合征的病例,最终确诊为右后交通动脉瘤。有趣的是,特森综合征表现为与罗斯斑相似的特征,患者伴有第三神经麻痹,但没有任何意识障碍。据我们所知,在没有放射学诊断为蛛网膜下腔出血的情况下,特森综合征与第三神经麻痹的关联以前从未被描述过。帕特雷大学医院急诊科收治了一例 48 岁的女性患者,她因右侧完全性瞳孔牵涉性第三神经麻痹合并双侧特森综合征而就诊。更确切地说,眼底镜检查发现双眼有多处散在的视网膜内出血和视网膜前出血,一些视网膜出血呈白心图案,类似罗斯斑点。神经系统检查未发现颈项强直或任何其他神经系统体征。格拉斯哥昏迷量表评分为 15/15。脑计算机断层扫描血管造影显示右后交通动脉有一个5毫米的动脉瘤,患者在开颅手术后接受了微血管剪切手术。眼科会诊对及时适当地诊断和处理危及生命的病情做出了重要贡献。
本文章由计算机程序翻译,如有差异,请以英文原文为准。
求助全文
约1分钟内获得全文 求助全文
来源期刊
Vision (Switzerland)
Vision (Switzerland) Health Professions-Optometry
CiteScore
2.30
自引率
0.00%
发文量
62
审稿时长
11 weeks
×
引用
GB/T 7714-2015
复制
MLA
复制
APA
复制
导出至
BibTeX EndNote RefMan NoteFirst NoteExpress
×
提示
您的信息不完整,为了账户安全,请先补充。
现在去补充
×
提示
您因"违规操作"
具体请查看互助需知
我知道了
×
提示
确定
请完成安全验证×
copy
已复制链接
快去分享给好友吧!
我知道了
右上角分享
点击右上角分享
0
联系我们:info@booksci.cn Book学术提供免费学术资源搜索服务,方便国内外学者检索中英文文献。致力于提供最便捷和优质的服务体验。 Copyright © 2023 布克学术 All rights reserved.
京ICP备2023020795号-1
ghs 京公网安备 11010802042870号
Book学术文献互助
Book学术文献互助群
群 号:604180095
Book学术官方微信