Structural Analysis and Substrate Specificity of D-Carbamoylase from Pseudomonas.

IF 3.1 Q3 BIOTECHNOLOGY & APPLIED MICROBIOLOGY
BioTech Pub Date : 2024-10-03 DOI:10.3390/biotech13040040
Marina Paronyan, Haykanush Koloyan, Hovsep Aganyants, Artur Hambardzumyan, Tigran Soghomonyan, Sona Avetisyan, Sergey Kocharov, Henry Panosyan, Vehary Sakanyan, Anichka Hovsepyan
{"title":"Structural Analysis and Substrate Specificity of D-Carbamoylase from <i>Pseudomonas</i>.","authors":"Marina Paronyan, Haykanush Koloyan, Hovsep Aganyants, Artur Hambardzumyan, Tigran Soghomonyan, Sona Avetisyan, Sergey Kocharov, Henry Panosyan, Vehary Sakanyan, Anichka Hovsepyan","doi":"10.3390/biotech13040040","DOIUrl":null,"url":null,"abstract":"<p><p>The synthesis of enantiomeric forms of D-amino acids can be achieved by a two-step \"hydantoinase process\" based on the sequential catalysis of substrates by specific enzymes, D-carbamoylase and D-hydantoinase. Here, we describe the structural features of D-carbamoylase from <i>Pseudomonas</i>, the encoded gene of which was chemically synthesized and cloned into <i>Escherichia coli</i>. A significant fraction of the overexpressed recombinant protein forms insoluble inclusion bodies, which are partially converted to a soluble state upon treatment with N-lauroylsarcosine or upon incubation of cells at 28 °C. Purified His-tagged protein exhibits the highest activity towards N-carbamoyl-D-alanine and N-carbamoyl-D-tryptophan. Comprehensive virtual analysis of the interactions of bulky carbamylated amino acids with D-carbamoylase provided valuable information. Molecular docking analysis revealed the location of the substrate binding site in the three-dimensional structure of D-carbamoylase. Molecular dynamics simulations showed that the binding pocket of the enzyme in complex with N-carbamoyl-D-tryptophan was stabilized within 100 nanoseconds. The free energy data showed that Arg176 and Asn173 formed hydrogen bonds between the enzyme and substrates. The studies of D-carbamoylases and the properties of our previously obtained D-hydantoinase suggest the possibility of developing a harmonized biotechnological process for the production of new drugs and peptide hormones.</p>","PeriodicalId":34490,"journal":{"name":"BioTech","volume":"13 4","pages":""},"PeriodicalIF":3.1000,"publicationDate":"2024-10-03","publicationTypes":"Journal Article","fieldsOfStudy":null,"isOpenAccess":false,"openAccessPdf":"https://www.ncbi.nlm.nih.gov/pmc/articles/PMC11503299/pdf/","citationCount":"0","resultStr":null,"platform":"Semanticscholar","paperid":null,"PeriodicalName":"BioTech","FirstCategoryId":"1085","ListUrlMain":"https://doi.org/10.3390/biotech13040040","RegionNum":0,"RegionCategory":null,"ArticlePicture":[],"TitleCN":null,"AbstractTextCN":null,"PMCID":null,"EPubDate":"","PubModel":"","JCR":"Q3","JCRName":"BIOTECHNOLOGY & APPLIED MICROBIOLOGY","Score":null,"Total":0}
引用次数: 0

Abstract

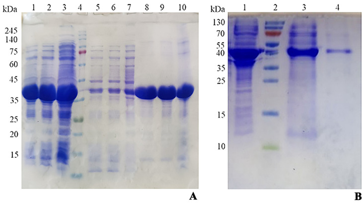
The synthesis of enantiomeric forms of D-amino acids can be achieved by a two-step "hydantoinase process" based on the sequential catalysis of substrates by specific enzymes, D-carbamoylase and D-hydantoinase. Here, we describe the structural features of D-carbamoylase from Pseudomonas, the encoded gene of which was chemically synthesized and cloned into Escherichia coli. A significant fraction of the overexpressed recombinant protein forms insoluble inclusion bodies, which are partially converted to a soluble state upon treatment with N-lauroylsarcosine or upon incubation of cells at 28 °C. Purified His-tagged protein exhibits the highest activity towards N-carbamoyl-D-alanine and N-carbamoyl-D-tryptophan. Comprehensive virtual analysis of the interactions of bulky carbamylated amino acids with D-carbamoylase provided valuable information. Molecular docking analysis revealed the location of the substrate binding site in the three-dimensional structure of D-carbamoylase. Molecular dynamics simulations showed that the binding pocket of the enzyme in complex with N-carbamoyl-D-tryptophan was stabilized within 100 nanoseconds. The free energy data showed that Arg176 and Asn173 formed hydrogen bonds between the enzyme and substrates. The studies of D-carbamoylases and the properties of our previously obtained D-hydantoinase suggest the possibility of developing a harmonized biotechnological process for the production of new drugs and peptide hormones.

Abstract Image

Abstract Image

Abstract Image

假单胞菌 D-氨基甲酰酶的结构分析和底物特异性
D- 氨基酸对映体的合成可通过两步 "海因酶过程 "实现,该过程基于特定酶(D-氨基甲酰酶和 D-海因酶)对底物的顺序催化。在这里,我们描述了假单胞菌 D-氨基甲酰酶的结构特征,其编码基因是通过化学合成并克隆到大肠杆菌中的。大量过表达的重组蛋白形成不溶性包涵体,经 N-月桂酰肌氨酸处理或细胞在 28 °C下孵育后,包涵体部分转化为可溶状态。纯化的 His 标记蛋白对 N-氨基甲酰-D-丙氨酸和 N-氨基甲酰-D-色氨酸的活性最高。对大体积氨甲酰化氨基酸与 D-氨基甲酰酶的相互作用进行的全面虚拟分析提供了有价值的信息。分子对接分析揭示了 D-氨基甲酰酶三维结构中底物结合位点的位置。分子动力学模拟显示,该酶与 N-氨基甲酰基-D-色氨酸的结合口袋在 100 纳秒内稳定下来。自由能数据显示,Arg176 和 Asn173 在酶和底物之间形成氢键。对 D-氨基甲酰酶的研究以及我们先前获得的 D-海因糖酶的特性表明,有可能开发出一种用于生产新药物和肽类激素的协调生物技术工艺。
本文章由计算机程序翻译,如有差异,请以英文原文为准。
求助全文
约1分钟内获得全文 求助全文
来源期刊
BioTech
BioTech Immunology and Microbiology-Applied Microbiology and Biotechnology
CiteScore
3.70
自引率
0.00%
发文量
51
审稿时长
11 weeks
×
引用
GB/T 7714-2015
复制
MLA
复制
APA
复制
导出至
BibTeX EndNote RefMan NoteFirst NoteExpress
×
提示
您的信息不完整,为了账户安全,请先补充。
现在去补充
×
提示
您因"违规操作"
具体请查看互助需知
我知道了
×
提示
确定
请完成安全验证×
copy
已复制链接
快去分享给好友吧!
我知道了
右上角分享
点击右上角分享
0
联系我们:info@booksci.cn Book学术提供免费学术资源搜索服务,方便国内外学者检索中英文文献。致力于提供最便捷和优质的服务体验。 Copyright © 2023 布克学术 All rights reserved.
京ICP备2023020795号-1
ghs 京公网安备 11010802042870号
Book学术文献互助
Book学术文献互助群
群 号:604180095
Book学术官方微信