Viber Snakebite Presenting with Cerebral Venous Thrombosis: A Very Rare Case Report from Somalia.

IF 2.8 Q2 PERIPHERAL VASCULAR DISEASE
Vascular Health and Risk Management Pub Date : 2024-10-17 eCollection Date: 2024-01-01 DOI:10.2147/VHRM.S491543
Nor Osman Sidow, Abdiwahid Ahmed Ibrahim, Nasra Mohamud Hilowle, Nasra Ahmed Diblawe, Ridwan Mohamud Ali, Abdinasir Mohamed Elmi, Bakar Ali Adam, Mohamed Sheikh Hassan
{"title":"Viber Snakebite Presenting with Cerebral Venous Thrombosis: A Very Rare Case Report from Somalia.","authors":"Nor Osman Sidow, Abdiwahid Ahmed Ibrahim, Nasra Mohamud Hilowle, Nasra Ahmed Diblawe, Ridwan Mohamud Ali, Abdinasir Mohamed Elmi, Bakar Ali Adam, Mohamed Sheikh Hassan","doi":"10.2147/VHRM.S491543","DOIUrl":null,"url":null,"abstract":"<p><p>Cerebral sinus venous thrombosis (CSVT) is an uncommon and potentially life-threatening neurological disorder that is often missed because its clinical and radiological symptoms are not specific. Snake bites are a rare cause of cerebral venous sinus thrombosis that must be recognized and treated promptly to improve survival. Here, we present a case of a 30-year-old male patient who had cerebral venous thrombosis after snake bite in the rural area of southern Somalia. After close monitoring with anticoagulation, the condition of the patient improved and discharged from the hospital with full of consciousness. There are only a few cases reported in the literature of snake bites causing cerebral venous thrombosis.</p>","PeriodicalId":23597,"journal":{"name":"Vascular Health and Risk Management","volume":"20 ","pages":"447-452"},"PeriodicalIF":2.8000,"publicationDate":"2024-10-17","publicationTypes":"Journal Article","fieldsOfStudy":null,"isOpenAccess":false,"openAccessPdf":"https://www.ncbi.nlm.nih.gov/pmc/articles/PMC11495482/pdf/","citationCount":"0","resultStr":null,"platform":"Semanticscholar","paperid":null,"PeriodicalName":"Vascular Health and Risk Management","FirstCategoryId":"1085","ListUrlMain":"https://doi.org/10.2147/VHRM.S491543","RegionNum":0,"RegionCategory":null,"ArticlePicture":[],"TitleCN":null,"AbstractTextCN":null,"PMCID":null,"EPubDate":"2024/1/1 0:00:00","PubModel":"eCollection","JCR":"Q2","JCRName":"PERIPHERAL VASCULAR DISEASE","Score":null,"Total":0}
引用次数: 0

Abstract

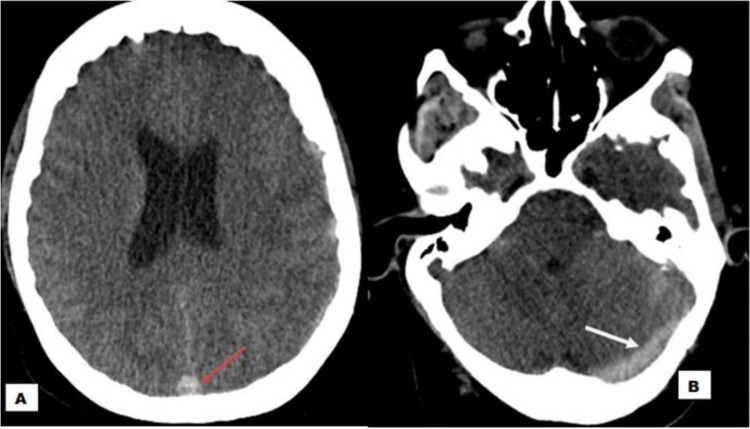
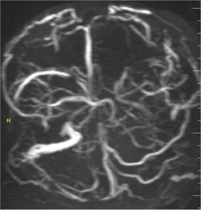
Cerebral sinus venous thrombosis (CSVT) is an uncommon and potentially life-threatening neurological disorder that is often missed because its clinical and radiological symptoms are not specific. Snake bites are a rare cause of cerebral venous sinus thrombosis that must be recognized and treated promptly to improve survival. Here, we present a case of a 30-year-old male patient who had cerebral venous thrombosis after snake bite in the rural area of southern Somalia. After close monitoring with anticoagulation, the condition of the patient improved and discharged from the hospital with full of consciousness. There are only a few cases reported in the literature of snake bites causing cerebral venous thrombosis.

Abstract Image

Abstract Image

Abstract Image

Viber 蛇咬伤并伴有脑静脉血栓:来自索马里的罕见病例报告
脑静脉窦血栓形成(CSVT)是一种不常见且可能危及生命的神经系统疾病,由于其临床和影像学症状没有特异性,因此常常被漏诊。蛇咬伤是脑静脉窦血栓形成的罕见病因,必须及时识别和治疗,以提高存活率。在此,我们介绍一例在索马里南部农村地区被蛇咬伤后出现脑静脉血栓的 30 岁男性患者。经过抗凝治疗的密切监测,患者病情有所好转,出院时意识完全恢复。关于蛇咬伤导致脑静脉血栓形成的文献报道寥寥无几。
本文章由计算机程序翻译,如有差异,请以英文原文为准。
求助全文
约1分钟内获得全文 求助全文
来源期刊
Vascular Health and Risk Management
Vascular Health and Risk Management PERIPHERAL VASCULAR DISEASE-
CiteScore
4.20
自引率
3.40%
发文量
109
审稿时长
16 weeks
期刊介绍: An international, peer-reviewed journal of therapeutics and risk management, focusing on concise rapid reporting of clinical studies on the processes involved in the maintenance of vascular health; the monitoring, prevention, and treatment of vascular disease and its sequelae; and the involvement of metabolic disorders, particularly diabetes. In addition, the journal will also seek to define drug usage in terms of ultimate uptake and acceptance by the patient and healthcare professional.
×
引用
GB/T 7714-2015
复制
MLA
复制
APA
复制
导出至
BibTeX EndNote RefMan NoteFirst NoteExpress
×
提示
您的信息不完整,为了账户安全,请先补充。
现在去补充
×
提示
您因"违规操作"
具体请查看互助需知
我知道了
×
提示
确定
请完成安全验证×
copy
已复制链接
快去分享给好友吧!
我知道了
右上角分享
点击右上角分享
0
联系我们:info@booksci.cn Book学术提供免费学术资源搜索服务,方便国内外学者检索中英文文献。致力于提供最便捷和优质的服务体验。 Copyright © 2023 布克学术 All rights reserved.
京ICP备2023020795号-1
ghs 京公网安备 11010802042870号
Book学术文献互助
Book学术文献互助群
群 号:604180095
Book学术官方微信