What is your diagnosis: Acute hemolysis in a Limousin bull

IF 1.1 4区 农林科学 Q3 VETERINARY SCIENCES
Alexandre Bertin, Thomas Bonnet, Matthias Lambert, Emi Ludemann, Fabien Corbière, Corine Boucraut, Marie-Noëlle Lucas, Catherine Trumel
{"title":"What is your diagnosis: Acute hemolysis in a Limousin bull","authors":"Alexandre Bertin,&nbsp;Thomas Bonnet,&nbsp;Matthias Lambert,&nbsp;Emi Ludemann,&nbsp;Fabien Corbière,&nbsp;Corine Boucraut,&nbsp;Marie-Noëlle Lucas,&nbsp;Catherine Trumel","doi":"10.1111/vcp.13397","DOIUrl":null,"url":null,"abstract":"<p>A 4-year-old Limousin bull was presented for necropsy at the Veterinary School of Toulouse. The bull had been on pasture for 2 months. He was depressed and pyrexic (40.9°C) the day before. He was treated with sulfadimidine (90 mg/kg live weight) and flunixin meglumine (2 mg/kg live weight) but died during the night.</p><p>The necropsy was performed within 12 h of death and revealed cachexia, pale mucous membranes, few superficial abomasal ulcers, few petechiae of the epicardium and endocardium, diffuse orange discoloration of the liver, severe splenomegaly (85 × 25 cm) and dark red urine. Centrifugation of the urine confirmed the pigmenturia and was highly suggestive of hemoglobinuria. A fine-needle aspiration (FNA) of the spleen was performed (Figure 1).</p><p>Samples of spleen (Figure 2A,B), kidney (Figure 3), and liver were fixed in formalin and routinely processed for histopathology. The splenic red pulp was severely congested with numerous pinpoint basophilic inclusions within erythrocytes consistent with piroplasms, and numerous activated macrophages, some of which contained a mixed brown to green dark pigment, positive to Perl's Prussian stain. The white pulp was moderately hyperplastic. The renal cortex was diffusely congested with erythrocytic parasites, and some urinary tubules were necrotic with an accumulation of a cytoplasmic brown-to-green pigment, probably a mix of hemoglobin and biliary pigments. Lesions were consistent with a generalized parasitemia associated with intravascular and extravascular hepatocytic and splenic hemolysis responsible for centrolobular anoxic hepatocytic necrosis and cholestasis, bilirubinuric and hemoglobinuric nephrosis, and diffuse reactive splenitis.</p><p>Real-time PCR with high specificity to the 18S RNA gene (<i>Babesia</i> spp./<i>Theileria</i> spp.) was performed on a spleen sample and was strongly positive. Subsequently, a fragment of 959 bp of the 18S RNA gene was sequenced and revealed a high homology (97.2% on 959 bp and 99.7% on an internal fragment of 452 bp) with several <i>Theileria orientalis</i> isolates.</p><p>The macroscopic lesions identified at necropsy, coupled with the presence of suspected hemoglobinuria upon urine centrifugation, strongly suggested intravascular hemolytic anemia. Piroplasmosis is commonly reported in the area where the bull came from and was, therefore, a primary differential. Other major causes of hemoglobinuria include <i>Clostridium perfringens</i> or <i>Leptospira</i> spp. infections, but these were not investigated further after examination of the FNA.</p><p>Theileriosis is a tick-borne disease that causes losses in the cattle industry. Several species of <i>Theileria</i> can infect bovines, with <i>T. annulata</i> and <i>T. parva</i> being highly pathogenic. Conversely, <i>T. orientalis</i> complex usually causes mild or asymptomatic disease in endemic regions. However, an increasing number of oriental theileriosis outbreak cases have been reported in both beef and dairy cattle.<span><sup>1-3</sup></span></p><p>Clinical signs associated with <i>T. orientalis</i> infection are often non-specific. Anemia, icterus, and hemoglobinuria related to intravascular hemolysis are common features. Clinical disease is more frequently seen in naïve cattle introduced into endemic areas or in animals stressed due to pregnancy, lactation, or changes to environmental conditions.<span><sup>4</sup></span> In our case, the necropsy revealed cachexia, and it was hypothesized that the bull was immunocompromised. In Europe, <i>T. orientalis</i> has been reported in asymptomatic cattle from Hungary, Portugal, Italy, and Serbia and was also found co-infected with <i>Anaplasma bovis</i> in three Croatian cows that died suddenly.<span><sup>1, 5</sup></span> <i>Theileria orientalis</i> has been reported in France since the early 20th century, but no clinical signs have been attributed to it.<span><sup>6</sup></span> Its prevalence, although largely unknown, may be underestimated due to clinical confusion with babesiosis or because of asymptomatic infections.</p><p>In sick cattle with hemolytic anemia, a blood smear is an inexpensive test that can differentiate cattle infected with piroplasmosis and other blood parasites from non-infected cattle. However, as the morphology of piroplasm is highly variable, the smear cannot be used to determine whether it is <i>Theileria</i> spp. or <i>Babesia</i> spp., and is even less reliable for identifying the different species of <i>Theileria</i>.<span><sup>7</sup></span> In this case, while a blood smear was not performed, a high parasitemia would have been expected.</p><p>As a screening test to detect <i>T. orientalis</i> in naïve herds, a blood smear may fail to detect low levels of parasitemia. A negative blood smear must be confirmed by PCR.<span><sup>4</sup></span></p><p>PCR is known to have high sensitivity and specificity and can identify the species and type of <i>Theileria</i>. Here, PCR was performed on the spleen, which has previously been reported to be useful for determining species of <i>Theileria</i> using the RNA gene. The genetic homology was the highest for <i>T. orientalis</i>, but co-infections with other <i>Theileria</i> species present in lower levels might not have been detected by sequencing. Based on the MPSP (major piroplasm surface protein) gene sequencing, 11 genotypes (types 1–8 and types N1-3) have been proposed for the <i>T. orientalis</i> group.<span><sup>8</sup></span> Type 1 (Chitose) and type 2 (Ikeda) have been shown to be pathogenic. Sequencing was not performed on this bull.</p><p>To the authors' knowledge, this is the first published cytologic description of the bovine spleen with oriental theileriosis. This observation may be of interest as an inexpensive post-mortem test for diagnosis of intra-erythrocytic parasites.</p><p>The authors declare that they have no conflict of interest.</p>","PeriodicalId":23593,"journal":{"name":"Veterinary clinical pathology","volume":"54 S1","pages":"S54-S56"},"PeriodicalIF":1.1000,"publicationDate":"2024-10-23","publicationTypes":"Journal Article","fieldsOfStudy":null,"isOpenAccess":false,"openAccessPdf":"https://onlinelibrary.wiley.com/doi/epdf/10.1111/vcp.13397","citationCount":"0","resultStr":null,"platform":"Semanticscholar","paperid":null,"PeriodicalName":"Veterinary clinical pathology","FirstCategoryId":"97","ListUrlMain":"https://onlinelibrary.wiley.com/doi/10.1111/vcp.13397","RegionNum":4,"RegionCategory":"农林科学","ArticlePicture":[],"TitleCN":null,"AbstractTextCN":null,"PMCID":null,"EPubDate":"","PubModel":"","JCR":"Q3","JCRName":"VETERINARY SCIENCES","Score":null,"Total":0}
引用次数: 0

Abstract

A 4-year-old Limousin bull was presented for necropsy at the Veterinary School of Toulouse. The bull had been on pasture for 2 months. He was depressed and pyrexic (40.9°C) the day before. He was treated with sulfadimidine (90 mg/kg live weight) and flunixin meglumine (2 mg/kg live weight) but died during the night.

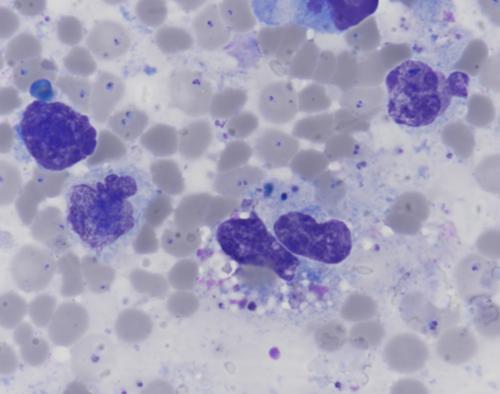
The necropsy was performed within 12 h of death and revealed cachexia, pale mucous membranes, few superficial abomasal ulcers, few petechiae of the epicardium and endocardium, diffuse orange discoloration of the liver, severe splenomegaly (85 × 25 cm) and dark red urine. Centrifugation of the urine confirmed the pigmenturia and was highly suggestive of hemoglobinuria. A fine-needle aspiration (FNA) of the spleen was performed (Figure 1).

Samples of spleen (Figure 2A,B), kidney (Figure 3), and liver were fixed in formalin and routinely processed for histopathology. The splenic red pulp was severely congested with numerous pinpoint basophilic inclusions within erythrocytes consistent with piroplasms, and numerous activated macrophages, some of which contained a mixed brown to green dark pigment, positive to Perl's Prussian stain. The white pulp was moderately hyperplastic. The renal cortex was diffusely congested with erythrocytic parasites, and some urinary tubules were necrotic with an accumulation of a cytoplasmic brown-to-green pigment, probably a mix of hemoglobin and biliary pigments. Lesions were consistent with a generalized parasitemia associated with intravascular and extravascular hepatocytic and splenic hemolysis responsible for centrolobular anoxic hepatocytic necrosis and cholestasis, bilirubinuric and hemoglobinuric nephrosis, and diffuse reactive splenitis.

Real-time PCR with high specificity to the 18S RNA gene (Babesia spp./Theileria spp.) was performed on a spleen sample and was strongly positive. Subsequently, a fragment of 959 bp of the 18S RNA gene was sequenced and revealed a high homology (97.2% on 959 bp and 99.7% on an internal fragment of 452 bp) with several Theileria orientalis isolates.

The macroscopic lesions identified at necropsy, coupled with the presence of suspected hemoglobinuria upon urine centrifugation, strongly suggested intravascular hemolytic anemia. Piroplasmosis is commonly reported in the area where the bull came from and was, therefore, a primary differential. Other major causes of hemoglobinuria include Clostridium perfringens or Leptospira spp. infections, but these were not investigated further after examination of the FNA.

Theileriosis is a tick-borne disease that causes losses in the cattle industry. Several species of Theileria can infect bovines, with T. annulata and T. parva being highly pathogenic. Conversely, T. orientalis complex usually causes mild or asymptomatic disease in endemic regions. However, an increasing number of oriental theileriosis outbreak cases have been reported in both beef and dairy cattle.1-3

Clinical signs associated with T. orientalis infection are often non-specific. Anemia, icterus, and hemoglobinuria related to intravascular hemolysis are common features. Clinical disease is more frequently seen in naïve cattle introduced into endemic areas or in animals stressed due to pregnancy, lactation, or changes to environmental conditions.4 In our case, the necropsy revealed cachexia, and it was hypothesized that the bull was immunocompromised. In Europe, T. orientalis has been reported in asymptomatic cattle from Hungary, Portugal, Italy, and Serbia and was also found co-infected with Anaplasma bovis in three Croatian cows that died suddenly.1, 5 Theileria orientalis has been reported in France since the early 20th century, but no clinical signs have been attributed to it.6 Its prevalence, although largely unknown, may be underestimated due to clinical confusion with babesiosis or because of asymptomatic infections.

In sick cattle with hemolytic anemia, a blood smear is an inexpensive test that can differentiate cattle infected with piroplasmosis and other blood parasites from non-infected cattle. However, as the morphology of piroplasm is highly variable, the smear cannot be used to determine whether it is Theileria spp. or Babesia spp., and is even less reliable for identifying the different species of Theileria.7 In this case, while a blood smear was not performed, a high parasitemia would have been expected.

As a screening test to detect T. orientalis in naïve herds, a blood smear may fail to detect low levels of parasitemia. A negative blood smear must be confirmed by PCR.4

PCR is known to have high sensitivity and specificity and can identify the species and type of Theileria. Here, PCR was performed on the spleen, which has previously been reported to be useful for determining species of Theileria using the RNA gene. The genetic homology was the highest for T. orientalis, but co-infections with other Theileria species present in lower levels might not have been detected by sequencing. Based on the MPSP (major piroplasm surface protein) gene sequencing, 11 genotypes (types 1–8 and types N1-3) have been proposed for the T. orientalis group.8 Type 1 (Chitose) and type 2 (Ikeda) have been shown to be pathogenic. Sequencing was not performed on this bull.

To the authors' knowledge, this is the first published cytologic description of the bovine spleen with oriental theileriosis. This observation may be of interest as an inexpensive post-mortem test for diagnosis of intra-erythrocytic parasites.

The authors declare that they have no conflict of interest.

Abstract Image

您的诊断结果是什么?一头利木赞公牛的急性溶血。
一头4岁的利穆赞公牛被送到图卢兹兽医学校进行尸检。这头牛已经在牧场上吃了两个月了。患者于前一天抑郁发热(40.9℃)。患者接受磺胺嘧啶(90 mg/kg活重)和氟尼欣大胺(2 mg/kg活重)治疗,但在夜间死亡。死后12小时内行尸检,发现恶病质,黏膜苍白,少量皱胃浅表性溃疡,心外膜和心内膜少量瘀点,肝脏弥漫性橙色变色,严重脾肿大(85 × 25 cm),尿深红色。尿液离心检查证实为色素尿,并高度提示为血红蛋白尿。对脾脏进行细针穿刺(FNA)(图1)。脾脏(图2A、B)、肾脏(图3)和肝脏标本用福尔马林固定,常规处理组织病理学。脾红髓严重充血,红细胞内有大量尖状嗜碱性包涵体,与梨质一致,并有大量活化的巨噬细胞,其中一些含有混合棕色至绿色的暗色素,Perl普鲁士染色阳性。白色牙髓中度增生。肾皮质弥漫性充血红细胞寄生虫,部分尿小管坏死,胞质褐至绿色色素积聚,可能是血红蛋白和胆道色素的混合物。病变与血管内和血管外肝细胞和脾溶血相关的广泛性寄生虫病一致,导致小叶中心缺氧肝细胞坏死和胆汁淤积,胆红素和血红蛋白尿肾病,以及弥漫性反应性脾炎。对脾脏样本进行高特异性的18S RNA基因(巴贝斯虫/泰氏杆菌)实时荧光定量PCR检测,结果呈强阳性。随后,对该18S RNA基因959 bp的片段进行了测序,结果表明,该基因与多个东方针叶菌分离株具有较高的同源性(959 bp为97.2%,内部片段为452 bp为99.7%)。尸检时发现的肉眼病变,再加上尿液离心时可疑的血红蛋白尿,强烈提示血管内溶血性贫血。螺形体病通常报告在公牛来自的地区,因此是一个主要的鉴别。血红蛋白尿的其他主要原因包括产气荚膜梭菌或钩端螺旋体感染,但在FNA检查后没有进一步调查。牛肠杆菌病是一种蜱传疾病,会给养牛业造成损失。有几种伊勒氏菌可感染牛,其中环状伊勒氏菌和细小伊勒氏菌致病性高。相反,东方绦虫复合体通常在流行地区引起轻微或无症状的疾病。然而,据报道,在肉牛和奶牛中出现了越来越多的东方氏杆菌病暴发病例。1-3与东方绦虫感染相关的临床症状通常是非特异性的。贫血、黄疸和与血管内溶血有关的血红蛋白尿是常见的特征。临床疾病更常见于naïve引入流行地区的牛,或因怀孕、哺乳或环境条件变化而受到压力的动物在我们的病例中,尸检显示恶病质,假设公牛免疫功能低下。在欧洲,据报告在匈牙利、葡萄牙、意大利和塞尔维亚的无症状牛中发现东方绦虫,并在三只突然死亡的克罗地亚牛中发现东方绦虫与牛无原体同时感染。1,5自20世纪初以来,法国就报道了东方大肠杆菌,但没有临床症状归因于它其患病率,虽然在很大程度上是未知的,可能被低估,由于临床混淆与巴贝斯虫病或由于无症状感染。在患有溶血性贫血的病牛中,血液涂片是一种廉价的检测方法,可以将感染螺形体病和其他血液寄生虫的牛与未感染的牛区分开来。然而,由于梨质形态高度可变,涂片不能用于确定是希氏菌属还是巴贝斯虫属,甚至不能用于鉴定不同种类的希氏菌。7在这种情况下,虽然没有进行血液涂片,但预计会出现高寄生虫血症。作为在naïve畜群中检测东方弓形虫的筛选试验,血液涂片可能无法检测低水平的寄生虫血症。阴性的血涂片必须用pcr确认,已知4pcr具有高灵敏度和特异性,可以识别赫勒氏菌的种类和类型。在这里,在脾脏上进行了PCR,这在以前的报道中用于使用RNA基因确定希氏菌的种类。遗传同源性最高的是东方滴虫,但与其他较低水平的滴虫属的共感染可能未被测序检测到。 基于主要梨质表面蛋白(MPSP)基因测序,提出了11个基因型(1-8型和N1-3型)1型(Chitose)和2型(Ikeda)已被证明是致病性的。这头牛没有进行测序。据作者所知,这是第一次发表的细胞学描述与东方牛脾菌病。这一观察结果可能作为诊断红细胞内寄生虫的一种廉价的死后检验而引起人们的兴趣。作者声明他们没有利益冲突。
本文章由计算机程序翻译,如有差异,请以英文原文为准。
求助全文
约1分钟内获得全文 求助全文
来源期刊
Veterinary clinical pathology
Veterinary clinical pathology 农林科学-兽医学
CiteScore
1.70
自引率
16.70%
发文量
133
审稿时长
18-36 weeks
期刊介绍: Veterinary Clinical Pathology is the official journal of the American Society for Veterinary Clinical Pathology (ASVCP) and the European Society of Veterinary Clinical Pathology (ESVCP). The journal''s mission is to provide an international forum for communication and discussion of scientific investigations and new developments that advance the art and science of laboratory diagnosis in animals. Veterinary Clinical Pathology welcomes original experimental research and clinical contributions involving domestic, laboratory, avian, and wildlife species in the areas of hematology, hemostasis, immunopathology, clinical chemistry, cytopathology, surgical pathology, toxicology, endocrinology, laboratory and analytical techniques, instrumentation, quality assurance, and clinical pathology education.
×
引用
GB/T 7714-2015
复制
MLA
复制
APA
复制
导出至
BibTeX EndNote RefMan NoteFirst NoteExpress
×
提示
您的信息不完整,为了账户安全,请先补充。
现在去补充
×
提示
您因"违规操作"
具体请查看互助需知
我知道了
×
提示
确定
请完成安全验证×
copy
已复制链接
快去分享给好友吧!
我知道了
右上角分享
点击右上角分享
0
联系我们:info@booksci.cn Book学术提供免费学术资源搜索服务,方便国内外学者检索中英文文献。致力于提供最便捷和优质的服务体验。 Copyright © 2023 布克学术 All rights reserved.
京ICP备2023020795号-1
ghs 京公网安备 11010802042870号
Book学术文献互助
Book学术文献互助群
群 号:604180095
Book学术官方微信